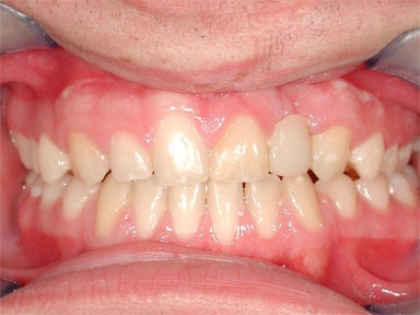
La labiopalatoschisi o labbro leporino e' una patologia congenita dovuta ad un anomalo sviluppo embrionale della cavita' buccale e della cavita' nasale. Durante lo sviluppo embrionale queste due cavita' vengono separate da un setto che diverra' la volta palatina e, contemporaneamente, il pavimento delle cavita' nasali. La mancata chiusura di questo setto porta alla nascita di bambini che presentano una comunicazione tra la bocca ed il naso. Il labbro leporino e' sempre associato. Alla nascita i bambini subiscono un intervento di chiusura della schisi e di correzione del labbro leporino. Quasi sempre pero' questi pazienti presentano delle anomalie dell' eruzione dei denti. In questo giovane paziente (12 anni) si osservano gli esiti dell'intervento di correzione. L'incisivo laterale superiore sinistro e' mancante (agenesia), mentre l'incisivo centrale di sinistra presenta una anomalia della formazione dello smalto. Tutta l' emiarcata superiore di sinistra e' contratta ed in malocclusione. Iniziamo la terapia ortodontica con una espansione dell' emiarcata sinistra, in seguito il canino viene messo nella giusta occlusione, ed un dente in resina va ad occupare la posizione dell'incisivo laterale superiore di sinistra. L'arcata viene rimessa nel corretto rapporto ed anche la funzione masticatoria e la funzione estetica vengono ripristinate. Alla fine della terapia si e' evidenziato radiograficamente un abbozzo dell'incisivo ritenuto agenetico. Sara' forse possibile metterlo in arcata previo scappucciamento ed una nuova terapia ortodontica. Sull'incisivo centrale superiore di sinistra e' indicata una faccetta in ceramica.
Labiopalatoschisi o labbro leporino in giovane adolescente
Si tratta di una patologia congenita da anomalo sviluppo embrionario.
Un incisivo laterale in resina viene posizionato per mantenere lo spazio e per l'estetica del sorriso.
TAG: Labiopalatoschisi o labbro leporino in giovane ad
















Dentista Toscana, Prato
Vedi la scheda
Dentista Lazio, Latina
Vedi la scheda
Dentista Campania, Salerno
Vedi la scheda
Dentista Umbria, Perugia
Vedi la scheda
Dentista Sardegna, Cagliari
Vedi la scheda