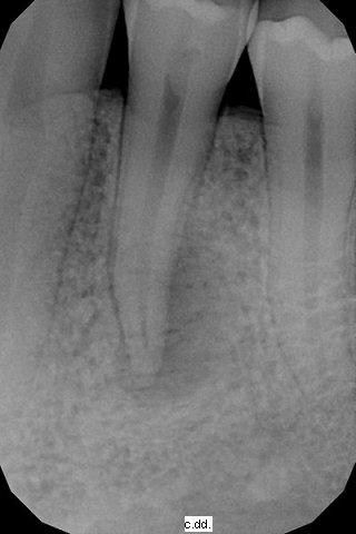
La paziente si presenta per un problema al 34. Presenza di dolore alla masticazione, sensazione di dente allungato, il test pulpare è positivo, dolore alla percussione e alla palpazione, assenza di mobilità dentale. L' rx endorale conferma la presenza di una lesione apicale acuta ipotizzata all'esame clnico. La terapia è endodontica.







Dentista Emilia Romagna, Modena
Vedi la scheda
Dentista Lazio, Roma
Vedi la scheda
Dentista Toscana, Pisa
Vedi la scheda
Dentista Emilia Romagna, Parma
Vedi la scheda
Dentista Emilia Romagna, Reggio Emilia
Vedi la scheda