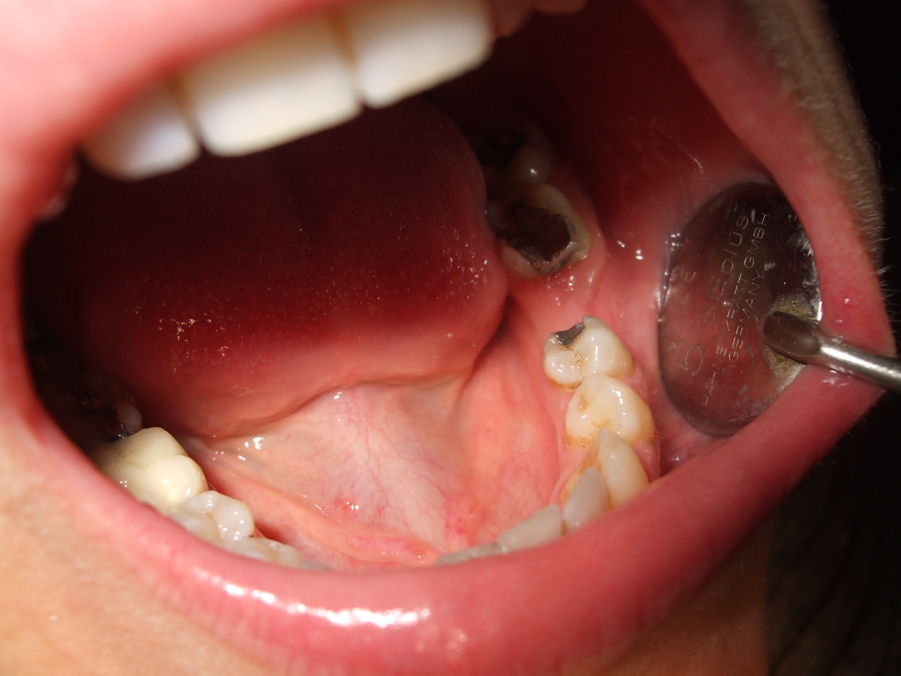
Ragazza di circa trenta anni con perdita del primo molare di destra inferiore(36) per carie destruente. E' stato inserito un impianto di diametro 4mm per 12mm di lunghezza utilizzando poi una vite di chiusura più alta transmucosa per evitare un secondo intervento chirurgico di scopertura dell'impianto su una gengiva già guarita.
Riabilitazione implanto-protesica
Nel caso in questione si descrive un mono impianto con vite di chiusura trans-mucosa senza necessità di secondo intervento chirurgico di scopertura dell'impianto.
TAG: riabilitazione implanto protesica












Dentista Lazio, Roma
Vedi la scheda
Dentista Sardegna, Sassari
Vedi la scheda
Dentista Lombardia, Monza e Brianza
Vedi la scheda
Dentista Piemonte, Torino
Vedi la scheda
Dentista Emilia Romagna, Bologna
Vedi la scheda