Menu
ricerca per categoria

Domande di Dentisti-Italia.it | Pag. 48 (da 46 a 50)

Risultati trovati: 9748
Questa Sezione è dedicata a tutti coloro che intendono porre una domanda agli Odontoiatri del Circuito di Dentisti Italia e ricevere da essi preziosi consigli per le possibili soluzioni di ogni problema dentale.

Per porre una domanda è necessario, prima di tutto, effettuare la registrazione.

NB. NON saranno validate le domande:

  • a contenuto generico (carie, estrazioni dentali, granulomi, ascessi, dolore denti, protesi, impianti, ecc.. ), se non dettagliate nei particolari e, possibilmente, corredate da documentazione ( RX endorali, Ortopanoramiche, immagini fotografiche, ecc... );
  • a contenuto specifico ( malocclusioni, disfunzioni ATM, denti storti, ecc...) se prive di documentazione allegata (RX arcate dentarie, Teleradiografia latero-laterale e postero-anteriore, Stratigrafia a bocca aperta e bocca chiusa, TAC (Cone Beam) ai condili, immagini fotografiche, ecc... );
  • già poste da altri utenti/pazienti e che hanno ricevuto esaustive risposte. Prima di porre una qualsiasi domanda è, pertanto, opportuno consultare il data base delle domande già poste.

Estrazione denti del giudizio

Buongiorno a tutti. Vorrei fare un paio di domande ma prima devo raccontare la mia storia circa l'estrazione di 2 denti del giudizio (48 e 38). Il 48 è stato estratto a fine novembre 2020 dopo che parte della gengiva aveva iniziato a ricoprirlo e, di conseguenza, avevo dolore e fastidio durante la masticazione. Decido di contattare il

Leggi tutto

In bocca ho un sapore che va dall'acido all'aspro che mi sta facendo diventare matta..

Buonasera mi rivolgo a voi perché sembra che non si trovi uscita al mio problema. Avevo 3 impianti..adesso due..e avevo fatto rialzo seno mascellare..dove ha tolto l'impianto ha rimesso subito un po' di osso bovino.. Il mio dentista non capisce se i miei sintomi sono da ascrivere a galvanismo oppure a infezione batterica

Leggi tutto

DOLORE ESTRAZIONE DOPO UNA SETTIMANA

Buongiorno, una settimana fa mi è stato estratto il 36. Il dentista mi disse che dopo una settimana avrei potuto mangiarci sopra, ma a me fa ancora male. Il dolore sembra anche essere aumentato rispetto all'inizio. Il male si estende su entrambe le arcate e anche all'orecchio. Attualmente, quando il dolore è medio/forte

Leggi tutto

Un ferma lingua può essere utile per educare la lingua ad articolare correttamente la S sorda?

Preg.mi dottori, studio dizione e ho letto che un fermalingua può essere utile per educare la lingua ad articolare correttamente la s sorda. Mi rivolgo a voi per sapere se posso acquistarlo e usarlo tranquillamente o se corro il rischio di farmi del male. Grazie in anticipo Paolo

Leggi tutto

Un anno fa mi è stato fatto un provvisorio

Buongiorno, il mio quesito verte su un ponte che coinvolge i denti 35/36/37. Un anno fa mi è stato fatto un provvisorio ed era perfetto, riuscivo ad utilizzare gli scovolini senza alcun problema e anche il mio dentista aveva constatato che la pulizia era ottimale. Dopo questo anno mi è stata presa l'impronta e mandata dal tecnico

Leggi tutto

Può fare l'anestesia locale?

Buongiorno dottori, mi rivolgo a voi con una domanda a cui spero mi risponderete indicandomi la scelta più giusta vista la situazione, mio padre cardiopatico ha un impianto ICD bicamerale Boston, in più si è sottoposto ad un intervento di CRYO ablazione delle 4 valvole polmonari e con un totale di 3 tre anestesie, ad oggi

Leggi tutto

I canini non sono ancora scesi a causa del poco spazio

Sono il papà di un bambino di 8 anni. Alla sua prima visita, l'ortodontista ha rilevato dalla panoramica che i canini non sono ancora scesi a causa del poco spazio a loro riservato in quanto presente un diastema tra gli incisivi superiori. Subito mi veniva proposta la frenulectomia con bisturi tradizionale da effettuarsi da un collega

Leggi tutto

Sporgenza bianca dalla gengiva

Buonasera, a causa di un dente parzialmente occluso, sono costretto ad effettuare una pulizia un pò più approfondita del normale (con uso di scovolini che vanno tra dente e gengiva sopra il dente). Da qualche giorno mi sono accorto di avere una piccola sporgenza bianca che viene fuori dalla gengiva, a contatto con la parte superiore

Leggi tutto

Posso rimuovere il dente senza fare un impianto?

Salve, vorrei porre un quesito. Non dispongo di lastra da potervi inviare al momento, comunque: anni fa (una decina circa) mi è stata fatta una devitalizzazione e otturazione in una clinica in modo errato sul terzo molare inferiore dx. Sotto al dente si è sviluppata un'infezione (granuloma), che al momento non provoca dolore ma

Leggi tutto

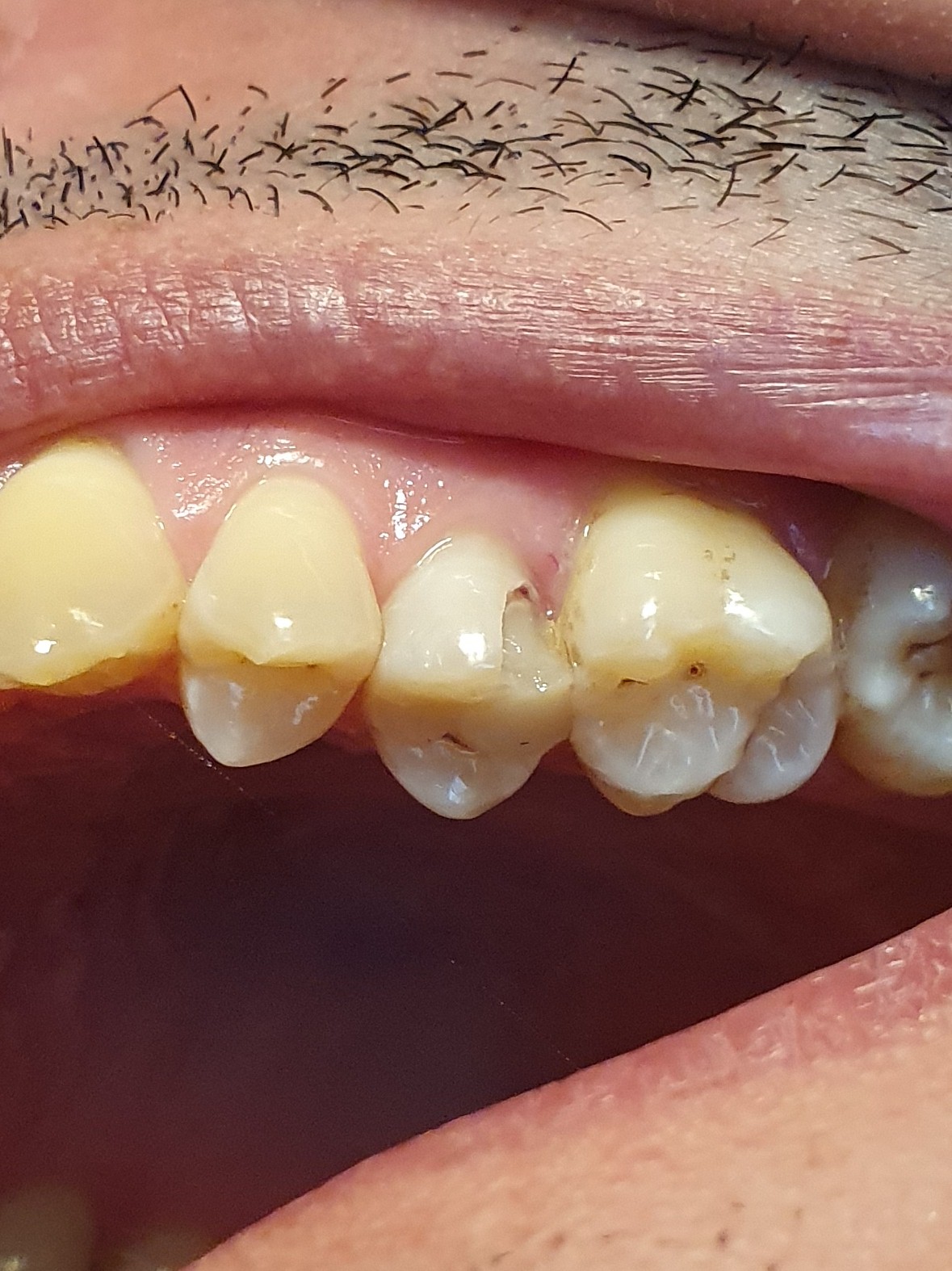
Circa un mese fa nel mangiare ho accusato un fastidio al dente.

Buongiorno a tutti, circa un mese fa nel mangiare ho accusato un fastidio al dente, nel controllare mi sono accorto che si è letteralmente lesionato in due. Vorrei un consiglio dagli esperti per capire cosa è possibile fare. Premetto che questo dente aveva un otturazione da anni per una piccola carie che di conseguenza e andata via.

Leggi tutto