Menu

Domanda di Devitalizzazione

Risposte pubblicate: 10

SEGUITO ALLA DOMANDA: Vorrei chiedere un chiarimento per quanto riguarda il referto di una ortopanoramica

Scritto da patty / Pubblicato il

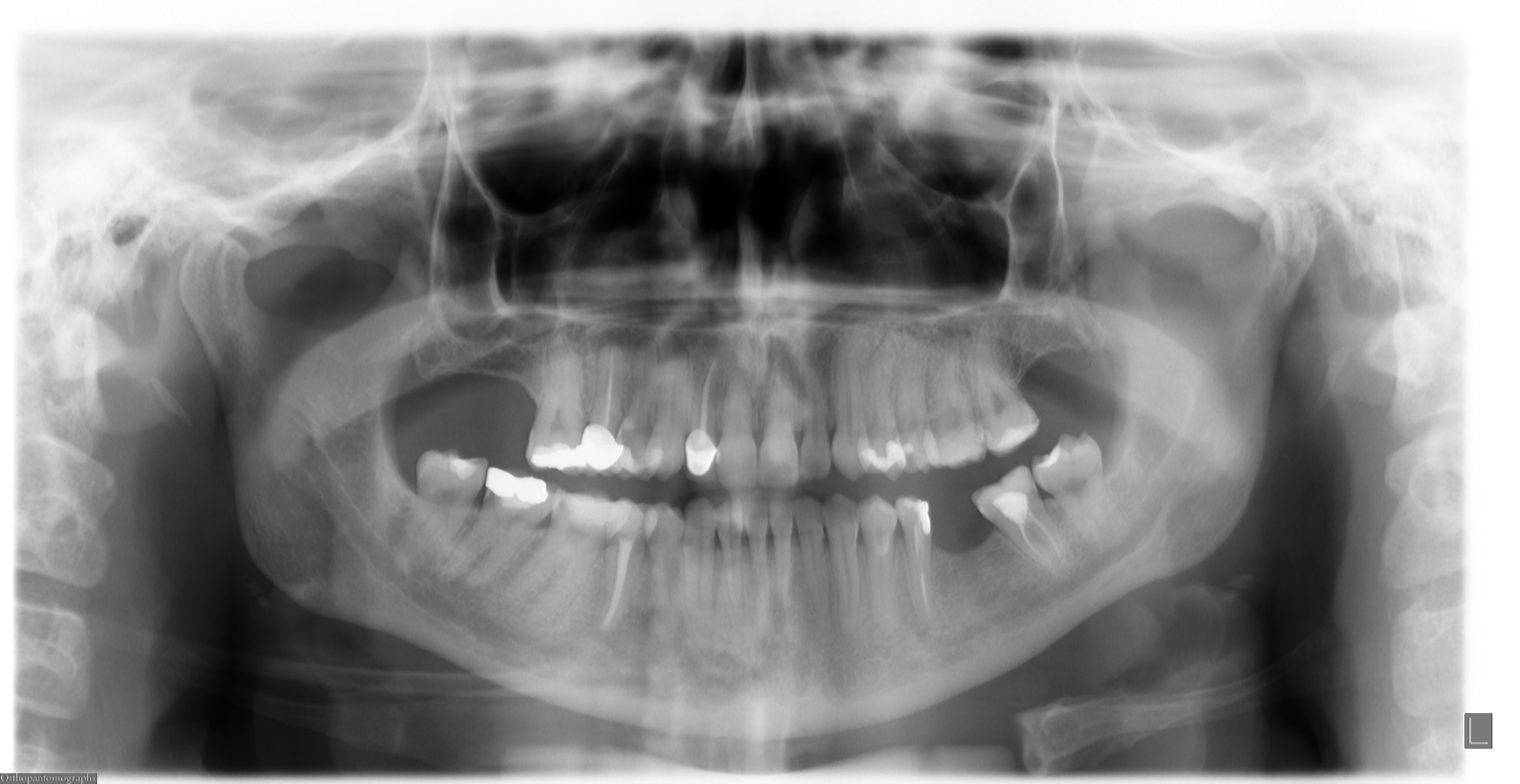
Salve...sono quella di prima della lieve rarefazione apicale su 15. Il dente è coperto con una corona! Dovrò quindi spaccare la corona e ridevitallizarlo..poi dovrò rifare la corona immagino..quanti soldi! Ma scusate, il dentista che mi ha incapsulato questo dente, non aveva il dovere di fare una piccola rx per vedere che il dente fosse stato devitalizzato in maniera corretta (dal precedente odontoiatra) ? Grazie per la risposta. Patty P.S. Allego panoramica...

 

Precedente:

http://www.dentisti-italia.it/dentista_domande/endodonzia/3363_referto-ortopanoramica.html

SEGUITO ALLA DOMANDA: Vorrei chiedere un chiarimento per quanto riguarda il referto di una ortopanoramica
Gentile Patty, si rassicuri poichè non è necessario rovinare la corona e rifarla in quanto il suo problema può essere risolto con un intervento di chirurgia retrograda senza toccare la corona. Per la seconda domanda, è sempre opportuno effettuare una piccola radiografia endorale prima di incapsulare il dente specialmente se la devitalizzazione è stata eseguita altrove per non incorrere in successivi spiacevoli preblemi come il suo. Cordialmente

Scritto da Dott. Tersandro Savino
Tivoli (RM)

Certamente...!!! E' così, prima di fare una corona, bisogna fare rx per vedere se la precedente cura é a posto. Proprio per evitare quello che é successo a lei, dover spendere di nuovo etc. Ma la verità é che alle volte, raramente e sfortunatamente, una rx pre-protesica può evidenziare che tutto é ok e poi il granuloma si sviluppa lo stesso...

Scritto da Dott. Paolo Passaretti
Civitanova Marche (MC)

Cara Signora Patty, ma chi glielo ha detto che bisogna rifare la corona? E' vero si può forare e rifare la terapia canalare, ma forse è meglio a seconda della situazione clinica ...e lo è quasi sempre, fare una retrograda: i microbi presenti nella radice inviano fuori nell'osso le loro tossine a cui l'organismo risponde con la formazione cistica o granulomatosa per arginare l'infezione stessa e difendersi, e i corpi dei leucociti macrofagi che arrivano in massa, formano il pus e quindi l'ascesso che si fa strada tra le fasce muscolari dove trovano meno resistenza...ecco che un ascesso può "emergere" anche abbastanza lontano dal dente di origine.... ... tolti i microbi con la nuova terapia endodontica per via ortograda (normale ) o retrograda (chirurgica) le tossine non vengono più emesse e la zona di osteolisi (lisi dell'osso) scompare con rigenerazione dell'osso stesso.I granulomi (o le cisti) si curano: essi sono dei tentativi dell'organismo di bloccare l'infezione che risiede nel dente...ossia i microbi sono nella radice...le tossine escono dall'apice e provocano l'insorgenza del granuloma...curate le radici....il granuloma si riassorbe da solo in un tempo variabile di pochi mesi al massimo ... ma i microbi non ci sono più!...se fosse impossibile curare le radici per la via "normale"...le si curano per via retrograda, chirurgicamente, entrando nelle radici dagli apici che poi vanno sigillati con materiali particolari!...il granuloma i può anche non escidere chirurgicamente intanto si riassorbe! sono pericolosi non solo localmente per i denti...il Parodonto...l'Osso.... le gengive...ma anche per l'Organismo intero....dal Granuloma possono partire microbi che col torrente ematico vengono portati in organi ed apparati importanti quali Rene, Cuore e tanti altri...e dare infezioni pericolose...fortunatamente molto rare...ma esistono e sono pericolose ripeto!...queste infezioni si chiamano malattie focali, ossia che hanno il loro Focus di partenza "in cavità dell’organismo comunicanti con l’esterno", come si dice per DEFINIZIONE MEDICA, in questo caso l'osteolisi periapicale, così come le Tasche Parodontali (altra causa comune ed importante)! Quindi un granuloma va eliminato...soprattutto se è fistolizzato...: guardi che è semplice e normale terapia alla portata di qualsiasi buon Dentista!...Cordialmente Gustavo Petti, Parodontologia, Implantologia, Gnatologia e Riabilitazione Orale Completa in Casi Clinici Complessi ed Ortodonzia e Pedodonzia la figlia Claudia Petti, in Cagliari.
CONTINUA A LEGGERE
Patty81110.JPG

Scritto da Dott. Gustavo Petti
Cagliari (CA)

Gentile Sig.ra Patty, sarebbe stato certamente opportuno eseguire una Rx endorale prima di procedere alla protesizzazione del 1.5, ma, non conoscendo la sua specifica richiesta al suo nuovo dentista ed il tempo trascorso dalla precedente devitalizzazione non saprei dirLe di più. A prima vista la terapia canalare dall'OPT (poco affidabile,c mq, per tale tipo di accertamento)sembrerebbe che sigilli bene fino all'apice della radice. Le consiglio di esternare il suo problema (sempre se c'è dal punto di vista soggettivo) con il suo nuovo dentista che ha eseguito la corona al dente in questione. Cordiali saluti
CONTINUA A LEGGERE

Scritto da Dott. Aldo Santomauro
Palermo (PA)

Gent sig PATTY LE CONFERMO quando detto dai miei colleghi.. sarebbe auspicabile eseguire una rx prima di eseguire una protesi (corona) come nel suo caso, ma a volte al momento dell'esecuzione della lastra non sono evidenti lesioni periapicali (granuloma) e quindi si esegue il lavoro.. solo in seguito si manifesta una lesione che può dare sintomi o restare silente anche per molto tempo.. inoltre non è necessario rifare la corona visto che il dente può essere trattato anche passando attraverso la superficie masticante (occlusale) della precedente.. cordialmente.. dottor Franco Tarello, dentista in Torino
CONTINUA A LEGGERE

Scritto da Dott. Franco Tarello
Torino (TO)

Mi scusi, ma esiste un attrezzo (purtroppo odiato) che si chiama martelletto levacorone, si rimuove la capsula, si rifà la terapia canalare, e si ricementa la corona. Prima di pensare al bisturi e alle otturazioni retrograde, pensiamo al modo più semplice per sistemare le cose. Cordiali saluti.

Scritto da Dott. Davide Colla
Seregno (MB)

Gentile signora, concordo pienamente con quanto detto dal Dott. Colla. Cordiali saluti.

Scritto da Dott. Giuseppe Murruni
Giussano (MB)

Le rispondo sulle ulteriori terapie e sui costi. Se la corona che ricopre il dente incriminato ha una superficie occlusale di metallo o di oro, è possibile non eliminarla ma soltanto bucarla per effettuare la nuova terapia canalare e poi otturarla con un intarsio: il costo di un intarsio d'oro è sicuramente più economico di una nuova capsula

Scritto da Prof. Giuliano Falcolini
Roma (RM)

Cara patty sicuramente avrebbe fatto meglio a fare una rx comunque non c'è problema, dalla radiografia sembra ci sia una zona osteolitica sopra quel dente ma non è molto ben definita tuttavia le cure canalari sembrano ben eseguite distinti saluti

Scritto da Dott. Domenico Aiello
Catanzaro (CZ)

La prima cosa da fare è il ritrattamento del dente e quindi si valuta se la corona può essere rimossa o forata. Solo in seconda battuta se non si risolve il problema si passa alla chirurgia retrograda. In ogni caso la corona si può salvare, tranne che sia imprecisa o infiltrata. Saluti

Scritto da Dott. Sandro Compagni
Latina (LT)