Ho un incisivo scuro dovuto ad un devitalizzazione
Scritto da Carlo / Pubblicato il
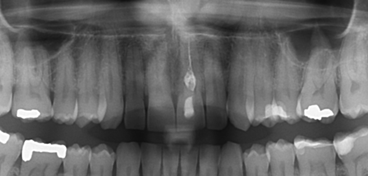
Salve, ho un incisivo scuro dovuto ad un devitalizzazione di circa tre anni fa a causa di un trauma di quand'ero piccolo! A seconda della luce si nota molto di più la differenza di colore! Ho già provato lo sbiancamento esterno senza risultato per quello interno invece mi è stato sconsigliato per via del pericolo di un riassorbimento canalare(come evidenziato dalla radiofrafia) Vorrei mettere la faccetta ma sono preso da mille dubbi pur avendo sentito molti dottori... Il mio dentista dice che non ci sono problemi ma il dente con la faccetta aumenterà leggermente di spessore inoltre mi sconsiglia di portarlo alla lunghezza dell'altro per paura che mi si possa staccare la faccetta! Un altro dentista mi ha detto che non ci sono problemi per quanto riguarda spessore e lunghezza (il dente sarebbe stato identico all'altro ) ma quando ha visto la radiografia mi ha detto che non se la sentiva di operare perchè il dente avrebbe potuto spezzarsi!!! Un terzo dentista mi ha detto che poteva venire un buon lavoro con il dente che avrebbe ripreso il suo colore naturale ma avrebbe limato molto per coprire il colore nella parte superiore! Pareri discordanti.... Non vorrei ritrovarmi se faccio la faccetta (corone e quant'altro le ho scartate perchè non vorrei ridurre troppo il dente) con un "dentone"! E se poi si vedrà la linea scura del dente tra faccetta e gengiva? Ho visto un sacco di foto su internet eppure nella maggiorparte (non in tutte beninteso) si vedeva l'artificio del materiale! La faccetta sarà liscia e innaturale o potrà replicare la "ruvidità" del mio dente! Sono mesi che ci penso e nel frattanto ho difficoltà a sorridere!
Pubblicato il 05-03-2015
Sig. Carlo, tralascianto il punto di vista endodontico e notando che i precedenti tentativi di sbiancamento hanno fatto più danni che risultati, mi chiedo perchè il paziente anziché continuare a ricercare o proporre soluzioni da incompetente, non ascolta semplicemente l'odontoiatra che è uno specialista e lascia a lui ogni responsabilità del caso? Per cui scarti pure tutto quello che vuole e guidi l'odontoiatra verso quello che vuole lei, ma poi non rimpianga se si ritrova con altri danni e con estetica non gradita. Quando trova un odontoiatra che le dice che la riabilitazione sarà identica di colore e di forma, non le resta che farselo scrivere e poi sottoporsi alle sue cure senza pensare nulla sui mezzi e metodi utilizzati. Se non ritroverà il risultato promesso potrà sempre avere rivalsa di danno estetico che la ripagherà di tutto fin ad ottenere i risultati promessi, mentre se fa testa sua ci saranno sempre dei compromessi.
CONTINUA A LEGGERE
Pubblicato il 05-03-2015
Caro Signor Carlo, buongiorno. Precisando che in simili Diagnosi sono necessarie Rx Endorali le sole precise ed utili per valutare l'Unità Dentale (Corona, Radice, Parodonto ed osso di sostegno e i rapporti coi denti prossimali ed antagonisti) e non certo le OPT che ha postato e non capisco perché le siano state fatte queste anzichè le endorali, facendole, tra l'altro, assorbire più Radiazioni, non necessarie, "Sic", sarei curioso di sapere se tutti questi Dentisti le abbiano fatto pagare la Visita! Sa consultarne tre e pagare la Visita, costa, forse più di una faccetta estetica.Presumo quindi che siano state tutte Visite Gratis e molto Brevi! La Visita Gratis propende a far pensare che il Dentista sia "mediocre". Non esiste qualità a costi bassi! Come in un centro low cost, a basso costo dove fanno la visita gratis, la panoramica gratis etcetcetc! Ma purtroppo come accade anche da molti Dentisti Privati che non capiscono che La visita Odontoiatrica, ripeto , è un atto medico essenziale e "carico della cultura del medico e non può non essere fatta "pagare" con un giusto Onorario! Quindi se vuole un consiglio, scelga solo chi inizi una terapia o proponga o pianifichi una terapia, qualsiasi essa sia, solo dopo una adeguata visita Odontoiatrica completa e "colta"! Una visita Odontoiatrica è un atto medico importante e colto che richiede almeno un'oretta oltre un'altra mezzoretta per informare il paziente (consenso informato). Mi scuso coi Colleghi di Dentisti Italia se mi sono ripetuto per l'ennesima volta ma questo comportamento "che purtroppo è figlio di questi nostri tempi malsani e di questa nostra Società decadente" deve cessare! Io faccio il possibile. Una Visita Odontoiatrica è la massima espressione Culturale e di conoscenza Medico-Odontoiatrica e, se fatta come si deve , impegna il Cervello del Dentista per un'ora circa più una mezzora per le informazioni doverose di "consenso informato"! Legga come faccio io una Visita leggendo sul mio Profilo "VISITA PARODONTALE", ma vale come visita Odontoiatrica generale, perché la visita che si fa nel mio studio, a prescindere dal motivo per cui è venuto il paziente, è questa e stia certo che tutte le patologie "saltano fuori"! Non è Lei che deve "capire" è il Dentista! E non troverà certo il Dentista da chi fa le Visite Gratis!Vada dal Dentista, scelto per Fiducia e Stima e non in base a visite gratis e preventivi apparentemente convenienti! Segua la "Vox Populi" o cerchi su questo portale in "Trova Dentista " in Home page digitando la città e leggendo i curricula. Poi digiti il nome del Dentista su un motore di ricerca e se il Professionista è uno studioso, troverà curriculum, foto di interventi, corsi, congressi, pubblicazioni. Non sarebbe indispensabile avere tutto questo, ma almeno sa che sta recandosi da un Dentista colto e che fa cultura, il ché è già un buon inizio! In bocca al Lupo. Si deve solo affidare a chi le dia una "sensazione" di Professionalità e quindi di Fiducia e di Stima. Non deve cercare Lei, di capire quale sia la Terapia più idonea. Se avesse queste pretese, si Laurei in Odontoiatria, prima! Curare la patologia che ha Lei è "normalissima routine". Lei sta Annegando in un bicchiere d'acqua e i Dentisti che ha consultato, non dimostrando "Polso ed Auterevolezza" stanno annegando con Lei"! Autorevolezza l'ha chi ha competenza che si traduce in decisione certa e sicura derivante dalla propria Cultura e Capacità Diagnostica! Si Diagnostica perché la Grande Assente, come al solito, è proprio la Diagnosi che è la conseguenza di una Visita Odontoiatrica Accurata e che impegna Dentista e Paziente per tanto tempo! Non basta un'occhiata e via! Non Bisogna valutare solo il Dente in questione ma analizzare tutto l'apparato Stomatognatico, Gnatologicamente, Parodontalmente, Conservativamente, Funzionalmente, Esteticamente. Tutto questo, senza estrapolare la "bocca" dal contesto dell'Organismo intero in cui si trova che va valutato quindi insieme alla "bocca", Clinicamente, Anamnesticamente, Semeiologicamente per fare Diagnosi Differenziali che Nascono Solo dalla conoscenza delle varie patologie ed emettere infine un sospetto Diagnostico che diventa poi Diagnosi Certa con, "Ragionamento Clinico e Strumentale e eventualmente analitico ematologico". Si emette così una Prognosi ed infine la Terapia ed ho detto "La", non "Una" Terapia che sceglie il Dentista e solo il Dentista! Cari saluti
CONTINUA A LEGGERE
Pubblicato il 05-03-2015
Gentile sig. Carlo, ricordo che la preparazione per la faccetta non è distruttiva del dente, ma comporta il minimo per ricostruire il dente della stessa forma e dimensione. Quello che più mi sembra degno di attenzione è il fatto che il lavoro interno è poco apprezzabile, il riassorbimento interno importante, e vale la pena chiedersi il motivo di questa reazione del dente. Utile riguardare i contatti con gli inferiori, a volte un trauma da contatto nel tempo provoca un riassorbimento. Non credo che il dente nell'insieme sia così debole da non sopportare la preparazione di una faccetta, e anche il fatto che potrebbe alla fine aversi un dente sovracontornato è eccessivo. La realtà e che nessuno vuole metterci le mani, e questo dice che si rivolge alle persone sbagliate o che il dente è in sé un problema. Le consiglio un bravo dentista abile nella conservativa, e una faccetta allo zirconio e di-silicato di litio, assolutamente naturale. Un'altra cosa importante è che la radiografia non permette di vedere bene la chiusura dell'apice. Dovrebbe fare una piccola radiografia digitale per evidenziare la chiusura. Infine, in questi casi è opportuna una metodica di riempimento Shilder, crown down, perché c'è una dilatazione centrale. Un mondo di auguri
CONTINUA A LEGGERE
Pubblicato il 05-03-2015
Premesso che dalla rx si vedono diverse carie sparse nei denti dietro, a mio avviso la unica vera soluzione è una capsula di ceramica integrale o anche di zirconia. La faccetta non può riuscire a coprire il colore bene. La capsula avrà anche lo scopo di proteggere il dente (non di rovinarlo) da fratture successive con la masticazione, perchè assai indebolito. Le capsule in situazioni come la sua proteggono il dente, non lo rovinano. E ripristinano una estetica totalmente perfetta se fatte da un bravo dentista che si serva da un valido tecnico artigiano italiano.
CONTINUA A LEGGERE
Pubblicato il 05-03-2015
Buongiorno Ritengo che il suo caso possa essere risolto con un semplice sbiancamento inserendo all'interno del dente il prodotto sbiancante, poi con l'ausilio del laser lo sbiancamento è assicurato. Ritengo le asserzioni dei miei predecessori non valide e con un semplice sbiancamento possa risolvere il suo problema. Buona giornata
Pubblicato il 05-03-2015
La cura canalare del suo incisivo non sembra congrua, serve una radiografia endorale per valutarla ed eventualmente impostare un ritrattamento endodontico (prima di protesizzare). Per quanto riguarda la parte protesica, se il dente è molto discromico deve essere limato molto anche in caso di faccetta estetica (le lumineers, fusci adesivi no prep, non sono adatte a denti particolarmente discromici in quanto non coprirebbero adeguatamente i colori scuri), faccetta estetica che può realizzare in composito o in disilicato di litio; se però, limando molto il dente per realizzare una faccetta (con probabile estensione palatale), il dente risulterebbe molto compromesso, allora sarà opportuno incapsularlo (corona in zirconia). Questo si stabilisce dopo aver eseguito una visita completa ed accurata, impronte e modelli di studio (su cui si realizzano le preparazioni pre - operatorie); una volta definito il piano di trattamento più adeguato al suo caso, si spiega al paziente e si procede. In entrambi i casi il risultato estetico è eccellente (nessun dentone, nessun bordino etc etc) ed il dente, anche se ridotto dimensionalmente, è protetto dalla struttura protesica.
CONTINUA A LEGGERE
Pubblicato il 05-03-2015
Gent.mo Sig. Carlo, capisco che per lei sia difficile trovare un filo comune nel pensiero di tanti professionisti e quindi sono a dirle di non soffermarsi tanto sulle scelte proposte da uno o dall'altro. Ogni collega propone il meglio che sa di poter fare per ottenere un risultato che la possa soddisfare; non esiste in astratto un trattamento migliore di un altro ma il trattamento che soddisfi le sue personali esigenze e che il clinico sa di poter eseguire al meglio. Se un collega le propone una corona non lo fa per dispetto ma solo perchè nelle sue mani quello è il modo per ottenere il miglior risultato possibile. Allo stesso modo un collega che le propone una faccetta. Tuttavia, prima di disquisire sul risultato finale porrei molta attenzione alla cosidetta "parte invisibile" del lavoro, ossia alla devitalizzazione. Oggettivamente non vedo una bella situazione nella radice e ho dubbi e timori sull'esito finale della cura canalare. Dico ciò perchè sarebbe molto spiacevole trovarsi con una bellissima corona o faccetta di cui lei è soddisfattissimo ma che verrebbe vanificata da un processo di riassorbimento radicolare che causerebbe la perdita del suo dente. Le consiglio, quindi, di farsi eseguire una devitalizzazione a regola d'arte ed una ricostruzione in composito e perno in fibra di quarzo; ciò permetterà di seguire nel tempo l'evoluzione del suo dente che, se positiva, potrebbe essere finalizzata con una corona oppure con una faccetta. Nella speranza di non averle confuso troppo le idee le porgo cordiali saluti.
CONTINUA A LEGGERE
Pubblicato il 06-03-2015
il Dr. Carpinteri mi ha rubato le parole di bocca... facendo un corretto ritrattamento endodontico sarà possibile, senza pericoli, effettuare lo sbiancamento interno. I risultati sono spesso buoni/ottimi. Non sempre così stabili (un po' di recidiva ci può essere). Solo a qual punto si può valutare una faccetta personalizzata eseguita in laboratorio (non una industriale) e cercare di "copiare" il dente adiacente.





Dentista Emilia Romagna, Modena
Vedi la scheda
Dentista Campania, Salerno
Vedi la scheda
Dentista Liguria, Savona
Vedi la scheda
Dentista Emilia Romagna, Bologna
Vedi la scheda
Dentista Lazio, Viterbo
Vedi la scheda