Laser dentale
by
Studio Odontoiatrico Associato Dr. M. Iancu P. e Dott.ssa L. Marchione
09-10-2008
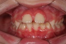
4008 visualizzazioni La paziente di anni 8 presentava una forte proinclinazione della premaxilla, in una II classe scheletrica. Vista l'eta della paziente, troppo piccola per un trattamento ortodontico funzionale, quale unico trattamento intercettivo si e' proceduto ad una frenulectomia (di solito la eseguiamo in concomitanza con la nascita dei canini - 11 anni) al fine di ridurre la forte trazione che il frenulo esercitava sulla premaxilla.
Le foto mostrano i cambiamenti senza terapia ortodontica a distanza di 7 mesi!



Dentista Lazio, Roma
Vedi la scheda
Dentista Lombardia, Monza e Brianza
Vedi la scheda
Dentista Sardegna, Cagliari
Vedi la scheda
Dentista Emilia Romagna, Reggio Emilia
Vedi la scheda
Dentista Piemonte, Alessandria
Vedi la scheda