Menu

INVISALIGN - Correzione affollamento grave

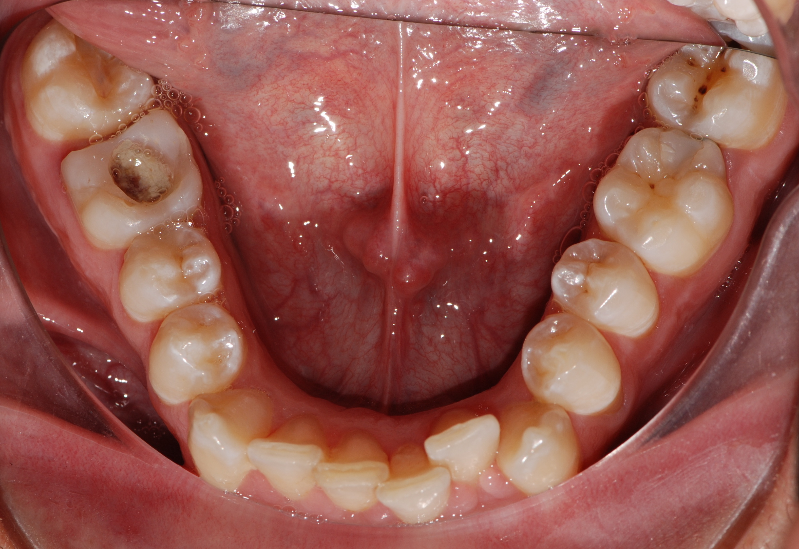
Paziente di 30 anni - Espansione dento-alveolare delle arcate e correzione affollamento grave con Invisalign; 48 mascherine; 2 anni di trattamento.

INVISALIGN - Correzione affollamento grave by Dott.ssa Maria Luisa Frassica 03-07-2015 5151 visualizzazioni
Giuseppe A. 30 anni


Scritto da Dott.ssa Maria Luisa Frassica
Roma (RM)

 
inizio trattamento
 
 
fine trattamento
 
 
 

TAG: espansione dento alveolare