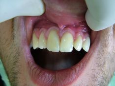
In questo caso un pz di 30 anni necessitava di un intervento multidisciplinare atto a ristabilire estetica e funzione andate perse sia nei settori anteriori che posteriori. La scelta di cominciare dal settore anteriore è stata dettata da esigenze estetiche. Con il seguente lavoro si vuole dimostrare l'efficacia delle ricostruzioni con perno in fibra, come altarnativa economica alla corona in composito o ceramica.






Dentista Marche, Pesaro Urbino
Vedi la scheda
Dentista Puglia, Barletta Andria Trani
Vedi la scheda
Dentista Friuli Venezia Giulia, Udine
Vedi la scheda
Dentista Campania, Napoli
Vedi la scheda
Dentista Sardegna, Cagliari
Vedi la scheda