E' possibile recuperare l'aspetto estetico di un sorriso con il massimo risparmio di tessuto dentale semplicemente attraverso la tecnica di sbiancamento del singolo dente senza ricorrere a tecniche più sofisticate, più invasive e sicuramente più costose quali le faccette in ceramica che restano un'ottima soluzione terapeutica, ma che trovano le loro indicazioni in altre soluzioni terapeutiche dove oltre al colore è necessario, per migliorare l'aspetto estetico del sorriso, anche apportare una modifica della forma dell'elemento dentario.
Sbiancamento dente non vitale
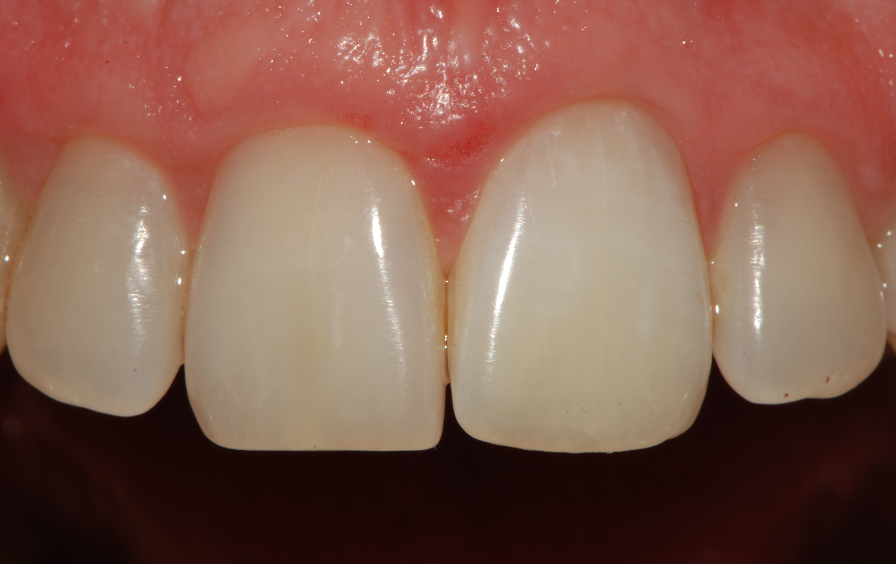
Sbiancamento di un dente discromico secondo le moderne tecniche a disposizione
TAG: sbiancamento dente discromico



Dentista Emilia Romagna, Rimini
Vedi la scheda
Dentista Campania, Napoli
Vedi la scheda
Dentista Piemonte, Novara
Vedi la scheda
Dentista Basilicata, Matera
Vedi la scheda
Dentista Campania, Caserta
Vedi la scheda