Menu
ricerca per categoria

Domande di Dentisti-Italia.it | Pag. 525 (da 521 a 525)

Risultati trovati: 9724
Questa Sezione è dedicata a tutti coloro che intendono porre una domanda agli Odontoiatri del Circuito di Dentisti Italia e ricevere da essi preziosi consigli per le possibili soluzioni di ogni problema dentale.

Per porre una domanda è necessario, prima di tutto, effettuare la registrazione.

NB. NON saranno validate le domande:

  • a contenuto generico (carie, estrazioni dentali, granulomi, ascessi, dolore denti, protesi, impianti, ecc.. ), se non dettagliate nei particolari e, possibilmente, corredate da documentazione ( RX endorali, Ortopanoramiche, immagini fotografiche, ecc... );
  • a contenuto specifico ( malocclusioni, disfunzioni ATM, denti storti, ecc...) se prive di documentazione allegata (RX arcate dentarie, Teleradiografia latero-laterale e postero-anteriore, Stratigrafia a bocca aperta e bocca chiusa, TAC (Cone Beam) ai condili, immagini fotografiche, ecc... );
  • già poste da altri utenti/pazienti e che hanno ricevuto esaustive risposte. Prima di porre una qualsiasi domanda è, pertanto, opportuno consultare il data base delle domande già poste.

SEGUITO ALLA DOMANDA: E' normale che si sia spezzata la capsula provvisoria?

Gentili dottori, giorni fa vi avevo chiesto se sia normale che una capsula provvisoria si rompi. Volevo ringraziarvi e precisare che per i tempi ci sono vari problemi. Ad oggi, la seconda capsula provvisoria si è di nuovo rotta(dopo 2 settimane) e il mio dentista mi ha detto che mi deve rifare una radiografia (l'altra fu fatta prima

Leggi tutto

E' possibile che il mio dentista, con una visita di 5 minuti, riesca a darmi la certezza che non perderò i denti?

Buongiorno, ho 26 anni e dopo 7 anni che non mi recavo dal dentista finalmente oggi mi sono fatta coraggio e ho affrontato la "vista di controllo" dall'odontoiatra che mi ha in cura da quando sono piccola (con lui ho messo apparecchi..fatto sempre pulizie..ecc.). Ero molto spaventata in quanto quasi tutti i denti presentano una

Leggi tutto

Ringraziamenti per le risposte ricevute alla domanda: Un dentista locale mi ha detto che dovrei levare il dente del giudizio...

Salve sono il ragazzo che vive in Australia. Ringrazio tutti per le risposte siete stati gentilissimi. Lunedi seguiro' il vostro consiglio. Dott. P. Passaretti certo sono molto costosi i dentisti in australia http://www.dentisti-italia.it/dentista_domande/denti-del-giudizio/5705_dente-del-giudizio-da-estrarre.html 

Leggi tutto

Circa un anno fa ho iniziato a sentire un dolore che credo possa essere ricondotto ad una sintomatologia pulpare

Buon pomeriggio, circa un anno fa ho iniziato a sentire un dolore che credo possa essere ricondotto ad un sintomatologia pulpare (solo di notte, il dolore irradiava la testa e in partcolare l’occhio) Dopo una visita con il dentista, questi concludeva che la causa fosse il 7 superiore per un otturazione troppo vicina al nervo, controllava

Leggi tutto

Circa 8 mesi fa mio figlio (che ora ha 5 anni) ha subito un trauma ad un incisivo centrale superiore deciduo

Buongiorno, circa 8 mesi fa mio figlio (che ora ha 5 anni) ha subito un trauma ad un incisivo centrale superiore deciduo, che dopo un paio di settimane è diventato grigio. Il mio dentista ha praticato un forellino internamente per le cure endodontiche, provvedendo periodicamente a controllare la situazione. Circa un mese fa la gengiva

Leggi tutto

Prima dell'intervento dovrò togliere lo splint dentale?

Salve a tutti, ho bisogno di un informazione. Tra non molto dovrò subire un intervento chirurgico e vorrei sapere se devo far togliere lo splint dentale nell'arcata inferiore. E' un filo di acciaio molto sottile fissato con della resina(non so che materiale sia) Ho già fatto varie risonanze e non ho avuto problemi. Grazie

Leggi tutto

Posso estrarre questo molare per un' eventuale protesi?

Gentili dottori vorrei sapere se con una T.A.C.con una simile diagnosi: Ampia osteorarefazione periradicolare in sede molare sinistro e ispessimento mucoso del pavimento del seno mascellare sinistro. Posso estrarre questo molare per un' eventuale protesi? da tenere presente che lo stesso molare anni fa subi un intervento chirurgico per un

Leggi tutto

Devo estrarre un dente del giudizio ma continuo a rimandare per la mia fobia delle estrazioni.

Salve, la mia è una situazione molto semplice, che spero trovi una soluzione altrettanto facile. Devo estrarre un dente del giudizio (inferiore, sinistro), ma continuo a rimandare per la mia fobia delle estrazioni. Ne ho effettuate diverse in passato e si sono rivelate tutte traumatiche. Ho una soglia del dolore bassissima, soprattutto per

Leggi tutto

Un dentista locale mi ha detto che dovrei levare il dente del giudizio...

Salve le scrivo dall'Australia dove vivo. Ho un problema ad un dente e durante le lastre un dentista locale mi ha detto dovrei levare il dente del giudizio che spinge e che copre un dente cariato, e perciò è da levare per poter cosi' otturare il dente cariato. Inoltre ho un dente devitalizzato che mi ha fatto male un paio di

Leggi tutto

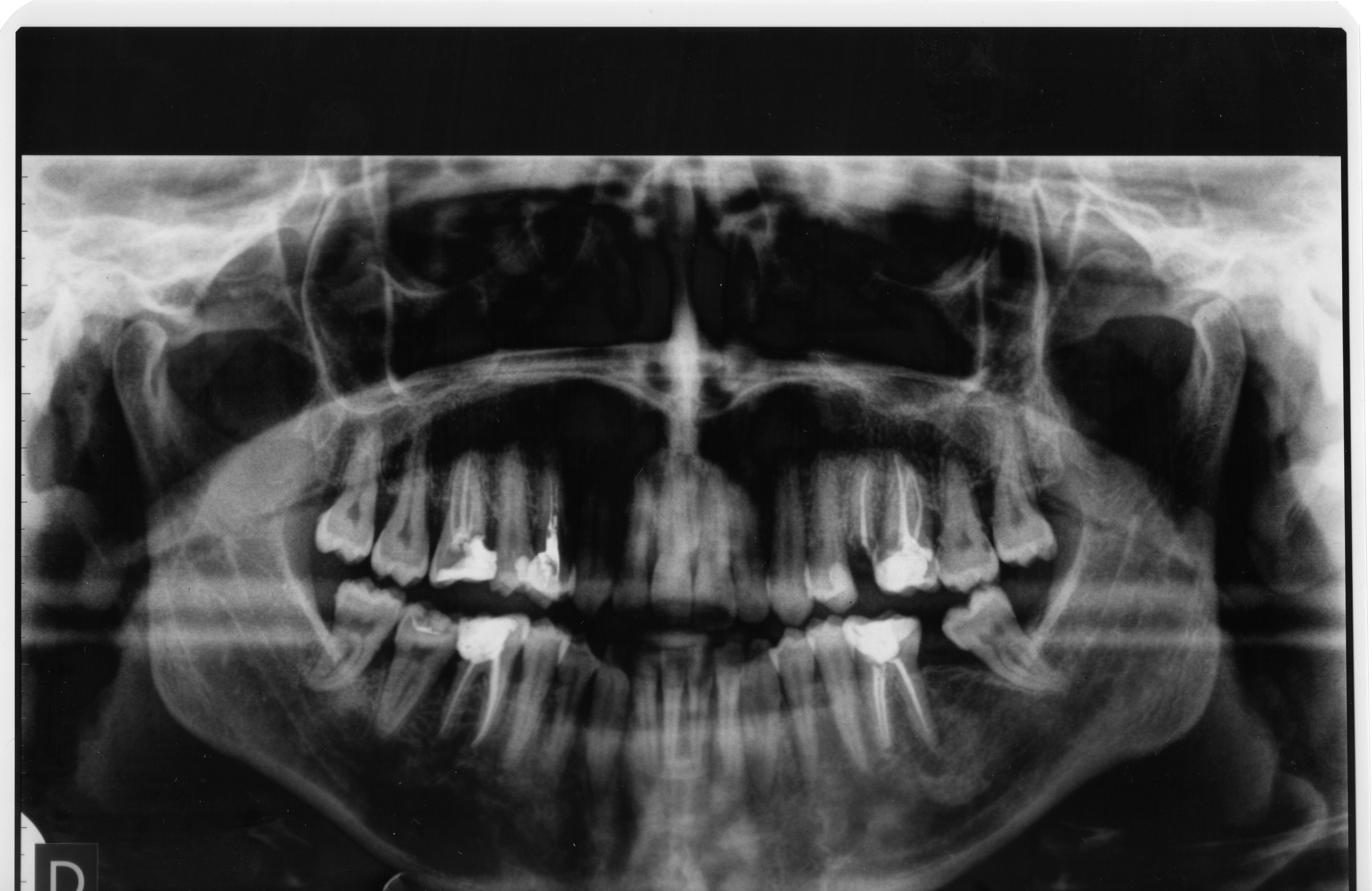
SEGUITO ALLA DOMANDA: Da circa due settimane quando apro la bocca sento un fastidio

Buongiorno, ringrazio molto tutti i dottori che hanno risposto alla mia domanda relativa al click che sento quando apro la bocca. Ho colto l'occasione per allegarvi una panoramica della mia bocca, risalente al mese di giugno 2011. Il dente del giudizio superiore sinistro che vedete, adesso non c'è più. L'ho tolto ad agosto

Leggi tutto