Si presenta nel mio studio una giovane donna di 32 anni con una carie destruente che arrivava quasi alla camera pulpare del primo premolare inferiore destro. Alla paziente, dopo la visita iniziale e la preparazione iniziale, propongo di lasciare il dente vitale, cioè di non devitalizzarlo e di ricostruirlo con un intarsio in composito che risulta essere meno invasivo per i tessuti duri del dente (occorre eliminare poco dente) e ne preserva la naturalezza. Per questo vengono programmate due sedute.
Nella prima seduta rimuovo la carie in modo accurato e quindi eseguo il build-up, cioè viene ricostruisco il dente in modo da sigillare la dentina evitando infiltrazioni che porterebbero a quelle antipatiche dolenzie alla pressione o sensibilità alle escursioni termiche che spesso lamentano i pazienti dopo cure con paste chiare o intarsi mal eseguiti. La tecnica del build-up ha anche il compito di fornire poi al tecnico un’impronta con spessori noti e di garanzia per prevenire fratture dell’intarsio stesso o problemi (per spessori eccessivi) di cementazione per mancata polimerizzazione del cemento. Tutto rigorosamente sotto diga di gomma per isolare il campo. Quindi, rimossa la diga, prendo l’impronta di lavoro con una tecnica monoimpronta. Infine sigillo con del cemento provvisorio (fermit) la zona da ripristinare.
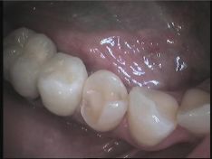
In seconda seduta, quando è ritornato confezionato dal laboratorio l’intarsio, isolo il dente con la diga di gomma e dopo aver adeguatamente condizionato la superficie del dente e dell’intarsio (sabbiatura, silanizzazione, ac. ortofosforico, ecc.) procedo alla cementazione. Il risultato è altamente estetico e, dato il tipo di procedura particolarmente accurata, è molto difficile che si presentino dolori alla pressione o alle escursioni termiche. Questa certezza mi permette di dire alla paziente che, a fronte di un’igiene dentale accettabile, il mio lavoro deve avere una vita di almeno 10 anni e che sotto tale periodo ogni problema relativo all’intarsio deve essere considerato a carico dello studio.










Dentista Calabria, Catanzaro
Vedi la scheda
Dentista Campania, Avellino
Vedi la scheda
Dentista Calabria, Vibo Valentia
Vedi la scheda
Dentista Toscana, Massa Carrara
Vedi la scheda
Dentista Emilia Romagna, Rimini
Vedi la scheda