Avrei bisogno del vostro aiuto per capire come agire con mio figlio di quasi 12 anni
Scritto da grazia / Pubblicato il
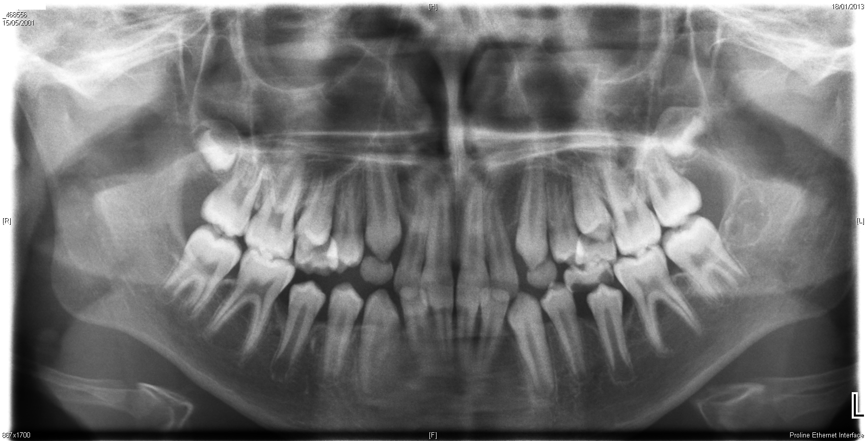
Buongiorno, avrei bisogno del vostro aiuto per capire come agire con mio figlio di quasi 12 anni. Dopo una visita di controllo dal dentista, siamo stati indirizzati dall'ortodonzista per valutare se mettere l'apparecchio o meno. Da una prima visita, richiesta l'ortopanoramica che allego, mi viene detto che c'è da spendere (testuali parole). Al momento di fissare la terapia definitiva, per motivi personali il dottore disdice l'appuntamento e io vado di corsa da un altro ortodonzista consigliato perchè data l'età di mio figlio penso di essre pure in ritardo (pulce messa dal primo ortodonzista). Quest'ultimo invece mi dice che non devo fare proprio niente, che il bambino è messo bene e che casomai ci si vede alla fine dell'estate, guardandomi come fanno i dottori quando secondo loro i genitori esagerano nel preoccuparsi... potete per favore confermarmi il vostro parere? Grazie mille in anticipo.
Pubblicato il 19-03-2013
Stando solo alle radiografie che ha postato, sarei propenso ad una strategia attendista, ma è chiaro che dipente tutto anche da una visita dal vivo e soprattutto dal grado di allineamento che si vuole raggiungere. Cordiali saluti.
Pubblicato il 19-03-2013
Sembra una situazione di biprotrusione funzionale da postura linguale errata ingravescente con difetto degli orbicolari. Siamo già al termine massimo della attesa, anzi in gravissimo ritardo (andava trattato a 6 anni). Lo faccia vedere subito. Tenga presente che nessuno (me compreso) può fare una diagnosi solo VEDENDO le radiografie (infatti io vado ad immaginazione, glielo garantisco, come chiunque altro le risponderà qui): queste vanno usate per fare una analisi complessa che si chiama CEFALOMETRIA (legga sul sito e sui miei siti cosa è): scelga solo dentisti che non si limitano a guardare queste rx, ma che ne ricavano una vera analisi della struttura ossea, ovvero la cefalometria.
CONTINUA A LEGGERE
Pubblicato il 19-03-2013
Sig. Grazia, "il casomai ci si vede alla fine dell'estate" non è molto bello, meglio farsi mettere tutto per iscritto che non occorre intervenire in questo momento e che si consiglia un chiaro appuntamento.
Pubblicato il 19-03-2013
Gentile Signora, concordo assolutamente con la risposta del Dott. Passaretti, senza cefalometria ortodontica non è possibile impostare nessun trattamento ortognatodontico. A questo punto, considerato che suo figlio ha già praticamente completato la permuta dei decidui ed ha già in arcata i settimi, attendere ulteriormente non avrebbe senso. Prenda appuntamento da uno specialista preparato per iniziare il trattamento in breve tempo. Cordialmente
Pubblicato il 19-03-2013
Il tratto cervicale del rachide mi sembra ( dal poco che si vede) abbia perso qualcosa della naturale lordosi ( curvatura fisiologica in avanti) e questo sembrerebbe dare ragione a ciò che scrive il dr. Passaretti ( funzionalità linguale). Approfondisca.
Pubblicato il 19-03-2013
Cara Signora Grazia, per non ripetermi inutilmente e tediosamente, la invito a leggere la risposta data dopo la sua alla signora Claudia ed intitolata "Tra poco dovrò mettere l'apparecchio fisso sopra per far uscire un incisivo laterale destro"!Cordialmente Gustavo Petti, Parodontologia, Implantologia, Gnatologia e Riabilitazione Orale Completa in Casi Clinici Complessi ed Ortodonzia e Pedodonzia la figlia Claudia Petti, in Cagliari
Pubblicato il 19-03-2013
Gentile Sig.ra Grazia, che suo figlio sia messo bene mi sembra discutibile. Personalmente consiglierei una visita da un altro ortodonzista. Cordiali saluti
Pubblicato il 19-03-2013
Gentile sig.ra, per dare un parere ci servono almeno le foto dei denti in visione frontale e laterale, con gli elementi a disposizione, propenderei più a quanto detto dal secondo collega che ha visitato suo figlio, cioè non mi pare di vedere grossi problemi, e comunque non mi fiderei mai di un medico che esordisce " qui c'è tanto da spendere" ma che siamo al mercato! a questo punto , tanto ormai, non c'è più tanta fretta, visto che non è più in età per una terapia ortopedica-funzionale che avrebbe risolto gli eventuali problemi a monte, e che comunque si deve montare un apparecchio fisso, e probabilmente il collega le ha detto di tornare dopo l' estate, così sarebbero scesi in arcata gli ultimi denti definitivi, faccia una terza visita, con ortodontista esperto, e poi decida, se vuole io le posso dare un parere senza nessun impegno.
CONTINUA A LEGGERE
Pubblicato il 20-03-2013
Gentile Signora, dalle radiografie che ha postato é evidente una malocclusione con profilo biprotruso dei gruppi anteriori da componente linguale. La rettilineizzazione del tratto cervicale della colonna indica un'alterazione posturale ed aumenta il sospetto di deglutizione disfunzionale. Una visita gnatologica é indispensabile per confermare la diagnosi. Il periodo ottimale per curare tale patologia é durante la permuta dentaria, ovvero tra i 6 ed i 12 anni, per cui le consiglio di non attendere altro tempo per portarlo da uno Gnatologo e di affidarlo alle sue cure. Cordiali saluti.
CONTINUA A LEGGERE
Pubblicato il 20-03-2013
Non mi sembra ci siano grandi problemi. Ci mandi anche le fotografie dei rapporti dentali. Cordialmente






Dentista Lazio, Roma
Vedi la scheda
Dentista Veneto, Padova
Vedi la scheda
Dentista Piemonte, Torino
Vedi la scheda
Dentista Emilia Romagna, Modena
Vedi la scheda
Dentista Campania, Salerno
Vedi la scheda