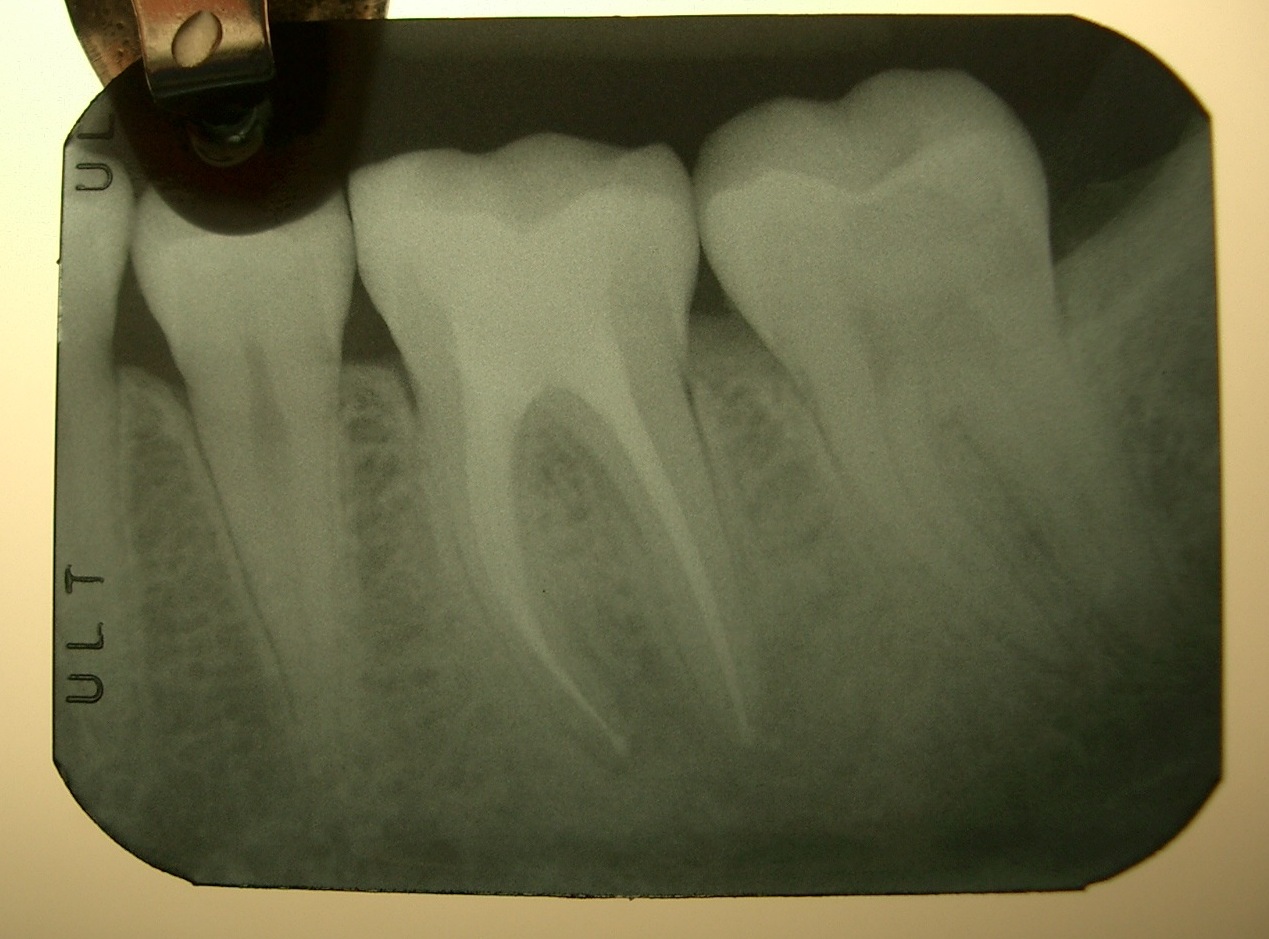
Paziente di 16 anni, con lesione apicale al 36 scoperta durante l'esecuzione di un controllo semestrale. L'elemento presentava un restauro in amalgama non particolarmente esteso, ma era negativo a tutti i test di vitalità.
Le RX mostrano la terapia canalare appena eseguita, e la RX controllo a 3 mesi, per valutare la guarigione della lesione apicale estesa.






Dentista Lombardia, Monza e Brianza
Vedi la scheda
Dentista Lazio, Roma
Vedi la scheda
Dentista Lazio, Roma
Vedi la scheda
Dentista Marche, Ascoli Piceno
Vedi la scheda
Dentista Calabria, Vibo Valentia
Vedi la scheda