Il myxoma della guaina nervosa o Neurotecheoma della mucosa orale è una massa connettivale benigna a crescita lenta, a volte asintomatica, sovente localizzata all’interno dell’endonevrio di un nervo periferico; è una patologia rara che può colpire entrambi i sessi in qualsiasi età.
Si presenta alla nostra osservazione un uomo di 69 anni che presenta clinicamente lesione nodulare sessile al terzo anteriore della lingua di dimensioni di 1.0 x 0,8 cm., non dolente che presenta superficie liscia e leggermente biancastra, (FOTO 1). Il paziente riferisce che la lesione è presente da 8 mesi e l’assenza di un trauma antecedente..
Nell’anamnesi il paziente dichiara di essere iperteso, compensato da trattamento farmacologico, di non fumare e di non assumere alcolici, e di godere attualmente di buona salute.
Viste le dimensioni della lesione, si sottopone il paziente a biopsia escissionale della stessa dopo mappatura fotografica, utilizzando un laser a Diodo (FOTO 2, 3) e si invia il prelievo al reparto di anatomia patologica per esame istopatologico.
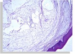
I risultati dell’esame mostrano una crescita cellulare multilobulare all’interno del tessuto muscolare della lingua con acantosi dell’epitelio squamoso. Il chorion è composto da stroma mixoide contenente elementi stromali. Un supplemento d’indagine immunoistochimica ha rilevato che l’immunofenotipo delle cellule tumorali era positivo per le proteine S-100 e vimentina suggerendo l’origine della lesione dalle cellule di Schwann. La lesione era negativa per CD34 e per gli anticorpi diretti contro gli antigeni della membrana epiteliale (EMA). La colorazione immunoistochimica della proteina Ki-67 era di circa il 2-3% del campione. La lesione è stata diagnosticata come un classico neurotecheoma della lingua. (FOTO 4)
In letteratura riscontriamo che il myxoma della guaina nervosa è una neoplasia benigna del sistema nervoso periferico normalmente riscontrabile nel derma e nei tessuti sottocutanei a livello di testa, collo e arti. Nel 1969 Harkin e Reed hanno denominato la patologia come myxoma della guaina nervosa; successivamente nel 1980 Gallager e Helwing hanno descritto il nodulo come neurotecheoma. La classificazione attuale di myxoma della guaina nervosa (classico, cellulare e di tipo misto) si basa sulla quantità di stroma mixoide presente. Siamo a conoscenza di soli 26 casi di myxoma della mucosa orale descritti nella letteratura anglosassone. A causa del profilo immunoistochimico delle tre varianti di myxoma, l’origine dalla guaina nervosa della patologia è a tutt’oggi oggetto di discussione e alcuni autori non concordano con l’attuale classificazione. Il tipo classico mostra una frequente presenza di cellule di Schwann nei tessuti immunoreattivi alla proteina S-100. Tuttavia, l’immunoprofilo di alcuni casi riportati ha evidenziato la presenza dell’antigene positivo alla proteina S-100 nelle varianti miste di myxoma. Nishioka e coll. hanno osservato la differenziazione della guaina nervosa dei tipi misto e cellulare in 3 casi di myxoma orale, sostenendo così la teoria che diversi tipi di myxoma potrebbero formare uno spettro morfologico piuttosto che entità patologiche distinte. Conseguentemente le differenti varianti di myxoma potrebbero avere la stessa origine strettamente collegata al tumore della guaina nervosa. Infine, Fetsch e coll. hanno affermato che il neurotecheoma è morfologicamente e istochimicamente distinto dal myxoma, indicando che il neurotecheoma potrebbe derivare dalle cellule fibroblastiche con capacità di differenziazione in miofibroblasti e propensione ad attirare cellule istocitiche.
La diagnosi clinica differenziale di myxoma , che si presenta come un nodulo sulla lingua comprende il fibroma traumatico, la mucinosi papulare, il fibro-papilloma, il tumore a cellule granulose e il lipoma. La mucinosi papulare non è circoscritta, lobulare o cellulare come il myxoma . I mixomi orali sono generalmente negativi alla S-100. I perineuromi sono positivi a EMA mentre gli antigeni della proteina S-100 risultano normalmente negativi. L’escissione chirurgica è la scelta terapeutica normalmente utilizzata per il myxoma. .In conclusione, si evidenzia che nel processo di diagnosi differenziale tra il mixoma della guaina nervosa e gli altri mixomi orali l’impiego dell’immunoistochimica svolge un ruolo fondamentale.
Parole chiave: immunoistochimica, myxoma, neurotecheoma, endonevrio.
Bibliografia:
NEUROTECHEOMA DELLA LINGUA
Bosotti M , Bombeccari GP , Costantino D , Azzi L , Ruffoni D , Mariani U , Gianatti A , Spadari F. Colegio dei docenti in odontoiatria Roma 2013.








Dentista Calabria, Vibo Valentia
Vedi la scheda
Dentista Campania, Napoli
Vedi la scheda
Dentista Puglia, Barletta Andria Trani
Vedi la scheda
Dentista Campania, Napoli
Vedi la scheda
Dentista Lombardia, Brescia
Vedi la scheda