Il paziente di 17 anni si presenta all'osservazione con un ascesso odontogeno, sostenuto dall'elemento 36 necrotico per carie destruente; all'rx iniziale sono apprezzabili lesioni periapicali su entrambe le radici.
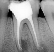
La terapia canalare è stata effettuata in monoseduta; per la sagomatura sono stati utilizzati strumenti ProTaper sino a diametro 25 (strumento F2); a questa è seguita una accurata fase di detersione con ipoclorito, attivato mediante ultrasuoni, e la chiusura con sistema Thermafil. Particolarmente interessante è notare come la scomposizione laterale della forza durante l'inserimento del cono di guttaperca abbia determinato un buon riempimento del delta sulla radice mesiale e un sigillo sulla radice distale, con anatomia di tipo Weine IV.
La terapia canalare è stata effettuata in monoseduta; per la sagomatura sono stati utilizzati strumenti ProTaper sino a diametro 25 (strumento F2); a questa è seguita una accurata fase di detersione con ipoclorito, attivato mediante ultrasuoni, e la chiusura con sistema Thermafil. Particolarmente interessante è notare come la scomposizione laterale della forza durante l'inserimento del cono di guttaperca abbia determinato un buon riempimento del delta sulla radice mesiale e un sigillo sulla radice distale, con anatomia di tipo Weine IV.


-l.g.---3.6-inizio.jpg)
-l.g.---3.6-inizio.jpg)
-l.g.---3.6-fine.jpg)

Dentista Calabria, Reggio Calabria
Vedi la scheda
Dentista Marche, Macerata
Vedi la scheda
Dentista Lombardia, Bergamo
Vedi la scheda
Dentista Emilia Romagna, Modena
Vedi la scheda
Dentista Lazio, Roma
Vedi la scheda