...una buona rifinitura e lucidatura dei margini dei restauri favorisce la salute parodontale.
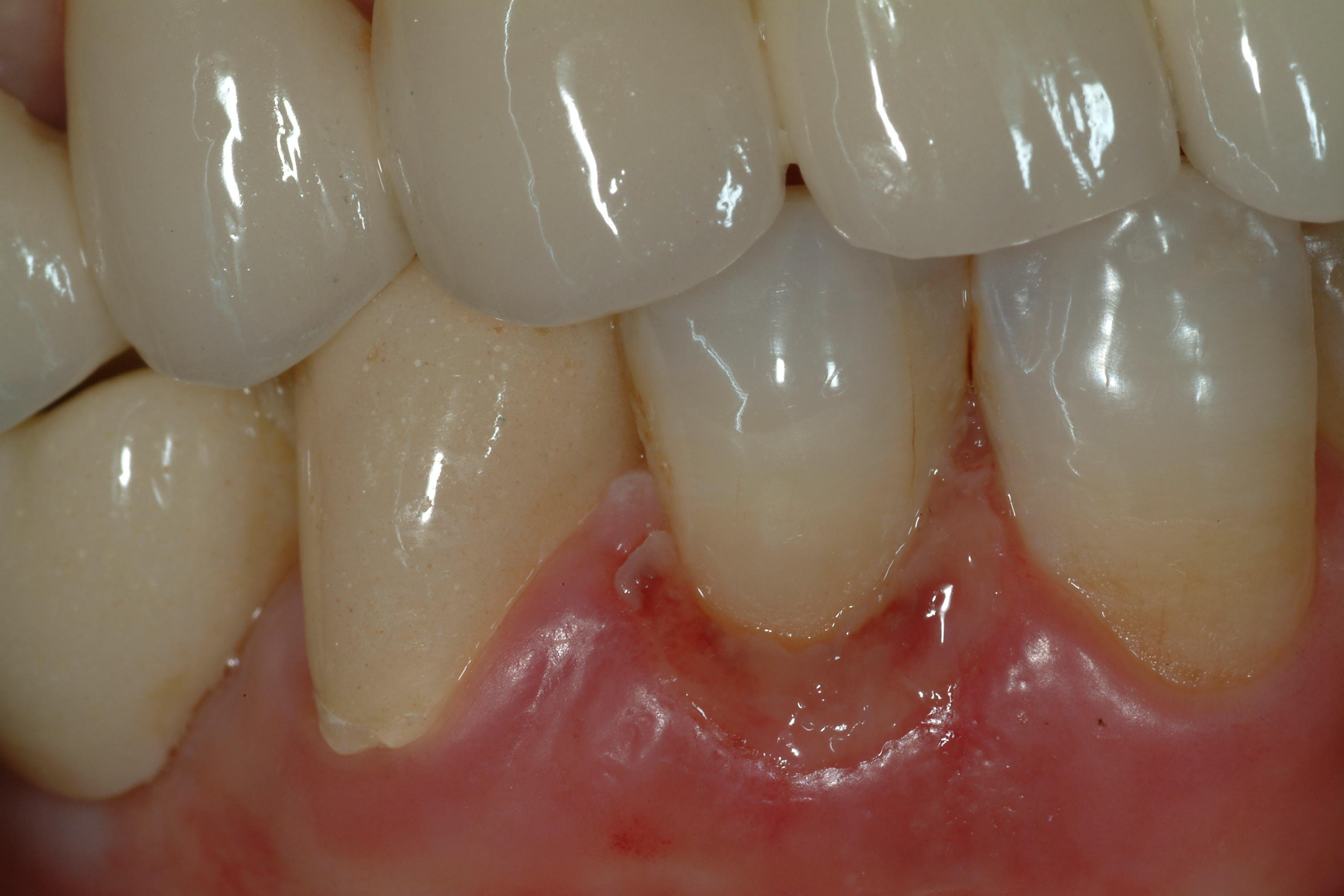
Attraverso il laser è stato rimosso il tessuto parodontale che ricopriva buona parte del coletto e del versante coronale permettendoci di lavorare in completa assenza di sangue.
Dott. Arduini Luca
Dott.ssa Zuccaro Daiana.



Dentista Trentino Alto Adige, Trento
Vedi la scheda
Dentista Lazio, Roma
Vedi la scheda
Dentista Puglia, Bari
Vedi la scheda
Dentista Lombardia, Monza e Brianza
Vedi la scheda
Dentista Piemonte, Alessandria
Vedi la scheda