Paziente donna di anni 53 che sorrideva mettendo la mano davanti alla bocca.
La sua grande aspirazione: quella di aver un bel sorriso.
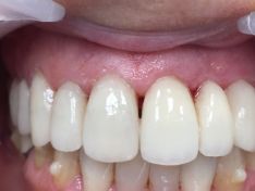
Piano di trattamento
Ortodonzia invisibile inferiore e sbiancamento
Faccette arcata superiore









Dentista Emilia Romagna, Bologna
Vedi la scheda
Dentista Sardegna, Carbonia Iglesias
Vedi la scheda
Dentista Trentino Alto Adige, Trento
Vedi la scheda
Dentista Campania, Napoli
Vedi la scheda
Dentista Sicilia, Palermo
Vedi la scheda