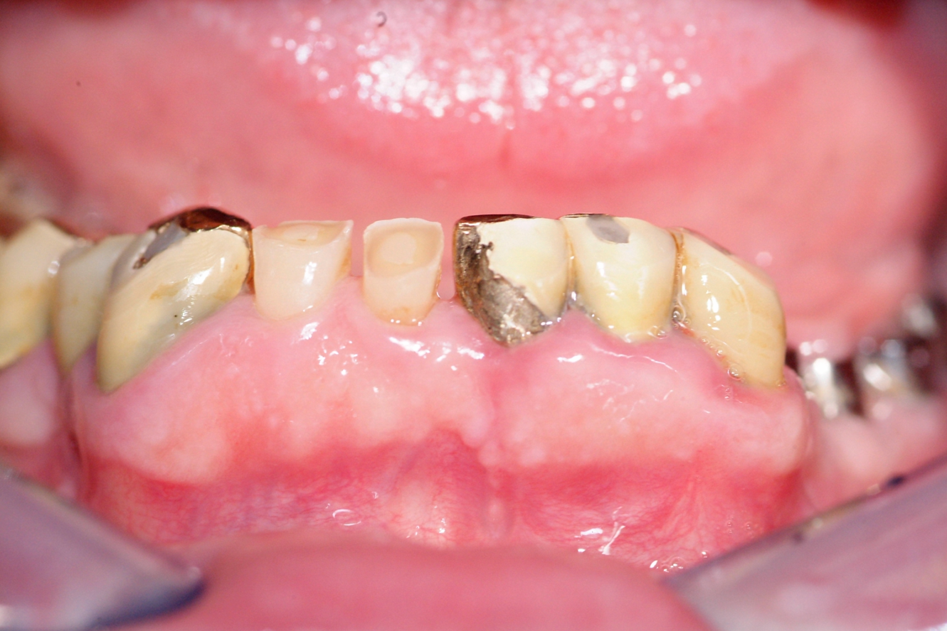
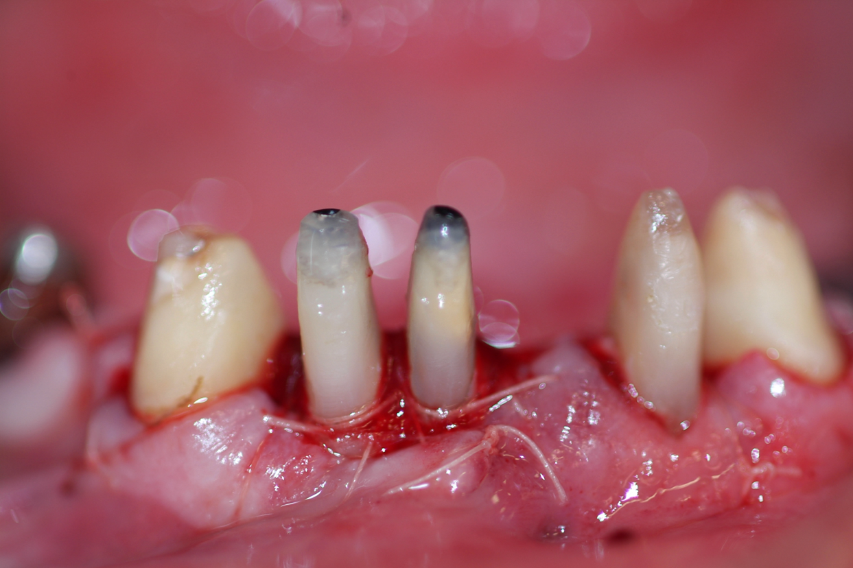
Il paziente chiede il rifacimento protesico di terapie eseguite da oltre 20 anni. Il caso comporta un trattamento multidisciplinare: endodontico, implantologico, protesico e di chirurgia osteoresettiva. Si rimodella l'osso per ridare un corretto profilo osseo e una nuova estetica al sorriso.
Chirurgia osteoresettiva
Riabilitazione orale delle due arcate protesi fisssa in oro ceramica dopo chirurgia osteoresettiva.
TAG: chirurgia osteoresettiva













Dentista Lombardia, Milano
Vedi la scheda
Dentista Molise, Campobasso
Vedi la scheda
Dentista Lombardia, Milano
Vedi la scheda
Dentista Emilia Romagna, Modena
Vedi la scheda
Dentista Emilia Romagna, Bologna
Vedi la scheda