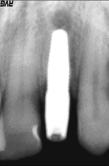
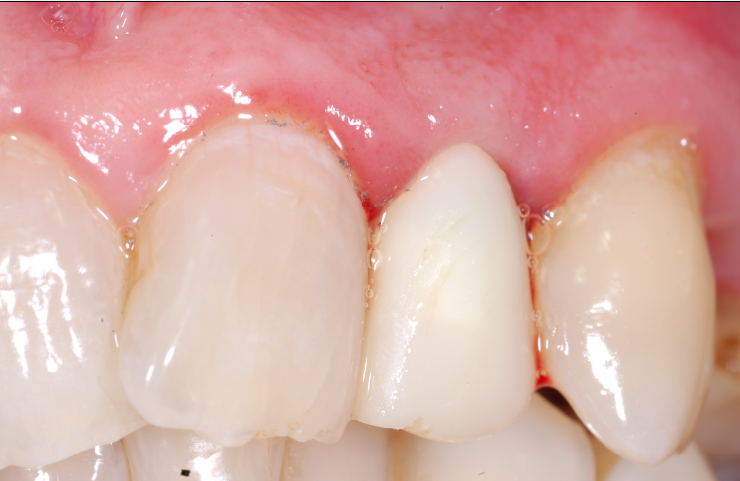
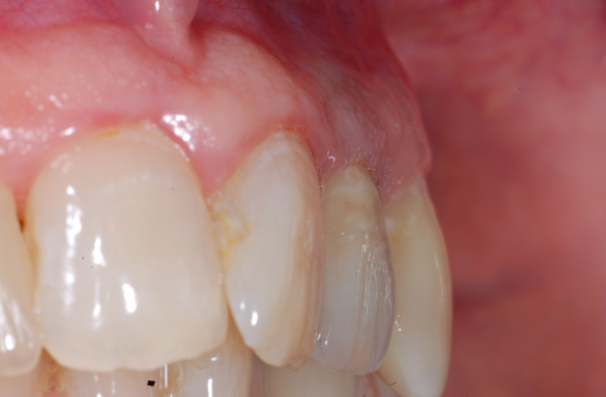
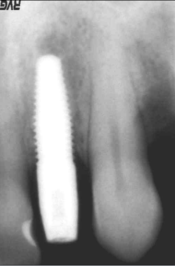
Lo scopo del presente lavoro quello di dimostrare i reali vantaggi che una tecnica delicata, come quella post-estrattiva offre nel riabilitare protesicamente un settore ad alta rilevanza estetica. Il paziente in esame presentava una frattura coronale del 22 devitalizzato, con lesione granulomatosa peri-apicale. Su richiesta del paziente veniva applicata una corona provvisoria e programmato per un impianto post-estrattivo. Le condizioni cliniche del paziente erano buone per cui si procedeva alla pianificazione del caso. Pianificazione che prevedeva, lestrazione del 22 con asportazione del granuloma peri-apicale, disinfezione, cruentazione dellalveolo, ed applicazione di un impianto Nobel-Direct (3.5 x 13 mm). La valutazione intra-operatoria dellaltezza alveolare, della distanza crestale vestibolo-palatale e mesio-distale, facevano propendere per linserimento di un impianto Nobel-Direct della dimensione 4.3 x 13 mm senza fresatura alveolare, ma semplicemente avvitandolo nellalveolo e raggiungendo una forza di serraggio > di 45 N. Preparare il sito implantare per una maggiore profondit avrebbe creato problemi per lasse implantare determinando una eccessiva vestibolarizzazione del moncone. Si procedeva allapplicazione ed alladattamento del provvisorio dopo una piccola correzione del moncone. Nota importante da sottolineare il perfetto adattamento del provvisorio, non solo al pilastro implantare ma anche alla mucosa gengivale, dove soprattutto nellimplantologia post-estrattiva lemergenza dellimpianto non sar mai perfettamente aderente n alla cresta alveolare, quasi sempre a sezione ovalare, n alla mucosa gengivale. Il sigillo mucosale garantisce la formazione ed il mantenimento di quel coagulo ematico che andr a colmare il gap tra osso, impianto e corona, impedendo laccumulo di residui alimentari e di placca, che minerebbero sicuramente questa zona critica. Si comprende pertanto che il provvisorio non deve invadere uno spazio che non gli compete, ma deve occupare sicuramente quello spazio che prima competeva alla corona riproducendo perfettamente gli stessi rapporti con i tessuti limitrofi. Al paziente veniva consigliata una copertura antibiotica (Amoxicillina cpr 1 gr/12 ore x 5 gg,; Efferalgan cpr 1 cpr alloccorrenza; Dentosan collutorio 0,20% - 3-4 sciacqui al die x 10 gg) evitare sovraccarichi masticatori, di poter incidere ma di non strappare i cibi. Il paziente veniva controllato dopo 7 giorni, ad 1 mese ed al terzo mese, periodo questultimo in cui si procedeva ad un controllo rx endorale alla preparazione del pilastro con ribasatura del provvisorio. Dopo circa 7 giorni si rilevavano le impronte di precisione e quindi si finalizzava il lavoro. Possiamo ritenerci soddisfatti del risultato finale, sia clinico, che radiografico ed estetico, considerando le difficolt presentatesi durante lintervento. Tra queste annoveriamo sicuramente lestrazione del residuo radicolare, devitalizzato, con granuloma peri-apicale e lesiguit della corticale vestibolare, che doveva essere assolutamente conservata. Il risultato estetico finale, tessuti molli e corona dentaria, sicuramente soddisfacente, e deriva da una cura minuziosa dei particolari chirurgici e protesici, sempre nel rispetto massimo dei tessuti.
Implantologia post-estrattiva e carico immediato del 22
Il paziente in esame stato sottoposto ad estrazione del residuo radicolare del 22 con asportazione di granuloma peri-apicale ed inserimento contestuale di una fixture monofasica (Nobeldirect) con protesi fissa provvisoria. Il caso stato completato con protesi fissa oro-ceramica dopo tre mesi dall'intervento.
TAG: Implantologia post-estrattiva e carico immediato d















Dentista Sardegna, Cagliari
Vedi la scheda
Dentista Lombardia, Milano
Vedi la scheda
Dentista Toscana, Lucca
Vedi la scheda
Dentista Puglia, Taranto
Vedi la scheda
Dentista Liguria, La Spezia
Vedi la scheda