La paziente giunge all'osservazione con viso tumefatto. All'ispezione intraorale anche la gengiva dei denti del secondo quadrante appariva tumefatta e violacea, di consistenza molle. La diagnosi di ascesso periapicale è stata piuttosto semplice. Il dente all'origine del problema era il secondo premolare sinistro. Radiograficamente il dente mostrava una grande lesione periapicale granulomatoide, una evidente rizolisi apicale ed un'area di riassorbimento interno. Il dente è stato aperto per favorire un drenaggio. Successivamente è stata intrapresa una procedura di apecificazione che ha richiesto circa due anni. Durante questi due anni il dente è stato periodicamente medicato con idrossido di calcio e controllato radiograficamente. In questo intervallo di tempo la lesione periapicale si è pressoché completamente riassorbita. A questo punto il dente è stato chiuso definitivamente con guttaperca e root canal sealer. Con il tempo è stato possibile osservare la scomparsa della lesione periapicale ed un successo endodontico che ad oggi ha compiuto 10 anni.
Ritrattamento endodontico con apecificazione di premolare superiore con granuloma, rizolisi apicale e riassorbimento interno.
Il caso mostra un ritrattamento endodontico fino ad un follow up di 10 anni di un premolare con molteplici problematiche endodontiche.
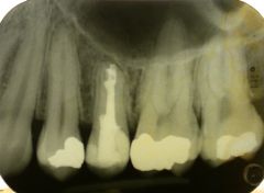
Caso iniziale. Si notino la lesione periapicale, la radice raccorciata per il riabborbimento dell'apice radicolare e l'area di riassorbimento interno nel terzo apicale della radice.
Lesione fortemente riassorbita a distanza di 6 mesi dall'inizio dell'apecificazione. Il canale risulta apparentemente vuoto perché l'idrossido di calcio utilizzato nella terapia era radiotrasparente.
Radiografia a due anni. La lesione è scomparsa e l'apice ha raggiunto un diametro (#45) per il quale si ritiene di poter procedere alla chiusura definitva del canale.
TAG: Ritrattamento endodontico con apecificazione di pr



Dentista Emilia Romagna, Modena
Vedi la scheda
Dentista Sicilia, Catania
Vedi la scheda
Dentista Toscana, Pisa
Vedi la scheda
Dentista Lombardia, Monza e Brianza
Vedi la scheda
Dentista Puglia, Bari
Vedi la scheda