Elemento protesico in metallo-ceramica su impianto'}">Elemento protesico in metallo-ceramica su impianto
Protesi metallo ceramica - implantoprotesi
Elemento protesico in metallo-ceramica su impianto
La paziente lamentava dolore al contatto dell'incisivo centrale superiore sinistro con il gruppo frontale inferiore. Si apprezzava anche una discreta mobilità dell'elemento dentario in questione.
La radiografia e il sondaggio parodontale deponevano a favore di una frattura della radice del dente, confermata poi dal riscontro clinico successivo alla rimozione del precedente restauro costituito da perno moncone in lega preziosa e capsula in metallo-ceramica. Si noti la mobilità del frammento radicolare sotto la spinta dello strumento.
In questo caso abbiamo deciso di estrarre la radice fratturata che sosteneva il precedente restauro e di sostituirla con un impianto dentale in titanio. Nel periodo di guarigione la paziente ha portato un dispositivo protesico mobile
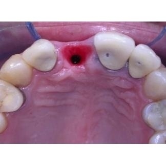
Visione occlusale dell'impianto in posizione sottogengivale.Dopo il periodo di osteointegrazione dell'impianto (circa 3 mesi), è stato posizionato un provvisorio avvitato.
Il restauro in ceramica avvitato sull'impianto. Il riassorbimento osseo conseguente all'estrazione della radice ha determinato il riposizionamento più apicale della parabola gengivale del dente impiantato rispetto a quella degli elementi vicini. In questo caso una procedura di rigenerazione ossea avrebbe potuto evitare tale differenza nell'altezza delle parabole gengivali.
La linea del sorriso bassa non consente di mostrare i margini gengivali del gruppo frontale. Questo particolare ha escluso la procedura di rigenerazione ossea dal nostro piano di tratamento. Tale manovra avrebbe comportato un eccessivo allungamento dei tempi di lavoro. Il risultato estetico può considerarsi quindi accetabile.
TAG: protesi metallo ceramica - implantoprotesi










Dentista Toscana, Pisa
Vedi la scheda
Dentista Emilia Romagna, Reggio Emilia
Vedi la scheda
Dentista Marche, Ascoli Piceno
Vedi la scheda
Dentista Lombardia, Varese
Vedi la scheda
Dentista Puglia, Barletta Andria Trani
Vedi la scheda