Caso di un paziente che doveva eseguire una corona su un laterale superiore. Avendo poco tempo a disposizione gli abbiamo proposta la tecnica chair side, una sola seduta.
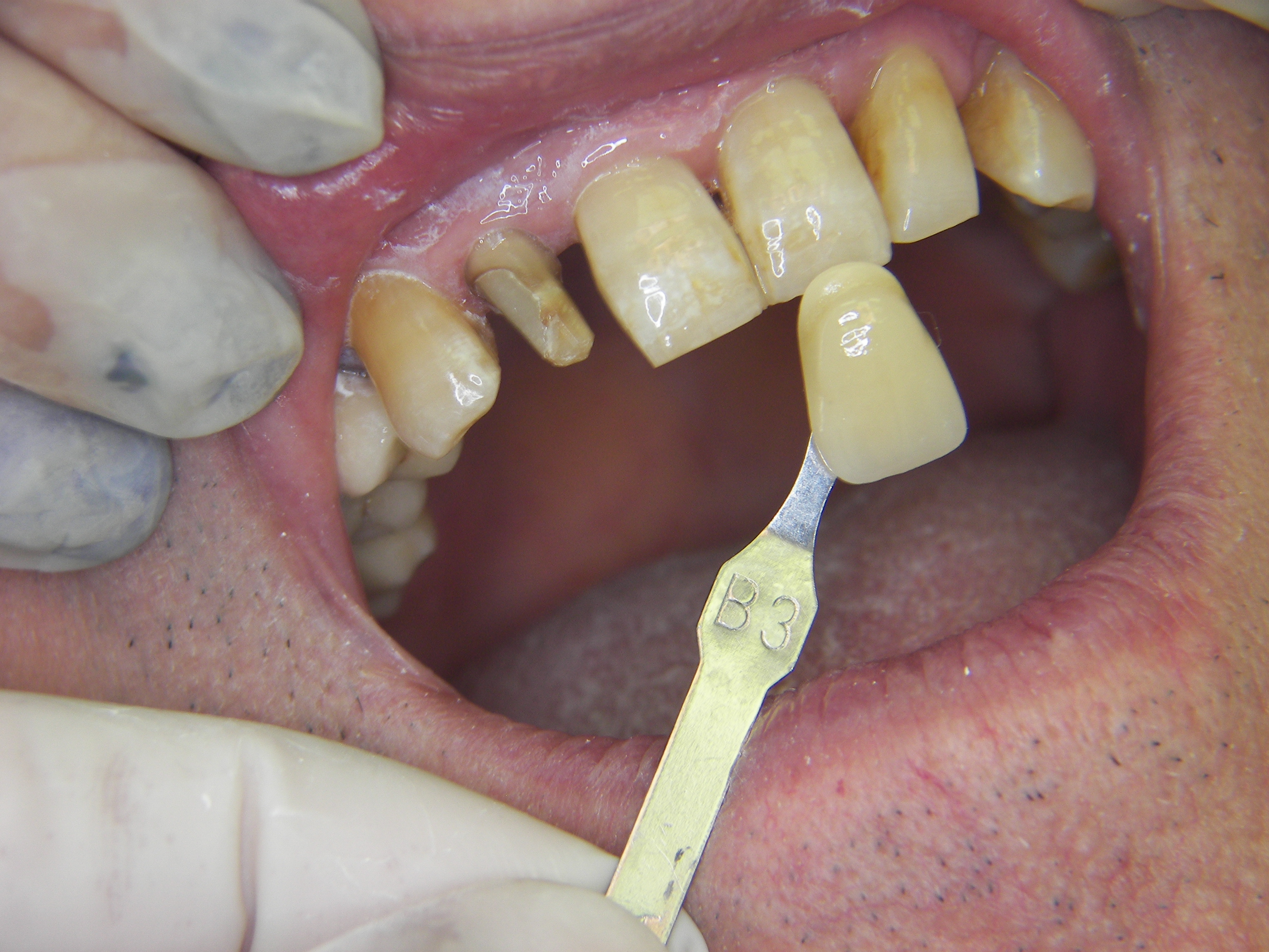
Il paziente è venuto alle ore 10.00, con il dente che andava protesizzato; quindi abbiamo preparato il dente, eseguita la scansione intraorale (che sostituisce la presa d'impronta tradizionale), provata la corona in ceramica integrale e personalizzata con caratterizzazioni.
Alle ore 11,30 il paziente ha concluso definitivamente la terapia con cementazione adesiva definitiva con un risultato estetico eccellente.
Il paziente è venuto alle ore 10.00, con il dente che andava protesizzato; quindi abbiamo preparato il dente, eseguita la scansione intraorale (che sostituisce la presa d'impronta tradizionale), provata la corona in ceramica integrale e personalizzata con caratterizzazioni.
Alle ore 11,30 il paziente ha concluso definitivamente la terapia con cementazione adesiva definitiva con un risultato estetico eccellente.






Dentista Piemonte, Torino
Vedi la scheda
Dentista Liguria, La Spezia
Vedi la scheda
Dentista Sicilia, Palermo
Vedi la scheda
Dentista Lombardia, Como
Vedi la scheda
Dentista Lombardia, Bergamo
Vedi la scheda