Retrazione gengivale e trattamento lembo bilaminare
Scritto da Cristian / Pubblicato il
Buongiorno. Soffro di un ritiro significativo delle gengive. Ho consultato qualche dentista e mi hanno consigliato un trattamento "Lembo bilaminare" su 4 denti. Mi hanno sottoposto un preventivo di 3700 euro per i 4 inteventi. E' un prezzo corretto? Grazie.
Pubblicato il 25-05-2009
Sig. Cristian, in medicina è molto difficile sapere se il costo è corretto, perchè la salute non ha prezzo.
Pubblicato il 25-05-2009
Gentile Cristian, al di là del prezzo si chieda: "E' efficace e risolutivo?" Se le garantiscono il risultato, sono soldi ben spesi. Se si tratta di "tentativo" allora no. Cordialità.
Pubblicato il 26-05-2009
In questo sito non si deve parlare di prezzi.. E' argomento tabù. Non per omertà mafiosa ma per impossibilità di una valutazione. Comunque lei deve chiedere quale è la ragionevole previsione sulla durata del miglioramento. Dopo quanto tempo tornerà tutto come prima?? E a quel punto decidere.
Pubblicato il 26-05-2009
Caro Sig. Cristian, una tariffa non ha alcun significato; non si ponga la domanda se sia o no un prezzo alto ma se chi lo presenta sia o no in grado di darle il risultato sperato. Cordialità
Pubblicato il 26-05-2009
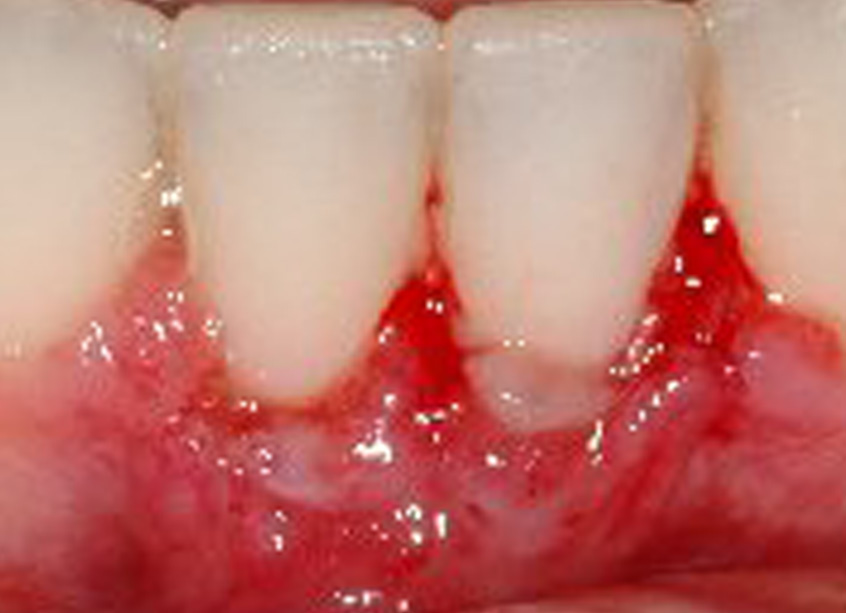
Caro Signor Cristian...Il lembo bilaminare più correttamente detto innesto bilaminare si chiama così perchè è costituito in parte da tessuto connettivo ed in parte da gengiva aderente. La sede del prelievo, come per gli innesti liberi di gengiva è quasi sempre il palato. In genere si scolpisce un lembo "a busta" (cioè senza incisioni di scarico verticali...detto anche lembo modificato) in cui si inserisce un piccolo prelievo di tessuto connettivo palatino a forma di una piramide tagliata in due in senso verticale. Il caso ideale per questo tipo di intervento è la 2° classe di Miller. Per la terapia delle recessioni come le sue esistono altri interventi una ventina almeno...ed ognuno ha una indicazione precisa! E soprattutto più predicibile del lembo bilaminare...molto moderno...alla moda...ma deve essere fatto da mani molto ma molto esperte...se no meglio indirizzarsi su altri interventi più sicuri! Non capisco perchè abbia scritto a noi...non siamo al mercato ortofrutticolo...QUI diamo solo informazioni mediche!!!! Siamo professionisti...e come c'è l'avvocato principe del Foro che costa 10 volte tanto l'azzeccagarbugli...così un Dentista...in questo caso mi auguro e le auguro un Parodontologo...ha prezzi diversi a seconda della sua capacità e professionalità!...Le invio una foto di un lembo bilaminare dove vede emergere dalla tasca preparata il tessuto a piramide connettivo ...Cordialmente Gustavo Petti Parodontologo in Cagliari
CONTINUA A LEGGERE
Pubblicato il 26-05-2009
Sig. Cristian, si preoccupi del risultato della terapia. Il costo, benché significativo, ha un giusto valore se si ottiene il risultato desiderato...consideri che in ogni caso in medicina non ci sono certezze. Buon pomeriggio
Pubblicato il 26-05-2009
Gentile paziente, essendo le nostre prestazioni e non vendite, come possiamo valutare il valore di una prestazione? Per ciò che io faccio pagare 100 un collega può, giustamente o no, pretendere 1000. Come giudicare la parcella di un legale, un ingegnere, un architetto o un muratore? Solo sulla base della fiducia e qualità che può esprimere. Se poi volesse spendere di meno, si rivolga alle strutture pubbliche, che garantiscono il diritto alla salute.
Pubblicato il 26-05-2009
Caro Paziente, questo particolare tipo di lembo offre un ottima risoluzione delle recessioni gengivali, ma solo di alcune. Ci sono recessioni che con un lembo bilaminare hanno una percentuale di successo molto alta (2 classe di Miller); il prezzo dipende da chi lo esegue e dalle garanzie che le da. C'è anche da dire che se il parodontologo fa il suo dovere al TOP, ha fatto solo metà del lavoro, poichè la guarigione dei tessuti gengivali è molto delicata;dovrà seguire molto attentamente le indicazioni post operatorie ma immagino che 3700 euro basteranno a farle prestare molta attenzione a non vanificare il lavoro..
CONTINUA A LEGGERE
Pubblicato il 27-05-2009
Gentile Sig. Cristian, il lembo bilaminare, come correttamente esposto dai vari colleghi, serve a risolvere alcune tipi di recessione gengivale ( in particolare le II° classi di Miller ): il medico parodontologo che lo esegue, preleva dal palato un innesto di connettivo sottomucoso e lo inserisce in un lembo a 1/2 spessore preparato nella zona della recessione che poi viene riposizionato a copertura dell'innesto. La procedura pur essendo di particolare delicatezza non presenta estreme difficoltà in mani esperte. Il problema è un altro: cioè se chi ha fatto la diagnosi e proposto la terapia ha eseguito tutti gli step diagnostici per arrivare alla corretta terapia del caso( sedute di igiene preparatorie, Status radiografico, sondaggio parodontale, analisi occlusale ) e se i denti interessati alla recessione sono indicate realmente per questo intervento. Purtroppo le indicazioni sono importanti per ottenere il risultato. Per quanto riguarda il prezzo, non si può valutare e giudicare come liberi professionisti , le tariffe delle prestazioni sanitarie altrui, e non è questo il luogo per farlo. P.S. : i denti sono vicini o sono in zone diverse della bocca?
CONTINUA A LEGGERE
Pubblicato il 27-05-2009
In questi casi, prima di proporre una terapia, bisogna fare diagnosi, ha ragione Lazzari..Le hanno detto perchè le si sono ritirate le gengive a 35 anni ?




Dentista Emilia Romagna, Reggio Emilia
Vedi la scheda
Dentista Emilia Romagna, Parma
Vedi la scheda
Dentista Liguria, La Spezia
Vedi la scheda
Dentista Sicilia, Palermo
Vedi la scheda
Dentista Sardegna, Cagliari
Vedi la scheda