Cura della parodontite - piorrea
Cura della parodontite - piorrea
Parodontite - piorrea
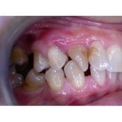
La paziente presenta parodontite ("piorrea") a carico della zona incisiva e premolare superiore. Sono presenti vecchi restauri in composito sui canini e sull'incisivo laterale di destra, mentre l'incisivo laterale di sinstra è rivestito in ceramica.
Dopo istruzione e motivazione della paziente alle normali manovre di igiene orale domiciliare, si preparano i tessuti alla terapia chirurgica della malattia parodontale con sedute di detartrasi (ablazione del tartaro).
Si notino le alterazioni di colore e di tonicità dei tessuti gengivali. La gengiva appare bulbosa rigonfia e arrossata. Alla pressione si osserva fuoriuscita di essudato.
Dopo guarigione dei tessuti parodontali a seguito di chirurgia parodontale conservativa si eseguono le corone in metallo-ceramica sugli incisivi laterali e sui canini. La recessione del margine gengivale dopo la chirurgia rende i denti restaurati più lunghi dei denti vicini.
TAG: cura della parodontite - piorrea









Dentista Sardegna, Cagliari
Vedi la scheda
Dentista Emilia Romagna, Parma
Vedi la scheda
Dentista Lombardia, Monza e Brianza
Vedi la scheda
Dentista Abruzzo, Teramo
Vedi la scheda
Dentista Emilia Romagna, Bologna
Vedi la scheda