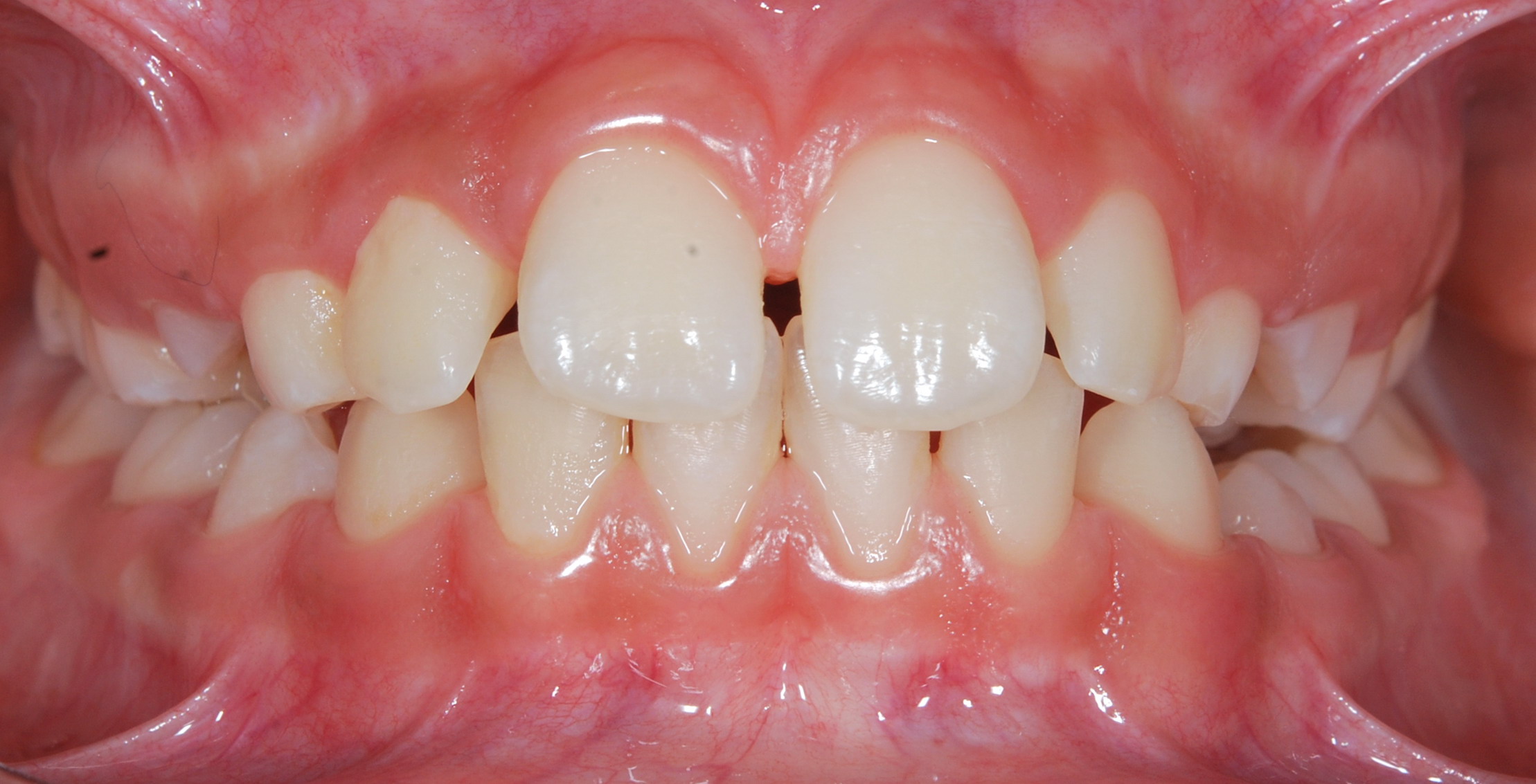
Il piccolo paziente di 9 anni di età presentava deglutizione atipica con spinta linguale anteriore.
Dopo un ciclo di terapia miofunzionale della deglutizione si è ottenuta chiusura degli spazi inferiormente e riduzione degli spazi superiore, correzione del morso crociato e dello sventagliamento, miglioramento dell'igiene orale, dato che il paziente viene frequentemente seguito dall'odontoiatra con istruzione all'igiene orale. Inoltre la saliva viene deglutita in maniera corretta e non viene più riversata all'esterno dei denti accumulando tartaro sulla superficie esterna.
La terapia miofunzionale è indolore e tutti i piccoli pazienti eseguono gli esercizi con piacere, incoraggiati dai miglioramenti che ottengono.
Dopo un ciclo di terapia miofunzionale della deglutizione si è ottenuta chiusura degli spazi inferiormente e riduzione degli spazi superiore, correzione del morso crociato e dello sventagliamento, miglioramento dell'igiene orale, dato che il paziente viene frequentemente seguito dall'odontoiatra con istruzione all'igiene orale. Inoltre la saliva viene deglutita in maniera corretta e non viene più riversata all'esterno dei denti accumulando tartaro sulla superficie esterna.
La terapia miofunzionale è indolore e tutti i piccoli pazienti eseguono gli esercizi con piacere, incoraggiati dai miglioramenti che ottengono.






Dentista Emilia Romagna, Modena
Vedi la scheda
Dentista Lazio, Roma
Vedi la scheda
Dentista Piemonte, Torino
Vedi la scheda
Dentista Puglia, Taranto
Vedi la scheda
Dentista Emilia Romagna, Rimini
Vedi la scheda