Quando un dente e’ stato molto danneggiato da un processo carioso, al punto che e’ complicato procedere alla sua ricostruzione con metodi tradizionali, esiste la possibilita' di procedere alla ricostruzione con metodi indiretti, come l'intarsio.
Intarsio - Ricostruzione estetica
Caso clinico - Intarsio
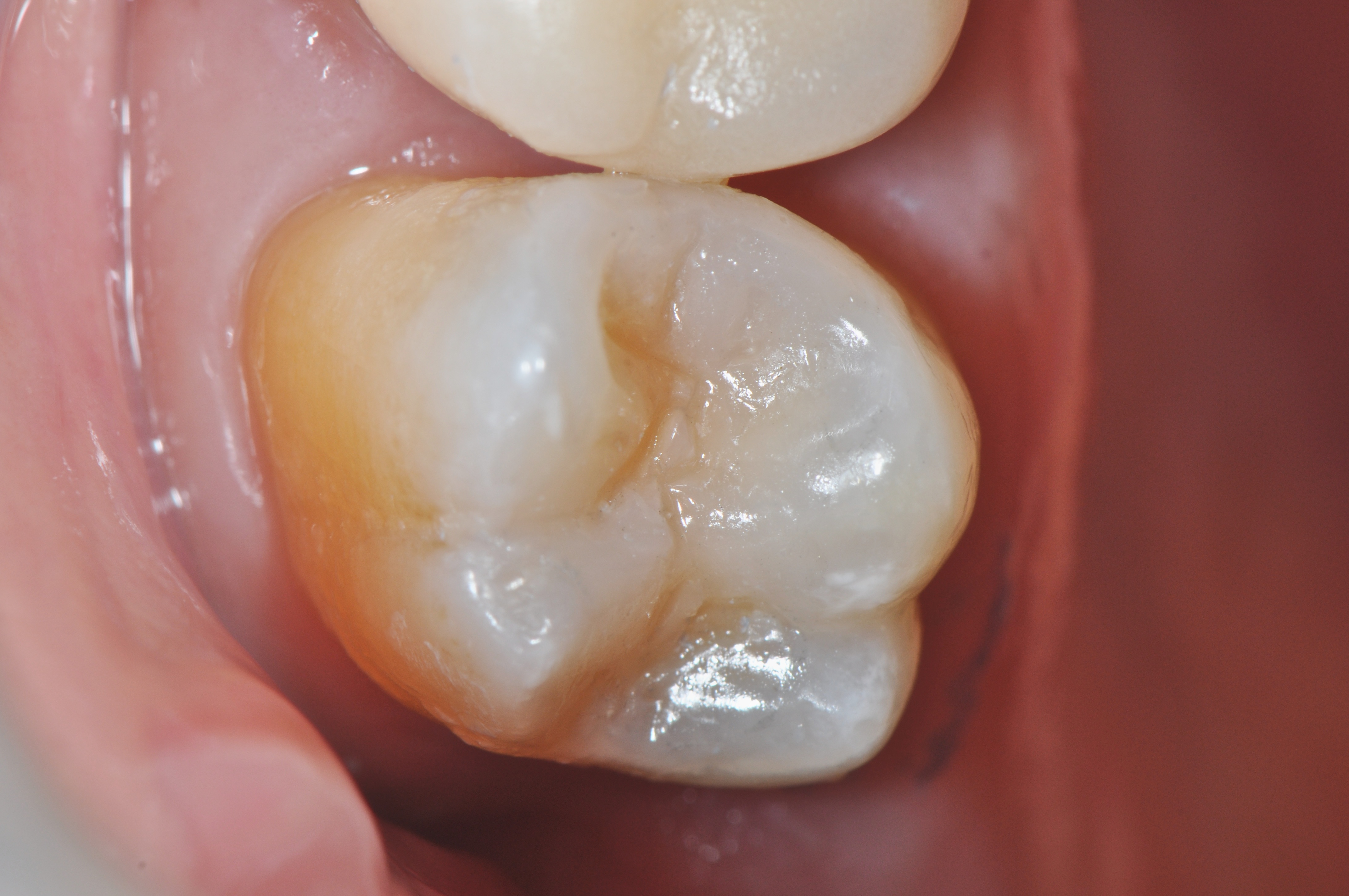
L’elemento (secondo molare superiore di destra) presentava un vecchio restauro incongruo - si è proceduto alla sua eliminazione e alla preparazione di una cavità che potesse alloggiare un intarsio in composito realizzato dopo lil rilevamento di un’impronta orale.
Successivamente l’intarsio in composito viene alloggiato nella cavità e cementato mediante cemento composito, vengono eliminati gli eccessi di questo, polimerizzato il composito (indurito) e lucidato il tutto con gommini e paste apposite.
Si noti l’ottima integrazione del manufatto protesico e l’assenza di debordanze che potrebbero, nel tempo, favorire la carie.
TAG: ricostruzione estetica con intarsio






Dentista Lombardia, Milano
Vedi la scheda
Dentista Marche, Ancona
Vedi la scheda
Dentista Lombardia, Monza e Brianza
Vedi la scheda
Dentista Emilia Romagna, Modena
Vedi la scheda
Dentista Piemonte, Alessandria
Vedi la scheda