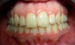
La paziente di sesso Femminile chiede di voler risolvere la sua malposizione dentale con apparecchio invisibile. Si è proceduto con la simulazione mediante sistema Virtual 3D denominato Clin Check della Align tecnology e la risoluzione mediante metodica Invisalign in circa 18 mesi
Trattamento ortodontico con metodica Invisalign
Risoluzione caso ortodonzia estetica con metodica invisalign
TAG: Trattamento ortodontico con metodica Invisalign



Dentista Puglia, Taranto
Vedi la scheda
Dentista Lazio, Roma
Vedi la scheda
Dentista Calabria, Vibo Valentia
Vedi la scheda
Dentista Trentino Alto Adige, Trento
Vedi la scheda
Dentista Liguria, Imperia
Vedi la scheda