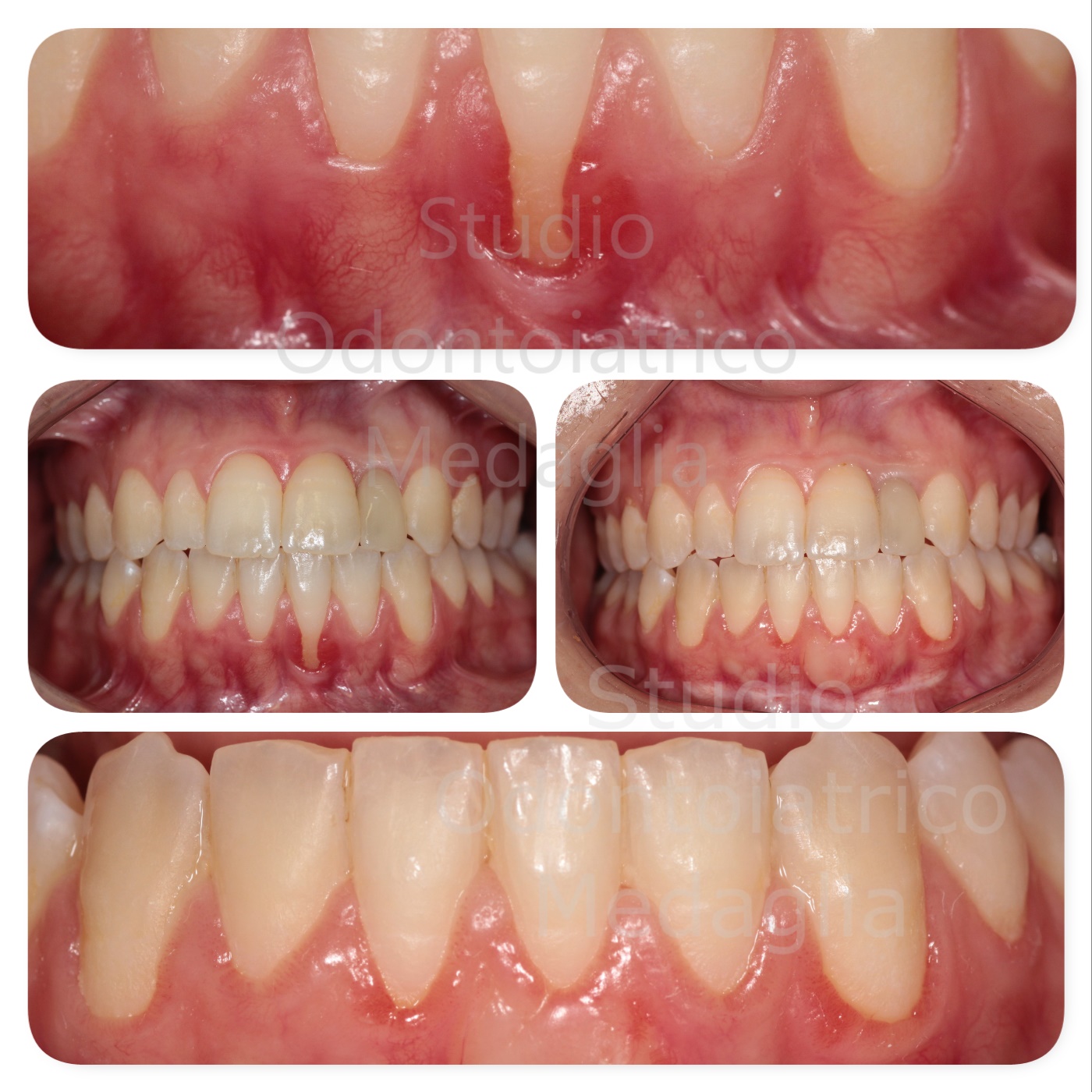
Paziente donna, 24 anni, razza caucausica, discreta igiene orale, non fumatrice, nega la presenza di patologie e/o fattori di rischio per la progressione della malattia parodontale. Si presenta a visita per la presenza in regione 31 di una recessione vestibolare.
L’ipersensibilità dentinale, la profondità della lesione associata all’ormai ridotto spazio del vestibolo inferiore, non permette alla paziente di eseguire efficacemente le manovre di igiene orale domiciliare. Si noti inoltre la presenza di trazioni muscolari periferiche alla lesione. La presenza di questi fattori di rischio che possono risultare in un peggioramento della lesione fornisce indicazione al trattamento chirurgico.
Si noti la ricopertura completa e il buon blending dei tessuti. E’stata rinforzata la motivazione della paziente circa il mantenimento di un livello di igiene orale ottimale in assenza di traumatismi.





Dentista Veneto, Treviso
Vedi la scheda
Dentista Emilia Romagna, Reggio Emilia
Vedi la scheda
Dentista Lazio, Viterbo
Vedi la scheda
Dentista Lombardia, Milano
Vedi la scheda
Dentista Emilia Romagna, Parma
Vedi la scheda