A mio figlio è stato diagnosticato il morso inverso di 3 classe
Scritto da alessandra / Pubblicato il
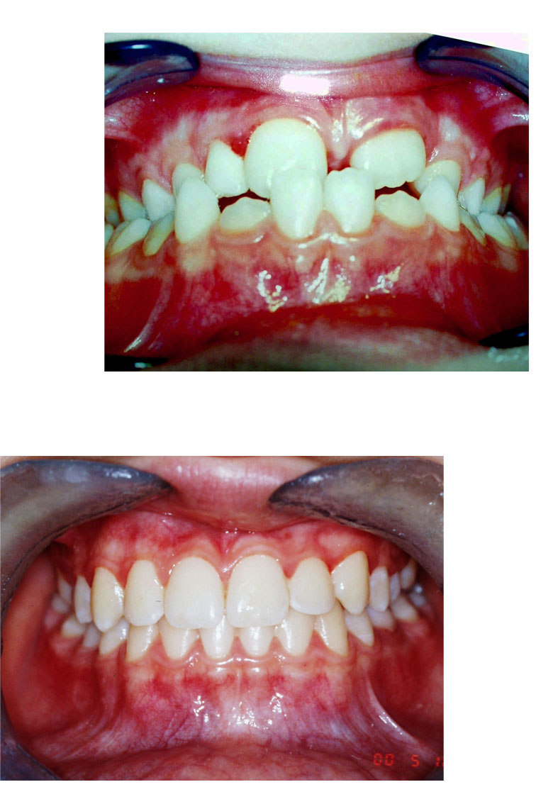
Salve, sono mamma di un bambino di 6 anni al quale è stato diagnosticato il morso inverso di 3 classe. Ho girato molti dentisti ultimamente e mi sono imbattuta in pareri discordanti. Alcuni mi hanno consigliato di fare una frenulectomia inferiore e successivamente applicare la maschera di delaire (alcuni anche frenulectomia superiore per via dei denti laschi); altri invece mi hanno proposto di approfondire la diagnosi con un esame posturale ed eventualmente dopo applicare un apparecchio sotto la lingua per impedire che essa a riposo faccia forza verso i denti inferiori. In particolare quest'ultimi sono stati ottimisti e mi hanno detto che nella maggior parte dei casi la malformazione potrà risolversi. Sono molto confusa e non so quale terapia scegliere, soprattutto perchè ho paura di sprecare tempo! voi che ne pensate? Quale vi sembra la terapia migliore? Grazie per l'attenzione.
Pubblicato il 29-04-2010
Molta confusione, è vero.. Bisogna procedere in modo ordinato e metodicamente preciso e severo. Diffidi nettamente dei dentisti che fanno progetti senza aver segnato radiografie, prese impronte, fatto modelli, scattato foto.. Infatti con la semplice visita non si fa diagnosi vera. Mancano i dati su quella che è la struttura ossea, ovvero la base dove stanno i dentini della quale bisogna verificarne la crescita etc. Quindi si prescrivono rx e si fa la cefalometria che è questa analisi di cui si parla. Legga a questo proposito un mio articolo qui sul sito. Solo così si può capire bene come stanno le cose, quali sono le previsioni e progettare dunque l'apparecchio giusto. Ma non basta: bisogna tenere conto, ed eventualmente approfondire, sempre dal punto di vista diagnostico, delle cosiddette abitudini viziate. Ovvero della postura linguale e della respirazione orale. Ed eventualmente trattarle con tenacia, perchè se presenti potrebbero essere alla base della malocclusione del bambino, può esserne la causa. E se non si fa diagnosi esatta, se non si trattano le possibili cause, se non si progetta l'apparecchio giusto, non solo si perdono tempo, soldi e fatiche. Ma si rischia di perdere il treno che passa e il caso, se non corretto bene per tempo, diventa chirurgico..
CONTINUA A LEGGERE
Pubblicato il 29-04-2010
Signora, la scelta di un medico dentista va sempre fatta in base alla fiducia ed alla professionalità che ispira il medico al paziente. Una volta accordata la fiducia, bisogna lasciar lavorare il professionista, il quale a sua volta saprà spiegare le sue scelte al paziente e chiederne i consensi necessari. A volte i medici si esprimono in modo differente tra loro, e questo può far sembrare che vi siano pareri discordanti, quando invece si dicono le stesse cose ma in diverso modo. Non conosco la gravità della terza classe scheletrica di suo figlio ma, essendo stata diagnosticata in tempi giusti (il bambino ha 6 anni!), personalmente opterei di approfondire la diagnosi per tentare una rieducazione posturale della lingua, osservarne gli effetti a breve e medio termine, dando fiducia all'ottimismo dei Dottori dell'ultima proposta che, correggendo la causa patogenetica, non esclude la correzione della terza classe con apparecchi tipo maschera di Delaire.
CONTINUA A LEGGERE
Pubblicato il 29-04-2010
Cara Signora Alessandra...l'unica cosa che le posso dire per certo è di non perdere tempo...cerchi un noto ortodontista e faccia iniziare la terapia ortopedica subito al suo bambino, perchè in un certo senso è un pò tardi perchè la terapia ortopedica di avanzamento del mascellare è molto più efficace prima che avvenga la "saldatura" delle suture ossee pterigo-mascellari processo che avviene intorno ai 7 anni circa e anche prima... quindi un progenismo va corretto di regola prima dei 5 anni. In un certo altro senso a seconda della reale patologia di terza classe ... che dipende da una infinità di problemi da valutare con accurato check up ortodontico e cefalometria che misura delle semirette che individuano dei piani e degli angoli in base a cui si fa una diagnosi e si prospetta una terapia ortodontica ... in un certo altro senso dicevo ci sono anche possibilità di intervenire solo ortodontiamente per esempio con la maschera di Delaire con cui si ottiene un avanzamento del mascellare superiore con trazioni elastiche posizionate tra un arco intraorale ed una apparecchiatura extraorale....o con le SIM (Elastici interni tra arcate dentarie)...ma stiamo "filosofeggiando"...bisogna solo visitare il bimbo per rispondere adeguatamente!...Tenga presente che esistono anche trattamenti chirurgici........Cordialmente Gustavo Petti, Parodontologia, Implantologia, Gnatologia e Riabilitazione Orale Completa in Casi Clinici Complessi ed Ortodonzia e Pedodonzia la figlia Claudia Petti, in Cagliari
CONTINUA A LEGGERE
Pubblicato il 29-04-2010
Sig. Alessandra, la sola visita clinica a volte da solo una diagnosi indicativa che deve essere approfondita con RX da cui nascono dei tracciati cefalometrici da cui si può ottenere una previsione di crescita della mandibola di suo figlio. Quando si conosce questa previsione, è anche possibile stabilire un corretto piano terapeutico, che dovrebbe essere eseguito in fase di crescita. In molti casi le apparecchiature miofunzionali sono indicate ma dopo una corretta diagnosi.
Pubblicato il 29-04-2010
Gentile Alessandra, le hanno dato la possibilità di scegliere la terapia????? strano avrò letto male... se è confusa e i pareri sono discordanti tra i medici che hanno visitato suo figlio, come si può confortare a distanza senza una visita, senza indagini radiografiche e studio del caso!!!! L'ortodonzia è quella branca dell'odontoiatria che studia le diverse anomalie della costituzione, sviluppo e posizione dei denti e delle ossa mascellari e senza uno specifico e attento studio, non è possibile affrontare nessun caso. L'unico conforto che posso darle è che esistono delle terapie che danno ottimi risultati. Buona giornata
CONTINUA A LEGGERE
Pubblicato il 29-04-2010
Gent.ma mamma, comprendo la sua disperazione per i pareri discordanti dei dentisti da lei consultati, cmq, non disperi perchè l'età del suo bambino ancora può consentire un buon risultato. Le consiglio di rivolgersi ad un ortodontista puro che attraverso una teleradiografia laterale ed un esame approfondito cefalometrico sarà senz'altro in grado di valutare l'accrescimento delle ossa e potere intervenire durante tale fase con terapie congrue. Sicuramente da una approfondita anamnesi risulterà che anche in qualcuno dei suoi parenti o di quelli di suo marito ci sarà stato qualche caso analogo. Le raccomando di non trasmettere al piccolo la sua ansia spiegandogli che tutto si rimetterà a posto nel giro di qualche anno. Cordialmente
CONTINUA A LEGGERE
Pubblicato il 29-04-2010
Cara Signora si affidi ad un bravo odontoiatra specializzato in ortognatodonzia, (chieda a suoi conoscenti, amici/amiche, colleghi ecc oppure guardi nel portale se nelle sue vicinanze c'è un collega che si occupa di ortodonzia). Vedrà che dopo un'attenta visita e valutazione ortodontica le proporrà il trattamento più indicato. cordiali saluti
Pubblicato il 30-04-2010
Gentile signora Alessandra, l’ortodonzia è molto arte ma oggi ci sono numerosi dati che aiutano ad avvicinarla ad una scienza. Mi spiego: se l’ortodontista è molto esperto ed è capace di vedere bene un problema, il più delle volte è solo con delle misurazioni precise su radiografie del cranio, si potrà definire dove sta il difetto di crescita che ha determinato questo problema. Io le chiedo: sono stati fatte le analisi del caso? Solo se il mascellare superiore è indietro o piccolo, una maschera di Delaire può aiutarlo bene, mentre se è la mandibola, che geneticamente sta crescendo troppo, bisogna rassegnarsi e prepararsi alla chirurgia a fine crescita (se il paziente lo desiderasse: perché si può vivere bene anche se 3° classe, se maschi). Anche le funzioni del distretto facciale sono ottime o sono da correggere? Aspetto da non trascurare perché fondamentale. Non si perda d’animo e si affidi ad un ortodontista. Cordialmente E.Spagnoli
CONTINUA A LEGGERE
Pubblicato il 30-04-2010
Cara mamma, non stia in ansia cerchi un valido ortodontista specialista e saprà come risolvere il suo problema. saluti
Pubblicato il 30-04-2010
Cara signora, su una cosa siamo tutti d'accordo: bisogna iniziare prima possibile la terapia per i motivi già spiegati dal dott. Petti. Una diagnosi precisa non posso farla via web, ma le posso dire che se siamo di fronte a una vera III classe scheletrica a componente mandibolare (ossia la mandibola è geneticamente programmata per crescere tanto), si deve iniziare prima possibile, poichè le probabilità di risoluzione del caso non sono altissime, se inoltre lasciamo passare del tempo queste si riducono drasticamente. Cordialmente
CONTINUA A LEGGERE
Pubblicato il 30-04-2010
Gentile signora, non si capisce bene come le hanno elaborato la diagnosi, comunque non disperi e inizi subito un trattamento ortodontico, dopo una corretta diagnosi. In 30 anni di attivita' ortodontica le terze classi scheletriche le ho risolte, nella maggior parte dei casi, senza ricorrere alla chirurgia. Una corretta diagnosi nasce da uno studio del caso corretto: -esame di una opt -esame di una telecranio, con relativa cefalometria -esame dei modelli -esame dei modelli fotografici -valutazione anamnestica.
CONTINUA A LEGGERE
Pubblicato il 01-05-2010
Buongiorno signora. Lei ha assolutamente ragione quando dice che non si deve sprecare tempo. Per noi, però, dare una risposta senza aver visitato il bambino è molto complicato e rischia di non essere preciso. La terza classe si presenta sotto varie forme, e può essere maggiorata con abitudini viziate. Bisogna capire da dove viene il problema, facendo una diagnosi corretta con foto, impronte e radiografie, rimuovendo gli ostacoli (al livello di denti o abitudini funzionali) che trattengono la terza classe, e poi applicando un apparecchio per far tornare mascellare e mandibola in un senso corretto di crescita. La maschera di Delaire funziona bene, pero è molto impegnativa. Bisogna anche valutare se non si debba intervenire al livello del palato, forse per allargarlo. Scelga un ortodontista che le ispiri fiducia, con il quale è sicura che ci sarà una comunicazione continua, e che le possa spiegare tutto costantemente, anche durante il trattamento. Cordialmente
CONTINUA A LEGGERE




Dentista Sardegna, Cagliari
Vedi la scheda
Dentista Campania, Salerno
Vedi la scheda
Dentista Abruzzo, L'Aquila
Vedi la scheda
Dentista Sardegna, Cagliari
Vedi la scheda
Dentista Lombardia, Milano
Vedi la scheda