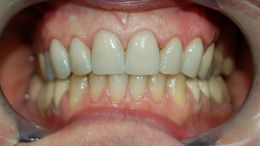
Il paziente si è presentato in studio con l'intento di sostituire 6 faccette del gruppo frontale superiore fatte circa 1 anno prima presso un altro professionista.
Dall'esame clinico si evidenziavano dei restauri in resina assolutamente non congrui sia da un punto di vista estetico che da un punto di vista di integrazione biologica (le gengive risultavano evidentemente infiammate).
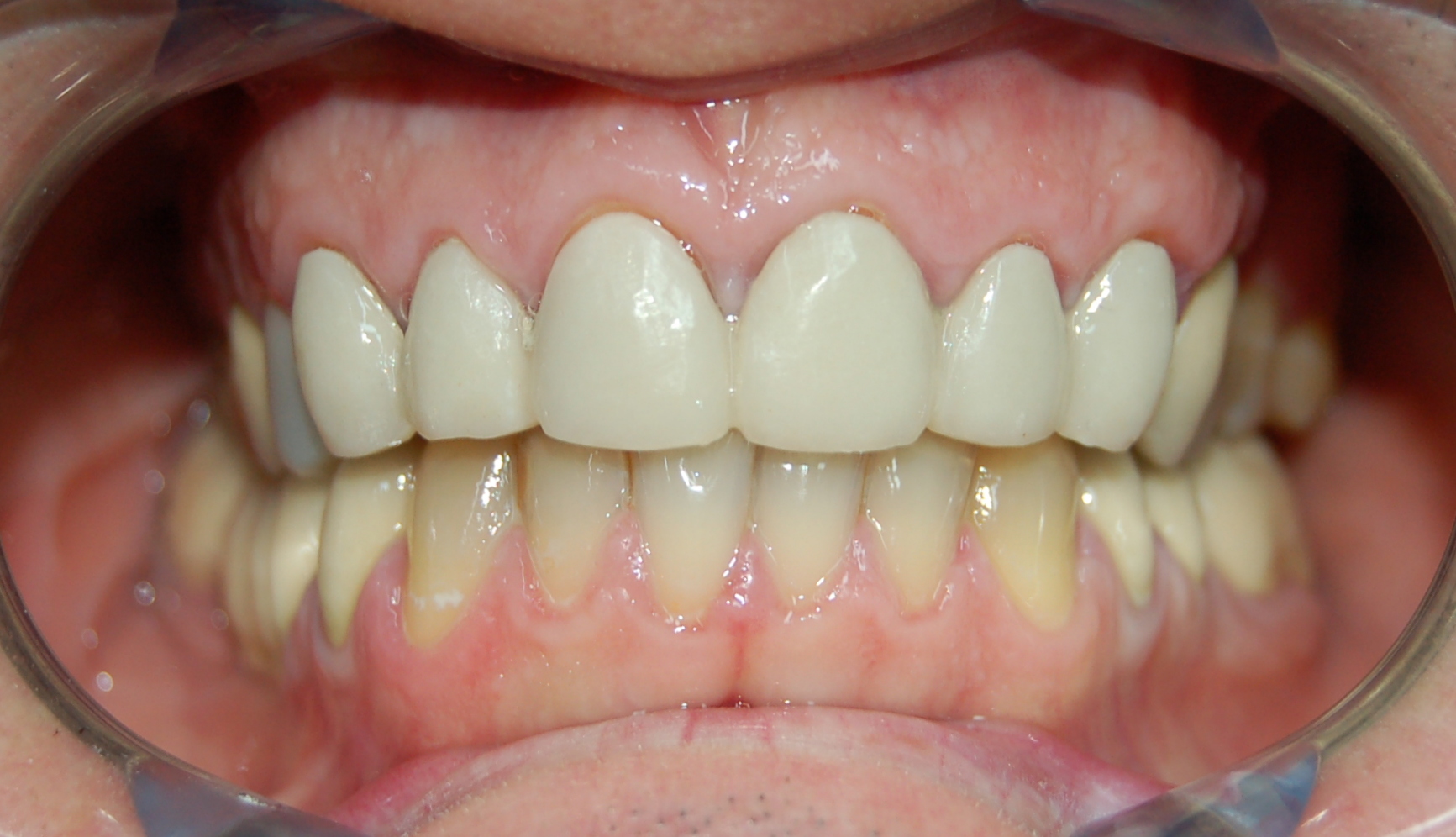
Le faccette sono state rimosse e gli elementi dentali sono stati ripreparati mantenendo sempre i margini di finitura a livello sopragengivale.
Particolare attenzione è stata rivolta alla realizzazione del provvisorio che insieme ad adeguate istruzione di igiene ha permesso di ridurre l'infiammazione dei tessuti gengivali.
A distanza di una settimana i manufatti definitivi sono stati cementati con tecnica adesiva utilizzando composito ENAMEL adeguatamente preriscaldato per garantirne una buona fluidità.
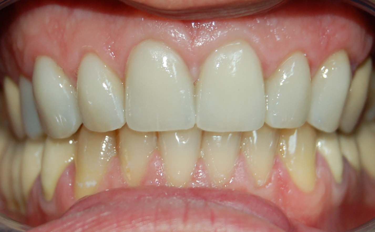
Il risultato ottenuto è assolutamente soddisfacente sia da un punto di vista estetico che da un punto di vista biologico.
Tutti gli elementi sono stati mantenuti vitali.
Il controllo a 1 mese mostra gli ulteriori miglioramenti dello stato dei tessuti molli.
Dall'esame clinico si evidenziavano dei restauri in resina assolutamente non congrui sia da un punto di vista estetico che da un punto di vista di integrazione biologica (le gengive risultavano evidentemente infiammate).
Le faccette sono state rimosse e gli elementi dentali sono stati ripreparati mantenendo sempre i margini di finitura a livello sopragengivale.
Particolare attenzione è stata rivolta alla realizzazione del provvisorio che insieme ad adeguate istruzione di igiene ha permesso di ridurre l'infiammazione dei tessuti gengivali.
A distanza di una settimana i manufatti definitivi sono stati cementati con tecnica adesiva utilizzando composito ENAMEL adeguatamente preriscaldato per garantirne una buona fluidità.
Il risultato ottenuto è assolutamente soddisfacente sia da un punto di vista estetico che da un punto di vista biologico.
Tutti gli elementi sono stati mantenuti vitali.
Il controllo a 1 mese mostra gli ulteriori miglioramenti dello stato dei tessuti molli.





.jpg)




Dentista Piemonte, Torino
Vedi la scheda
Dentista Calabria, Reggio Calabria
Vedi la scheda
Dentista Veneto, Verona
Vedi la scheda
Dentista Lombardia, Milano
Vedi la scheda
Dentista Campania, Salerno
Vedi la scheda