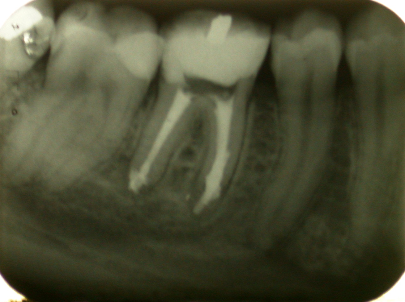
La paziente giunge alla nostra attenzione con un dente già trattato endodonticamente e con un ritrattamento iniziato da altro operatore circa un anno prima e mai terminato. La paziente ha iniziato a lamentare dolore e mostrava il viso tumefatto a causa di un ascesso endodontico a partenza dal molare in oggetto. Il dente è stato ritrattato endodonticamente e chiuso con guttaperca e pulp canal sealer. Tra la prima e la seconda seduta (a distanza di 15 giorni l'una dall'altra) il dente è stato medicato con idrossido di calcio. Il follow up è a 10 anni.
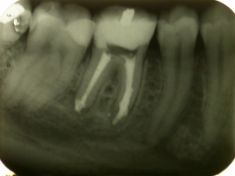
Ritrattamento endodontico di molare inferiore con lesione periapicale, rizolisi apicale e riassorbimento interno.
Il caso mostra un molare inferiore con un quadro complesso di riassorbimento apicale per presenza di lesione infiammatoria apicale cronica. Il dente mostra anche un riassorbimento interno.
Prova dei coni con sorgente radiogena disassata per consentire la visualizzazione di tutti i canali.
TAG: Ritrattamento endodontico di molare inferiore con



Dentista Trentino Alto Adige, Trento
Vedi la scheda
Dentista Emilia Romagna, Modena
Vedi la scheda
Dentista Basilicata, Potenza
Vedi la scheda
Dentista Lombardia, Bergamo
Vedi la scheda
Dentista Emilia Romagna, Reggio Emilia
Vedi la scheda