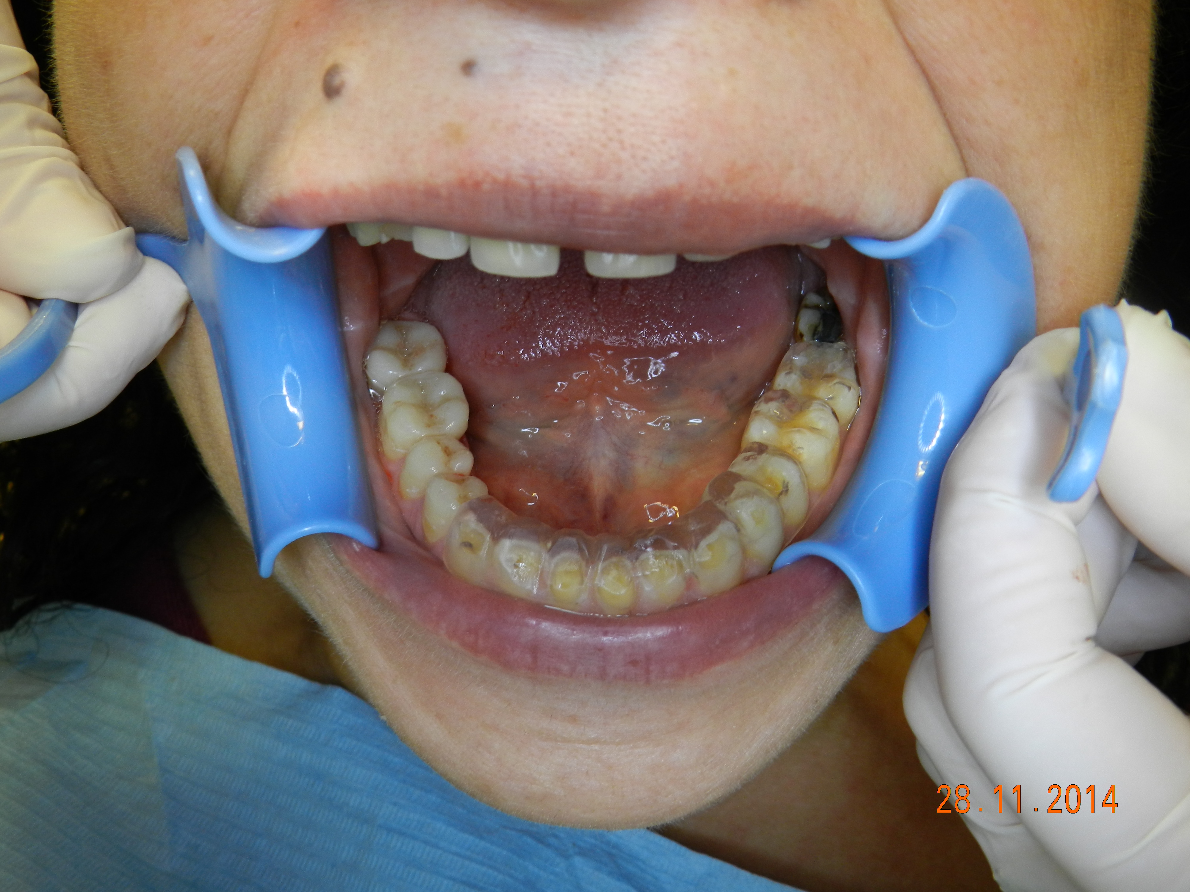
Un paziente affetto da grave usura dei denti frontali e posteriori, che ha interessato prevalentemente l'arcata dentale inferiore, è stata valutata per la ricostruzione cuspidale della dentatura. La sintomatologia dolorosa ai denti usurati ha richiesto un intervento ricostruttivo oltre quello dei soli sintomi dolorosi legati al bruxismo dentale.
La nuova posizione di occlusione è stata studiata con analisi kinesiografica dello spazio libero individuale e ricerca della posizione di riposo mandibolare con ausilio della stimolazione TENS trigeminale. Nella stessa visita è stata registrata la posizione fisiologica di occlusione ed è stato successivamente costruito un bite ri riposizionamento della mandibola secondo tali misure.
Dopo 3 mesi di attesa e di verifica clinica e strumentale dell'effettivo vantaggio terapeutico del piano ricostruttivo desiderato si è proceduto ad eseguire ceratura diagnostica dei modelli di lavoro. Costruzione di una mascherina di copia della ceratura diagnostica per la realizzazione di un modello provvisorio copia della ricostruzione occlusale fuutura da mantenere in bocca per le verifiche estetiche e funzionali.
Dopo alcuni giorni di collaudo provvisorio si eseguono le preparazioni dei denti per intasi posteriori in composito e le preparazioni dei denti frontali per la ceramizzazione.
Controol a distanza di tenuta dei restauri e costruzione di un bite protettivo aggiuntivo.
















Dentista Piemonte, Torino
Vedi la scheda
Dentista Lombardia, Bergamo
Vedi la scheda
Dentista Emilia Romagna, Parma
Vedi la scheda
Dentista Umbria, Perugia
Vedi la scheda
Dentista Lombardia, Varese
Vedi la scheda