Denti e bellezza, Filler | Casi Clinici
Indice Casi Clinici in Denti e bellezza - Risultati trovati: 71
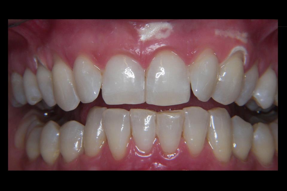
Faccette dentali estetiche
Caso di faccette dentali estetiche da canino a canino
Leggi tuttoFaccette estetiche dentali
Faccette estetiche in ceramica da laboratorio sul gruppo frontale estetico
Leggi tuttoFaccette dentali
Oggi con le faccette puoi avere un sorriso smagliante, con denti bianchi e luminosi
Leggi tuttoFaccette in ceramica stratificata
Rifacimento di faccette incongrue con manufatti in ceramica stratificata
Leggi tuttoRiabilitazione estetica superiore con impianti
Le riabilitazioni sui denti anteriori sono in grado di far tornare a sorridere con fiducia i pazienti
Leggi tuttoNuove tecnologie non invasive
Con le nuove tecnologie non invasive riusciamo a risolvere casi complessi senza compromettere l'estetica
Leggi tuttoFaccette estetiche non invasive
Oggi è possibile trasformare il propio sorriso attraverso faccette estetiche non invasive
Leggi tutto


Dentista Campania, Salerno
Vedi la scheda
Dentista Emilia Romagna, Rimini
Vedi la scheda
Dentista Lazio, Latina
Vedi la scheda
Dentista Sardegna, Sassari
Vedi la scheda
Dentista Lazio, Roma
Vedi la scheda