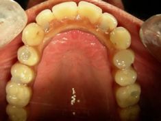
Paziente con problemi parodontali. Sono stati estratti i denti residui in arcata, inseriti gli impianti e, dopo poche ore, inserita la protesi
Paziente con problemi parodontali. Implantologia a carico immediato
Implantologia post estrattiva a carico immediato
TAG: Implantologia a carico immediato












Dentista Piemonte, Torino
Vedi la scheda
Dentista Toscana, Firenze
Vedi la scheda
Dentista Friuli Venezia Giulia, Udine
Vedi la scheda
Dentista Calabria, Catanzaro
Vedi la scheda
Dentista Lazio, Latina
Vedi la scheda