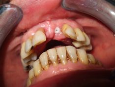
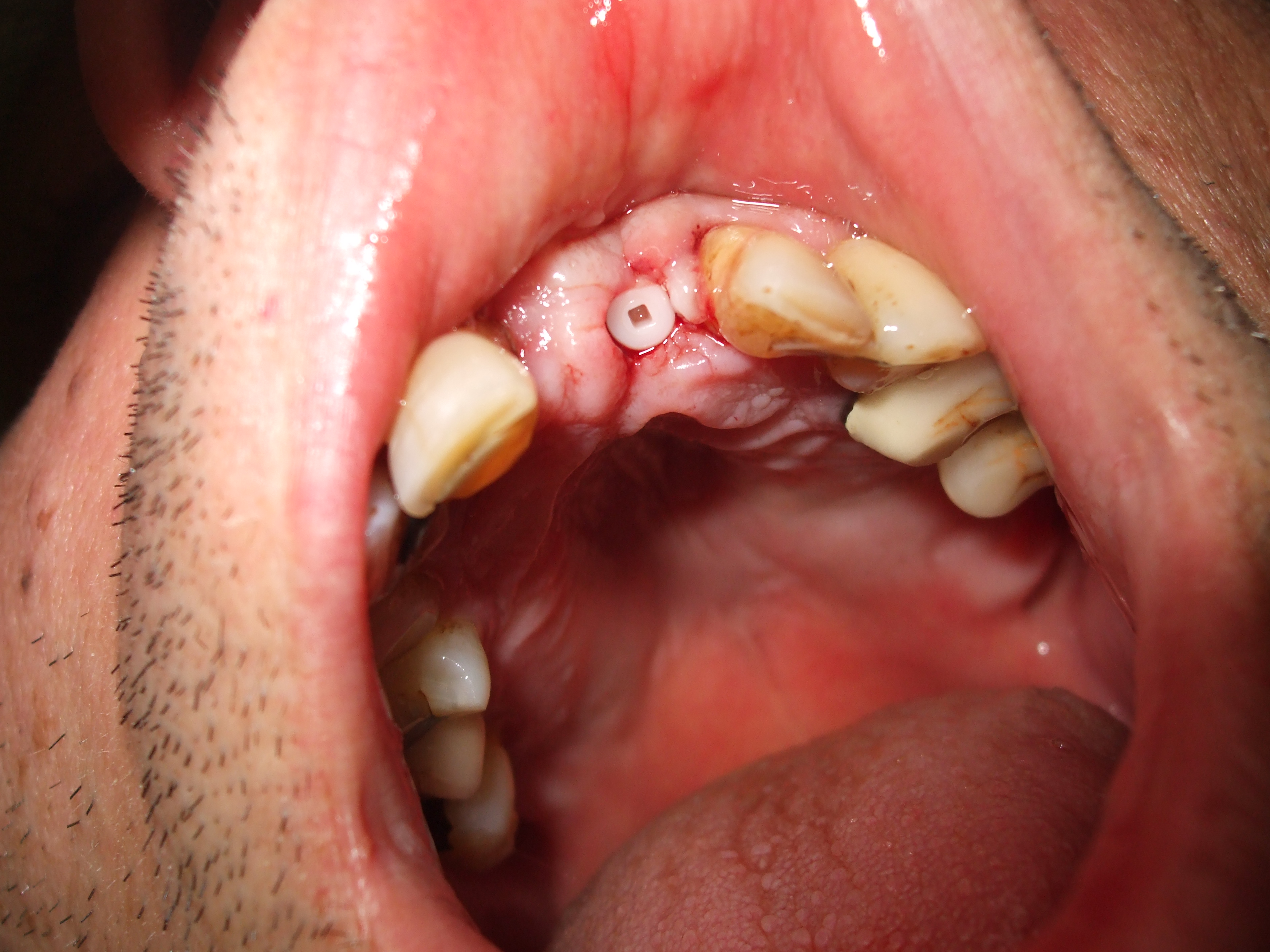
Quelli che presentiamo sono due casi clinici di impianti (uno nella zona posteriore molare ed uno nella zona anteriore incisiva) eseguiti con una tecnica denominata FLAPLESS cioè eseguita senza incisione e apertura della gengiva.
L'impianto in titanio viene inserito nell'osso, dopo accurata anamnesi e pianificazione preventiva, senza utilizzare bisturi. La gengiva infatti non viene incisa e scollata dall'osso insieme al periostio ma viene praticato un piccolissimo forellino sulla gengiva stessa con un piccolo stumento circolare di circa 4 millimetri di diametro detto "mucotomo".
Attraverso questa piccolissima apertura si pratica il foro nell'osso con le normali frese del kit da impianto fino alle dimensioni desiderate. Quindi si inserisce l'impianto sino a fine corsa e lo si protegge con la vite di chiusura che può essere in titanio o in teflon.
I vantaggi di questa tecnica rispetto a quella tradizionale sono molteplici. Prima di tutto i tempi chirurgici che sono sicuramente più rapidi, la guarigione estremamente veloce, l'assenza di edema e gonfiori in quanto la gengiva non viene scollata, assenza di dolore post-operatorio. Il tutto si traduce in un migliore confort del paziente che non subisce alcun trauma nè chirurgico nè psicologico.
E' necessario però che i casi vengano attentamente selezionati prima dell'intervento, scegliendo i pazienti con cresta ossea e gengiva aderente ben rappresentata.
L'impianto in titanio viene inserito nell'osso, dopo accurata anamnesi e pianificazione preventiva, senza utilizzare bisturi. La gengiva infatti non viene incisa e scollata dall'osso insieme al periostio ma viene praticato un piccolissimo forellino sulla gengiva stessa con un piccolo stumento circolare di circa 4 millimetri di diametro detto "mucotomo".
Attraverso questa piccolissima apertura si pratica il foro nell'osso con le normali frese del kit da impianto fino alle dimensioni desiderate. Quindi si inserisce l'impianto sino a fine corsa e lo si protegge con la vite di chiusura che può essere in titanio o in teflon.
I vantaggi di questa tecnica rispetto a quella tradizionale sono molteplici. Prima di tutto i tempi chirurgici che sono sicuramente più rapidi, la guarigione estremamente veloce, l'assenza di edema e gonfiori in quanto la gengiva non viene scollata, assenza di dolore post-operatorio. Il tutto si traduce in un migliore confort del paziente che non subisce alcun trauma nè chirurgico nè psicologico.
E' necessario però che i casi vengano attentamente selezionati prima dell'intervento, scegliendo i pazienti con cresta ossea e gengiva aderente ben rappresentata.








Dentista Abruzzo, Pescara
Vedi la scheda
Dentista Campania, Salerno
Vedi la scheda
Dentista Campania, Caserta
Vedi la scheda
Dentista Sicilia, Palermo
Vedi la scheda
Dentista Toscana, Grosseto
Vedi la scheda