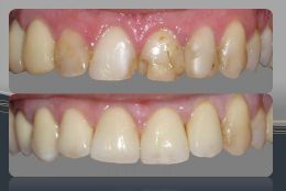
Denti bianchi, splendenti e regolari, sono attraenti e riconosciuti come un segno di vitalità e di benessere del corpo. Inoltre, un sorriso accattivante influenza in modo decisivo la fiducia in se stessi. Chi ha dei denti belli sorride più spesso e più volentieri di chi sa di avere dei denti brutti e preferisce nasconderli. Le faccette sono sottilissimi gusci di ceramica: applicate sulla superficie esterna del dente, ne mascherano imperfezioni legate al colore, alla forma o alla posizione.
Si realizzano rapidamente (24/36 h) e danno dei risultati sorprendenti e soprattutto definitivi.








Dentista Sardegna, Carbonia Iglesias
Vedi la scheda
Dentista Abruzzo, L'Aquila
Vedi la scheda
Dentista Sicilia, Catania
Vedi la scheda
Dentista Toscana, Pistoia
Vedi la scheda
Dentista Umbria, Perugia
Vedi la scheda