La prima volta mi è stata diagnosticata la parodontite a 20 anni
Scritto da Luca / Pubblicato il
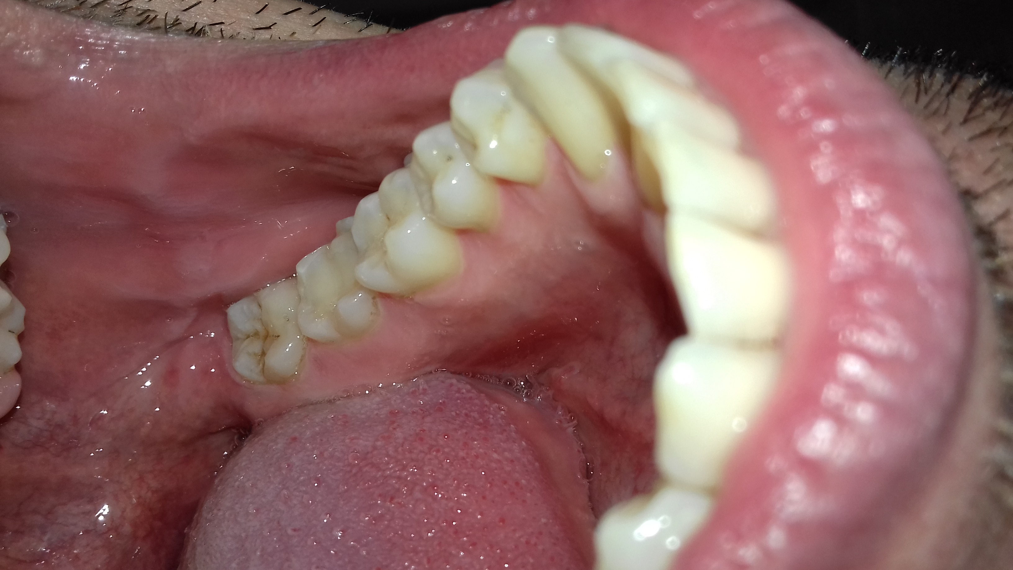
Buonasera sono Luca 32 anni. La prima volta mi è stata diagnosticata la parodontite a 20 anni, la gengive in effetti sanguinamento spesso. Ho poi cambiato dentista in quanto voleva estrarmi i 4 denti del giudizio. Infatti il successivo non ha intrapreso questa strada e ad oggi sono ancora nella mia bocca. L'attuale dentista, che mi segue da 8 anni, ha sempre sostenuto che non ho problemi di parodontite e che con una corretta igiene avrei tenuto i miei denti in bocca fino almeno a 60 anni. Nonostante queste rassicurazioni la recessione gengivale è andata sempre aumentando. Un anno fa ho deciso di mettere l'invisalign, in quanto avevo un affollamento nell arcata inferiore che rendeva difficile la pulizia dei denti. Da allora ho notato una netta recessione gengivale, si sono creati diastemi e alcuni denti si muovono leggermente. Secondo il dentista è fisiologico del trattamento ortodontico. Allego alcune foto dei denti, non che vi stia chiedendo una diagnosi, ma un Vs parere sulla situazione gengivale visiva sarebbe gradito. Le gengive non sanguinato neanche durante la seduta d'igiene. Passo il filo 3 volte al giorno. Ma la recessione e l'alito non impeccabile mi fanno temere il peggio. Vorrei sottopormi ad una visita da un guru della parodontologia. Ma non ne conosco. Potreste darmi qualche consiglio? Grazie in anticipo
Pubblicato il 11-06-2018
Buon allineamento visivo, "le gengive non sanguinano neanche durante le sedute d'igiene"...il guro della paradontologia...
che deve fare un dentista per mantenere la fiducia dei suoi pz?
Se succedesse a me una cosa del genere rifiuteri di averla ancora come paziente senza neanche indicarle il "guro".
Troppo web e saccenza ci hanno portato a questo.
che deve fare un dentista per mantenere la fiducia dei suoi pz?
Se succedesse a me una cosa del genere rifiuteri di averla ancora come paziente senza neanche indicarle il "guro".
Troppo web e saccenza ci hanno portato a questo.
Pubblicato il 11-06-2018
Per fare diagnosi di parodontite occorre una visita con un sondaggio parodontale (cioè una serie di misurazioni degli spazi tra gengiva ed osso) e poi una serie di radiografie (endorali). Solo dopo è possibile fare una diagnosi.
La presenza di recessioni di per se non indicano parodontite.
A Torino può rivolgersi al Dott. Roberto Abundo, al Prof Giuseppe Corrente.
Saluti
La presenza di recessioni di per se non indicano parodontite.
A Torino può rivolgersi al Dott. Roberto Abundo, al Prof Giuseppe Corrente.
Saluti
Pubblicato il 11-06-2018
Caro Signor Luca, buongiorno. "avrei tenuto i miei denti in bocca fino almeno a 60 anni".
1- Mi si dovrebbe spiegare come si possa mai fare una previsione simile! In ogni caso ...io ho 68 anni e ho tutti denti in bocca e due soli otturati! Quindi parlare di 60 anni, per di più oggi, è anacronistico! Conosco tanti pazienti di oltre 80-90 anni che hanno quasi tutti i denti in bocca e quei pochi mancanti, riabilitati protesicamente su denti naturali o implantologicamente, ovviamente miei pazienti, curati e tenuti sotto controllo! Ancora ovviamente, sono pazienti sotto controllo Parodontale e Gnatologico, oltre che conservativo, costante o che hanno subito chirurgia Parodontale ossea GBR (Guided Bone Regeneration = Rigenerazione ossea guidata) e GTR (Guided Tissue Regeneration = Rigenerazione tissutale guidata), che impedendo la proliferazione cellulare di elementi
indesiderati e stimolando quelli desiderati, portano ad una rigenerazione parodontale profonda e terapia di mantenimento con Igiene Orale Professionale e Curettage e Scaling e Root Planing periodiciper tutta la Vita!
2- Guardi che fare diagnosi di Parodontite è semplicissimo per un Dentista e meglio se Parodontologo! Occorrono due visite cliniche strumentali, semeiologiche e anamnestiche, intervallate da una preparazione iniziale con curettage e scaling e serie completa di Rx endorali, modelli di studio e tanto altro. Visite con sondaggio parodontale in sei punti di ogni dente di tutti i denti e tanto altro e seconda visita di rivalutazione con risondaggio delle tasche che ora indicheranno la reale profondità delle stesse perché è stato escisso il tessuto di granulazione presente! Solo così si arriva ad una Diagnosi e ad una pianificazione terapeutica. Con le Rx endorali e le prove termiche e la Visita Clinica si valuta anche la presenza di carie, necrosi endodontiche, osteolisi periapicali, stomatiti etc. !!! E' stato fatto questo? Penso proprio di no! Non faccia fare terapia Ortodontica prima della Visita, Diagnosi e pianificazione terapeutica parodontale! Le tasche parodontali, tra l'altro, possono, anche se molto raramente, essere causa di infarto del miocardio (in particolare nel sesso femminile è stata dimostrata una relazione inconfutabile tra presenza di tasche parodontali e infarto del miocardio con incidenza maggiore che nel sesso maschile) e di malattie focali a distanza di organi importanti che hanno il loro Fucus di partenza "in cavità dell'organismo comunicanti con l'esterno", in questo caso le tasche parodontali in una Parodontite DNDD ma, qualsiasi infezione di qualsiasi cavità comunicante con l'esterno, del corpo umano, può essere in causa! Le Spiego:La Parodontite è una infiammazione dovuta alla interazione delle tossine batteriche con il sistema immunitario, locale legato ai linfociti T e Sistemico più in senso lato!
3- Probabilmente Lei confonde, data la giovane età, una Parodontite con le Recessioni Gengivali che non hanno niente a che fare l'una con l'altra ma possono coesistere aggravandosi vicendevolmente! Ovvio, è stata fatta una terapia ortodontica, mi auguro solo dopo Cefalometria e Check up Ortodontico completo, con mascherine trasparenti, evidentemente non ben confezionate e che hanno quindi interferito con la salute gengivale causando recessioni oppure sono recessioni causate dallo spostamento dentale stesso oppure non è stata curata una Gengivite o una Parodontite anche iniziale o Recessioni Gengivali iniziali che sono poi "peggiorate" per la Terapia ortodontica! Data l'età adulta sicuramente è stato realizzato uno spostamento non "corporale" ma rotatorio degli incisivi che non porta a risultati positivi, non solo ma le è anche "andata bene" perché lo spostamento non corporale porta spessissimo a pericolose deiscenze ossee con gravissime recessioni spesso affrontabili terapeuticamente sia funzionalmente che esteticamente in modo molto complesso e con plurinterventi per evitare la formazione di gravi inestetismi, visti troppo spesso, da me Parodontologo, in questo tipo di terapie, per non metterle in rilievo ed in ogni caso da decidere solo dopo un esame cefalometrico completo , a tavolino e tanto altri accertamenti ortodontici. Quindi che posso dire se non che la diagnosi Ortodontica è cosa seria e dipende da una infinità di problemi da valutare con accurato check up ortodontico e cefalometria che misura delle semirette che individuano dei piani e degli angoli in base a cui si fa una diagnosi e si prospetta una terapia ortodontica e che è compreso in più visite, rilievi di dati e soprattutto uno studio a "tavolino" dei problemi da correggere; è come una progettazione matematica di una espressione, di un problema che la cui soluzione è in una sequenza di espressioni , numeri e dati e, chiedere quello che chiede lei per l'ortodonzia, sarebbe come chiedere ad un matematico il risultato di un problema senza fargli fare tutti i "passaggi" che lo possano portare alla soluzione richiesta. Vede, siamo entrati in concetti complessi!
4- In ogni caso non tutte le Recessioni vanno curate. Legga nel mio Profilo "RECESSIONI GENGIVALI"! Il Parodontologo serve per questo ma è stata fatta una Visita Parodontale, non dico uguale ma simile, con doppio sondaggio gengivale in sei punti di ogni dente di tutti i denti? Ed è stata fatta prima una Diagnosi sulla Classe di appartenenza delle Recessioni Gengivali? Se non fosse stata fatta il Parodontologo non sarebbe un Parodontologo ma un Dentista Generico che fa anche Parodontologia, cosa ben diversa! Mi dispiace dire queste cose che la prego di recepire nel modo giusto e con la dovuta cautela perché io mi baso solo su quanto dice Lei e su una foto postata on line! Bisogna fare una visita mucogengivale per le Recessioni stabilendo soprattutto la quantità e qualità di Gengiva Aderente Presente e la Profondità del Fornice, in tutta la bocca. In parole semplici, intorno al dente, ci deve essere la Gengiva Rosa che circonda i denti e che aderisce all'osso sottostante e non la mucosa Alveolare che è quella violacea, elastica, che forma il fornice e si riflette sulle labbra e le Guance. La cosa più importante è stabilire se ci sia o no insufficienza di Gengiva Aderente. La linea di giunzione mucogengivale, che separa la gengiva aderente dalla mucosa alveolare, non deve essere, praticamente, stata raggiunta dalla recessione. Se così fosse, invece, la salute del parodonto che sostiene il dente sarebbe compromessa perché la Mucosa Alveolare non è adatta a fungere da Gengiva Marginale e dare l'attacco epiteliale al dente e resistere ai traumi del bolo alimentare. In una recessione, quindi il primo e più importante "scopo" è quello di ricreare intorno al dente, una banda sufficiente di Gengiva Aderente. I problemi Estetici vengono "dopo" anche se importanti. Esistono interventi per raggiungere sicuramente il primo traguardo ed esistono altri interventi per raggiungere anche il secondo. Basta fare una corretta Diagnosi ed una Corretta Terapia. Le spiego qualcosa sulle Recessioni Gengivali. Questo lo si può decidere solo clinicamente con adeguata visita parodontale. Diciamo che ogni Recessione ed ogni zona della bocca necessitano di interventi adatti e mirati! Questa è serietà! Non si vende il "fumo", si vende "l'arrosto"! :) Infatti la morfologia delle recessioni è varia: possono assumere l'aspetto di fessure verticali che attraversano la banda di gengiva aderente (fessure di Stilman), oppure di perdita parziale o totale della gengiva aderente che ricopre la radice. La classificazione più comune è quella di MILLER, che prende in considerazione l'aspetto clinico e lo stato osseo interprossimale, in particolare delle piramidi ossee sottopapillari: prima classe ; recessioni che non si estendono fino alla giunzione mucogengivale e nelle quali non vi è perdita di osso e di tessuti molli interprossimali. seconda classe ; recessioni che raggiungono o superano la giunzione mucogengivale, non vi è perdita di osso e di tessuti molli interprossimali terza classe ; recessioni che superano o raggiungono la giunzione mucogengivale con perdita di osso o tessuto molle apicalmente alla giunzione amelocementizia, ma coronale all'estremità apicale della recessione. quarta classe ; recessioni che superano la giunzione mucogengivale con perdita ossea interprossimale fino ad un livello apicale rispetto alla base della recessione. La scelta del trattamento Ogni recessione ha il suo intervento d'elezione: i parametri più importanti da valutare, a tale proposito, sono l'integrità dell'osso alveolare e la qualità del tessuto aderente. E' ovvio che se non esiste deiscenza alveolare, la condizione è senz'altro più stabile che non se esista invece la deiscenza. Non tutte le recessioni vanno quindi curate :)
Si faccia visitare da un Parodontologo Gnatologo. Cari saluti
1- Mi si dovrebbe spiegare come si possa mai fare una previsione simile! In ogni caso ...io ho 68 anni e ho tutti denti in bocca e due soli otturati! Quindi parlare di 60 anni, per di più oggi, è anacronistico! Conosco tanti pazienti di oltre 80-90 anni che hanno quasi tutti i denti in bocca e quei pochi mancanti, riabilitati protesicamente su denti naturali o implantologicamente, ovviamente miei pazienti, curati e tenuti sotto controllo! Ancora ovviamente, sono pazienti sotto controllo Parodontale e Gnatologico, oltre che conservativo, costante o che hanno subito chirurgia Parodontale ossea GBR (Guided Bone Regeneration = Rigenerazione ossea guidata) e GTR (Guided Tissue Regeneration = Rigenerazione tissutale guidata), che impedendo la proliferazione cellulare di elementi
indesiderati e stimolando quelli desiderati, portano ad una rigenerazione parodontale profonda e terapia di mantenimento con Igiene Orale Professionale e Curettage e Scaling e Root Planing periodiciper tutta la Vita!
2- Guardi che fare diagnosi di Parodontite è semplicissimo per un Dentista e meglio se Parodontologo! Occorrono due visite cliniche strumentali, semeiologiche e anamnestiche, intervallate da una preparazione iniziale con curettage e scaling e serie completa di Rx endorali, modelli di studio e tanto altro. Visite con sondaggio parodontale in sei punti di ogni dente di tutti i denti e tanto altro e seconda visita di rivalutazione con risondaggio delle tasche che ora indicheranno la reale profondità delle stesse perché è stato escisso il tessuto di granulazione presente! Solo così si arriva ad una Diagnosi e ad una pianificazione terapeutica. Con le Rx endorali e le prove termiche e la Visita Clinica si valuta anche la presenza di carie, necrosi endodontiche, osteolisi periapicali, stomatiti etc. !!! E' stato fatto questo? Penso proprio di no! Non faccia fare terapia Ortodontica prima della Visita, Diagnosi e pianificazione terapeutica parodontale! Le tasche parodontali, tra l'altro, possono, anche se molto raramente, essere causa di infarto del miocardio (in particolare nel sesso femminile è stata dimostrata una relazione inconfutabile tra presenza di tasche parodontali e infarto del miocardio con incidenza maggiore che nel sesso maschile) e di malattie focali a distanza di organi importanti che hanno il loro Fucus di partenza "in cavità dell'organismo comunicanti con l'esterno", in questo caso le tasche parodontali in una Parodontite DNDD ma, qualsiasi infezione di qualsiasi cavità comunicante con l'esterno, del corpo umano, può essere in causa! Le Spiego:La Parodontite è una infiammazione dovuta alla interazione delle tossine batteriche con il sistema immunitario, locale legato ai linfociti T e Sistemico più in senso lato!
3- Probabilmente Lei confonde, data la giovane età, una Parodontite con le Recessioni Gengivali che non hanno niente a che fare l'una con l'altra ma possono coesistere aggravandosi vicendevolmente! Ovvio, è stata fatta una terapia ortodontica, mi auguro solo dopo Cefalometria e Check up Ortodontico completo, con mascherine trasparenti, evidentemente non ben confezionate e che hanno quindi interferito con la salute gengivale causando recessioni oppure sono recessioni causate dallo spostamento dentale stesso oppure non è stata curata una Gengivite o una Parodontite anche iniziale o Recessioni Gengivali iniziali che sono poi "peggiorate" per la Terapia ortodontica! Data l'età adulta sicuramente è stato realizzato uno spostamento non "corporale" ma rotatorio degli incisivi che non porta a risultati positivi, non solo ma le è anche "andata bene" perché lo spostamento non corporale porta spessissimo a pericolose deiscenze ossee con gravissime recessioni spesso affrontabili terapeuticamente sia funzionalmente che esteticamente in modo molto complesso e con plurinterventi per evitare la formazione di gravi inestetismi, visti troppo spesso, da me Parodontologo, in questo tipo di terapie, per non metterle in rilievo ed in ogni caso da decidere solo dopo un esame cefalometrico completo , a tavolino e tanto altri accertamenti ortodontici. Quindi che posso dire se non che la diagnosi Ortodontica è cosa seria e dipende da una infinità di problemi da valutare con accurato check up ortodontico e cefalometria che misura delle semirette che individuano dei piani e degli angoli in base a cui si fa una diagnosi e si prospetta una terapia ortodontica e che è compreso in più visite, rilievi di dati e soprattutto uno studio a "tavolino" dei problemi da correggere; è come una progettazione matematica di una espressione, di un problema che la cui soluzione è in una sequenza di espressioni , numeri e dati e, chiedere quello che chiede lei per l'ortodonzia, sarebbe come chiedere ad un matematico il risultato di un problema senza fargli fare tutti i "passaggi" che lo possano portare alla soluzione richiesta. Vede, siamo entrati in concetti complessi!
4- In ogni caso non tutte le Recessioni vanno curate. Legga nel mio Profilo "RECESSIONI GENGIVALI"! Il Parodontologo serve per questo ma è stata fatta una Visita Parodontale, non dico uguale ma simile, con doppio sondaggio gengivale in sei punti di ogni dente di tutti i denti? Ed è stata fatta prima una Diagnosi sulla Classe di appartenenza delle Recessioni Gengivali? Se non fosse stata fatta il Parodontologo non sarebbe un Parodontologo ma un Dentista Generico che fa anche Parodontologia, cosa ben diversa! Mi dispiace dire queste cose che la prego di recepire nel modo giusto e con la dovuta cautela perché io mi baso solo su quanto dice Lei e su una foto postata on line! Bisogna fare una visita mucogengivale per le Recessioni stabilendo soprattutto la quantità e qualità di Gengiva Aderente Presente e la Profondità del Fornice, in tutta la bocca. In parole semplici, intorno al dente, ci deve essere la Gengiva Rosa che circonda i denti e che aderisce all'osso sottostante e non la mucosa Alveolare che è quella violacea, elastica, che forma il fornice e si riflette sulle labbra e le Guance. La cosa più importante è stabilire se ci sia o no insufficienza di Gengiva Aderente. La linea di giunzione mucogengivale, che separa la gengiva aderente dalla mucosa alveolare, non deve essere, praticamente, stata raggiunta dalla recessione. Se così fosse, invece, la salute del parodonto che sostiene il dente sarebbe compromessa perché la Mucosa Alveolare non è adatta a fungere da Gengiva Marginale e dare l'attacco epiteliale al dente e resistere ai traumi del bolo alimentare. In una recessione, quindi il primo e più importante "scopo" è quello di ricreare intorno al dente, una banda sufficiente di Gengiva Aderente. I problemi Estetici vengono "dopo" anche se importanti. Esistono interventi per raggiungere sicuramente il primo traguardo ed esistono altri interventi per raggiungere anche il secondo. Basta fare una corretta Diagnosi ed una Corretta Terapia. Le spiego qualcosa sulle Recessioni Gengivali. Questo lo si può decidere solo clinicamente con adeguata visita parodontale. Diciamo che ogni Recessione ed ogni zona della bocca necessitano di interventi adatti e mirati! Questa è serietà! Non si vende il "fumo", si vende "l'arrosto"! :) Infatti la morfologia delle recessioni è varia: possono assumere l'aspetto di fessure verticali che attraversano la banda di gengiva aderente (fessure di Stilman), oppure di perdita parziale o totale della gengiva aderente che ricopre la radice. La classificazione più comune è quella di MILLER, che prende in considerazione l'aspetto clinico e lo stato osseo interprossimale, in particolare delle piramidi ossee sottopapillari: prima classe ; recessioni che non si estendono fino alla giunzione mucogengivale e nelle quali non vi è perdita di osso e di tessuti molli interprossimali. seconda classe ; recessioni che raggiungono o superano la giunzione mucogengivale, non vi è perdita di osso e di tessuti molli interprossimali terza classe ; recessioni che superano o raggiungono la giunzione mucogengivale con perdita di osso o tessuto molle apicalmente alla giunzione amelocementizia, ma coronale all'estremità apicale della recessione. quarta classe ; recessioni che superano la giunzione mucogengivale con perdita ossea interprossimale fino ad un livello apicale rispetto alla base della recessione. La scelta del trattamento Ogni recessione ha il suo intervento d'elezione: i parametri più importanti da valutare, a tale proposito, sono l'integrità dell'osso alveolare e la qualità del tessuto aderente. E' ovvio che se non esiste deiscenza alveolare, la condizione è senz'altro più stabile che non se esista invece la deiscenza. Non tutte le recessioni vanno quindi curate :)
Si faccia visitare da un Parodontologo Gnatologo. Cari saluti
CONTINUA A LEGGERE
Pubblicato il 11-06-2018
Dalle foto orali, si evince una situazione per nulla preoccupante. Prima di pensare all'ortodonzia che comunque introduce nel cavo orale dispositivi che tendono a peggiorare l'igiene orale, risolverei in maniera forte" il problema "controllo di placca". Non mi sembra che le recessioni siano gravi.
Pubblicato il 11-06-2018
Sig. Luca tutti gli Odontoiatri sono dei guru della parodontologia, perché l'hanno studiata, infatti lei ora è in buone mani.................................. .. ..
Pubblicato il 11-06-2018
La parodontite spesso è subdola. Bisogna fare una diagnosi seria prima di trarre delle conclusioni. Mettere un apparecchio ortodontico senza sapere se c'è una parodontite è un grave errore; se ci fosse, i movimenti ortodontici potrebbero aggravarla e far precipitare la situazione.
Pubblicato il 12-06-2018
Gentile Sig. Luca, le recessioni sono una cosa, la periodontite un'altra. Una diagnosi non si fa mai da una fotografia. E' un atto medico complesso che può richiedere più sedute. Cordiali saluti








Dentista Lombardia, Milano
Vedi la scheda
Dentista Sardegna, Cagliari
Vedi la scheda
Dentista Lombardia, Milano
Vedi la scheda
Dentista Friuli Venezia Giulia, Trieste
Vedi la scheda
Dentista Lazio, Roma
Vedi la scheda