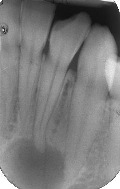
L'esecuzione di una corretta terapia canalare con il rispetto di tutte le sue fasi: preparazione e sagomatura, irrigazione canalare dinamica e una otturazione tridimensionale ed ermetica ha permesso la risoluzione del caso di grossa lesione periapicale di diametro superiore ad 1,2cm a carico dell'incisivo laterale senza effettuare nessun trattamento chirurgico proposto al povero paziente. L'indagine radiologica usata in sequenza nel tempo permette di verificare l''involuzione dello stato infiammatorio dopo la terapia canalare.







Dentista Sardegna, Cagliari
Vedi la scheda
Dentista Veneto, Verona
Vedi la scheda
Dentista Sicilia, Palermo
Vedi la scheda
Dentista Emilia Romagna, Reggio Emilia
Vedi la scheda
Dentista Lombardia, Bergamo
Vedi la scheda