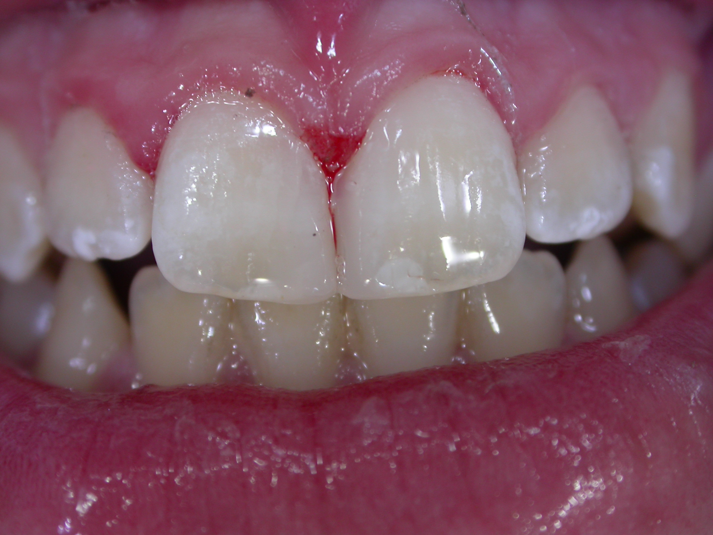
La paziente richiede la chiusura del distema centrale, per lei antiestetico. Nella valutazione dei parametri occlusali ed estetici, si sceglie di chiudere il diastema con una tecnica diretta, senza la più che minima preparazione con strumenti rotanti delle superfici dentali. Il sistema è prettamente adesivo e prevede la precostruzione di una mascherina. Dopo aver sviluppato i modelli di studio, si ricostruiscono in cera gli elementi dentali con chiusura degli spazi. La ceratura viene mostrata alla paziente per le ulteriori valutazioni, si eseguono le foto e si studia il colore. Alla seduta successiva grazie alla mascherina in silicone si procede alla ricostruzione in composito.




Dentista Sicilia, Palermo
Vedi la scheda
Dentista Veneto, Verona
Vedi la scheda
Dentista Puglia, Barletta Andria Trani
Vedi la scheda
Dentista Basilicata, Potenza
Vedi la scheda
Dentista Lombardia, Milano
Vedi la scheda