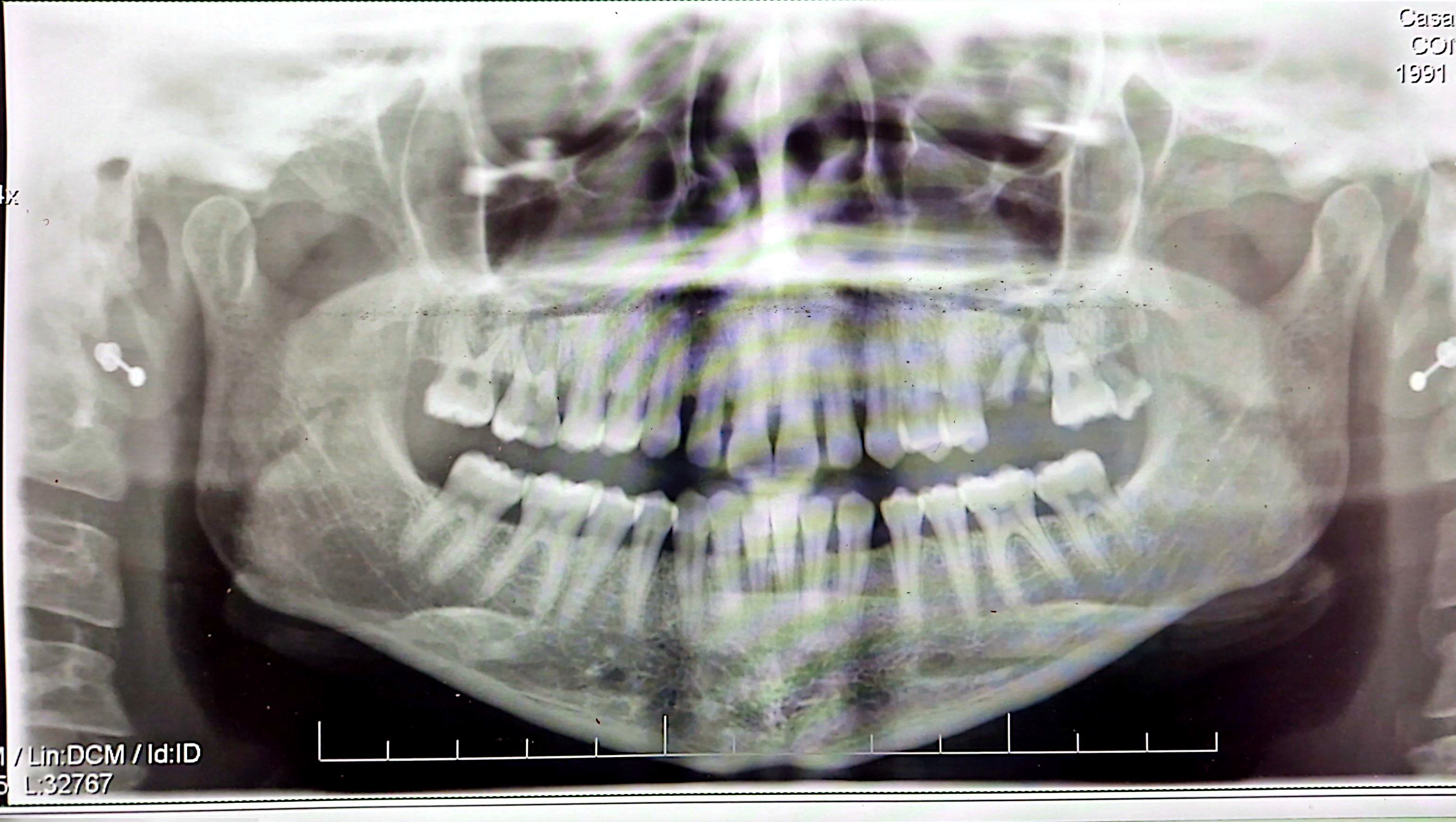
Buon giorno Veronica, il suo quadro clinico è chiaro, presenta l'elemento 28 molto cariato, (dovuto anche all'impossibilità di una corretta pulizia) dell'elemento 26 , non è rimasto più nulla, non presentandosi integro, è irrecuperabile, dubbi potrebbero esserci per la cura del 16, ma l'aspetto clinico, si può valutare con una visita e con un rx endorale quindi si fidi del suo dentista.
Domanda di Chirurgia
Risposte pubblicate: 4
Pubblicato il 16-04-2026
No, sono tre denti irrecuperabili.. si fidi del suo dentista - una è una radice - uno è un dente del giudizio che non si sa come sta lì - il 16 è un peccato, ma come si può curare?? si potrebbe tentare, ma ci vogliono tecniche sopraffine..
Pubblicato il 16-04-2026
Due sono da levare, il terzo non è semplice, ma io ci proverei. Potrebbe rivestirlo con un intarsio dopo averlo devitalizzato e ricostruito parzialmente. Certo è una tecnica sofisticata ma da buoni risultati.
Pubblicato il 17-04-2026
Pubblicato il 24-04-2026
Sig. Veronica, la sua odontoiatra la conosce clinicamente, anamnesticamente e radiologicamente; noi non abbiamo riscontri clinici e anamnestici, come possono avere affidabilità le nostre risposte?




Dentista Lombardia, Milano
Vedi la scheda
Dentista Lazio, Roma
Vedi la scheda
Dentista Campania, Caserta
Vedi la scheda
Dentista Lazio, Roma
Vedi la scheda
Dentista Liguria, Savona
Vedi la scheda