Esiste un modo per aspostarla senza togliere i tre denti?
Scritto da adamo / Pubblicato il
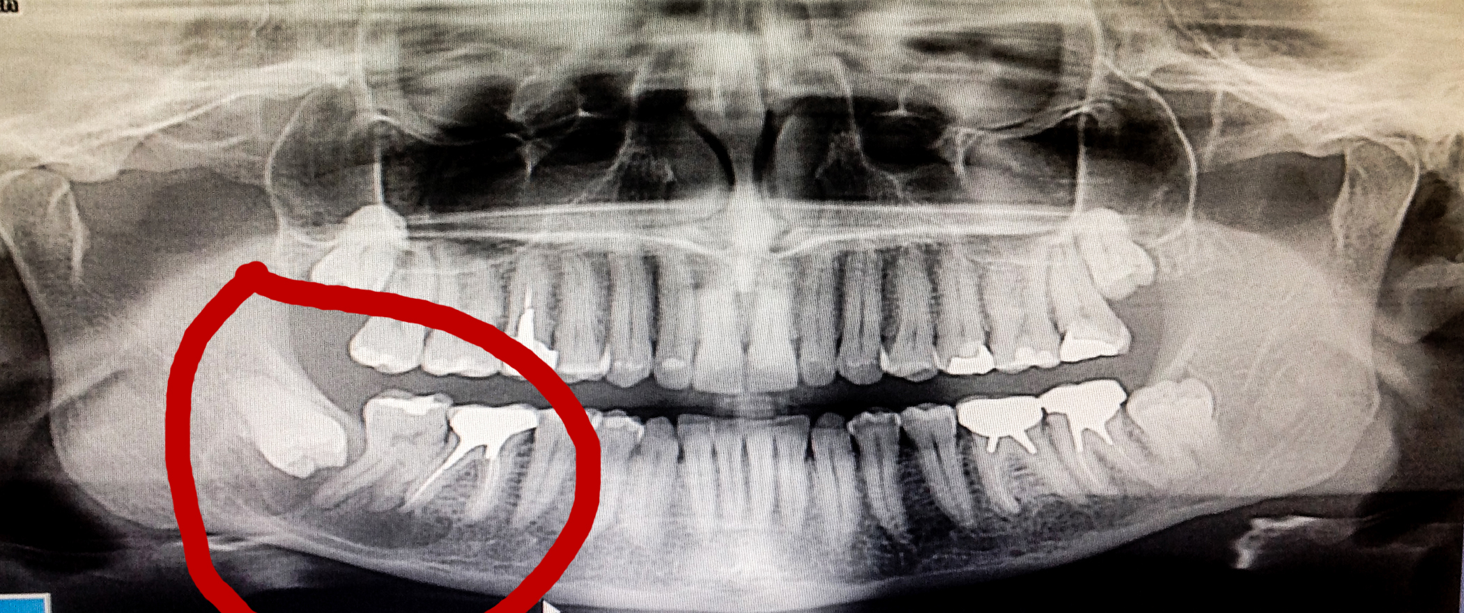
buongiorno. Vorrei un opinione. E' da circa un anno e mezzo che sento come "qualcosa" sotto un dente. Lo scorso anno ho fatto una radiografia e sembrava tutto apposto. E' però da una settimana che sento come un formicolio o strana sensazione alla lingua, oggi per precauzione ho fatto un'altra radiografia ed è saltata fuori una ciste abbastanza grande. Ho allegato la foto. E' una foto che ho fatto con l'ipad al monitor del dentista, ma si vede chiaramente la ciste sotto tre denti. Fino a qualche ora fa, nemmeno sapevo dell'esistenza di cisti sotto i denti. Adesso lo so, perchè ce l'ho! Io oggi sono andato da un dentista "a caso" solo per fare la radiografia, ma io vivo all'estero (in Giappone) e quindi l'asportazione, la farò probabilmente in Giappone. Vorrei comunque qualche rassicurazione, capita solo a me? Rischio di morire? Rischio di perdere la sensibilità della bocca? ... il dentista ha detto che nonostante sia molto grande, è lontana dai nervi e quindi dovrebbe essere un intervento di routine! Mi toglieranno tutti e tre i denti? Dente del giudizio e i due denti vicini? ... solo con anestesia o mi addormenteranno? Io vivo in Giappone, ma non parlo giapponese. Ci sarà mia moglie giapponese a tradurre, ma vorrei sapere i rischi che corro a fare questa operazione. Devo dire di avere molta paura, e se invece di una ciste fosse un tumore maligno? ... lo so che si può sapere solo con un esame istologico, ma avendo avuto questa notizia da qualche ora, sto cercando di capire la gravità della situazione. Sempre e solo guardando la radiografia, potrebbe esistere un modo per aspostarla senza togliere i tre denti? ... scusate le molte domande. Essendo un residente all'estero, in Italia non ho la sanità e quindi non essendo in un'ottima situazione economica, farò questo in Giappone dove pago ogni mese l'assicurazione nazionale. Ultima domanda, se si facesse in Italia, sarebbe meglio farlo fare in un ospedale o in un centro odontoiatrico? O sarebbe la stessa cosa? ... sono di Bergamo Grazie
Pubblicato il 04-05-2015
La differenza non la fa la struttura ma il chirurgo non penso, ma sono necessari esami più approfonditi, che si debbano estrarre i molari ad esclusione dell dente del giudizio ( terzo molare ) dovrà sicuramente essere ritrattato il 46 primo molare e per il secondo invece va valutata la vitalità. Si affidi ad un chirurgo ed un endodonzista che siano esperti. Cordiali saluti
Pubblicato il 04-05-2015
Caro Signor Adamo, Buongiorno. Legga nelle due ultime risposte precedenti l'importanza di una Rx Endorale, per l'osteolisi periapicale che ha. Per il dente del giudizio incluso invece va bene la OPT che ha postato. E' da circa un anno e mezzo che sento come "qualcosa" sotto un dente. "Lo scorso anno ho fatto una radiografia e sembrava tutto apposto". Assurdo stare con questi sintomi descritti così a lungo senza andare dal Dentista. Ancora più assurdo è dire , dopo Visita Clinica e radiologica che "andava tutto a posto". La nuova OPT postata mostra un Dente del Giudizio incluso con stretti rapporti con il canale mandibolare inferiore, dove transita il nervo alveolare inferiore e la osteolisi periapicale della radice mesiale del secondo molare e distale del primo è talmente vasta che sicuramente c'era , magari solo in forma iniziale anche nella prima lastra, o almeno ci sarebbero dovuti essere segni radiologici indiretti di sofferenza periradicolare e peri alveolari inferiori coi relativi sintomi di parestesie per questi ultimi e di risposta agli stimoli termici per le osteolisi e le relative sofferenze pulpari, sempre che non si tratti di una osteolisi non odontogena che è la prima diagnosi differenziale da fare! Esistono infatti Osteilisi odontogene e osteolisi non odontogene. La Grande Assente, come al solito, dicevo, è proprio la Diagnosi che è la conseguenza di una Visita Odontoiatrica Accurata e che impegna Dentista e Paziente per tanto tempo! Non basta un'occhiata e via! Non Bisogna valutare solo il Dente in questione ma analizzare tutto l'apparato Stomatognatico, Gnatologicamente, Parodontalmente, Conservativamente, Funzionalmente, Esteticamente. Tutto questo, senza estrapolare la "bocca" dal contesto dell'Organismo intero in cui si trova che va valutato quindi insieme alla "bocca", Clinicamente, Anamnesticamente, Semeiologicamente per fare Diagnosi Differenziali che Nascono Solo dalla conoscenza delle varie patologie ed emettere infine un sospetto Diagnostico che diventa poi Diagnosi Certa con "Ragionamento Clinico e Strumentale e eventualmente analitico ematologico". Si emette così una Prognosi ed infine la Terapia ed ho detto "La", non "Una" Terapia che sceglie il Dentista e solo il Dentista!Le posso fare solo un Discorso Generale e come mi comporterei io in una simile situazione! Di fronte ad un dolore come quello da lei descritto, bisogna valutare la Vitalità dei denti e se c'è una iperemia passiva da danno venoso che non è altro che una pulpite, non è reversibile e bisogna procedere alla terapia endodontica, se fosse una iperemia attiva con danno arterioso, la sofferenza pulpare sarebbe reversibile! Se il dente fosse positivamente normale allo stimolo freddo, bisogna portare su esso uno stimolo caldo per valutare la presenza di una sintomatologia radicolare della polpa! Le spiego meglio: il dolore è dovuto semplicemente ad un maggior afflusso di sangue nel dente tramite l'arteria che lo porta, dovuto ad un meccanismo di difesa nei confronti dello stimolo irritativo, questo maggior afflusso causa una pressione dentro il dente che è inespansibile e comprime le terminazioni nervose causando dolore esacerbato dallo stringere i denti o dal "picchiettarvi sopra" o dagli stimoli termici in questo caso (che si chiama iperemia attiva) il processo è reversibile, la polpa si abitua ed in qualche giorno o settimana tutto scompare, se invece il danno causato dalle tossine dei microbi continua si ha una alterazione della vena che fa uscire il sangue dal dente e succede che il sangue arriva con l'arteria e non esce più con la vena danneggiata, si ha pressione che può anche scatenare dolori forti formando la cosiddetta pulpite acuta o essere talmente leggera da non causare dolori in questo caso anche molto lenta, formando una pulpite cronica o meglio cronicizzata e le cellule della polpa del dente, arterie, vene, linfatici e tessuto nervoso, se non curata, muoiono ossia vanno in necrosi e si può formare una zona di osteolisi periapicale (pallina nera alla Rx) intorno all'apice della radice, ossia un granuloma, cisti. Poi una visita Gnatologica e conservativo-endodontica accurata ed una visita Parodontale e una visita o almeno una anamnesi ed una semeiologia sistemica e stia certa che si arriva ad una diagnosi. Tenga inoltre presente che la visita Odontoiatrica deve essere totale. Legga, nel mio Profilo "Visita Parodontale" che poi è la Visita Odontoiatrica che io Parodontologo ma anche Odontoiatra ed anche Medico faccio sempre, così come mia figlia Claudia, per qualsiasi motivo un paziente venga da noi! Eventualmente richiedere analisi ematologiche in cui Ves e PCR mosse verso l'alto possono indicare la presenza di infezioni pericolose per le Malattie Focali. Dovrebbe completare le analisi col titolo ASLO e RA Test oltre che Emocromo con Formula, se sospettassi una Malattia Focale. Riguardo alla sua ultima domanda se la si possa "asportare" senza l'avulsione (estrazione) dei denti, bisogna per prima cosa stabilire che sia odontogena. In questo caso, basta curare endodonticamente il secondo molare se fosse in necrosi e quindi Vivo e non Vitale ed eventualmente ritrattare il primo molare endodonticamente. Le spiego: Concettualmente i microbi presenti nella radice inviano fuori nell'osso le loro tossine a cui l'organismo risponde con la formazione cistica o granulomatosa per arginare l'infezione stessa e difendersi, e i corpi dei leucociti macrofagi che arrivano in massa, formano il pus. Tolti i microbi con la terapia endodontica per via ortograda (normale ) o retrograda, se fossero presenti ostacoli insormontabili come perni non rimovibili etc (chirurgica) le tossine non vengono più emesse e la zona di osteolisi (lisi dell'osso) scompare con rigenerazione dell'osso stesso. Se fosse una cisti non odontogena, rara in questa zona, ma da prendere sempre in considerazione, si può fare un intervento chirurgico di "Cistectomia" senza estrarre i denti e senza ledere il Nervo alveolare inferiore che transita, come detto, nel Canale Mandibolare. Questo in linea di massima, non avendola Visitata!!! Spero di esserle stato utile ed esaustivo. Cari saluti
CONTINUA A LEGGERE
Pubblicato il 04-05-2015
Sig. Adamo, la garanzia di buon risultato non la da la struttura ma le buone esperte mani dell'odontoiatra che farà l'intervento. Le consiglio una nuova visita da un professionista a cui può fare tutte le domande che vuole e che le richieda una Cone Beam della zona prima dell'intervento.
Pubblicato il 04-05-2015
Sig. Adamo, con tutti i limiti diagnostici che la sua radiografia presenta, ( una panoramica non è mai sufficiente a dare una rappresentazione precisa del caso.) mi sentirei di dirle di non lasciarsi prendere da ansia eccessiva. La osteolisi c'è, senza dubbio, ma mi sembra che sia in connessione con le radici dei 2 molari presenti: mi sentirei di dire che una analisi radiografica mirata e la analisi di vitalità sul 7ttimo e una revisione del trattamento canalare del 6esto, dovrebbero risolvere il suo problema preservando i sui 2 molari. Il livello di competenza odontoiatrica in giappone è molto elevato ! Auguri.
CONTINUA A LEGGERE
Pubblicato il 04-05-2015
Ceco di risponderle brevemente ed in maniera chiara. La panoramica è un esame preliminare, servono radiografie endorali mirate e specifiche ed anche una Tac Dentale o CBCT a scopi diagnostici e pre - operatori (necessaria quest'ultima per valutare effettiva estensione e localizzazione della cisti, e suo rapporto con il canale mandibolare). Premesso che non si muore nè al 99% si tratta di una neoplasia maligna, bensì di una cisti odontogena (follicolare o radicolare che sia, ma sempre benigna è, anche se comunque verrà biopsiata una volta asportata per sicurezza) non si tratta neanche di un intervento e di una pianificazione terapeutica da prendere sotto gamba. Opportuno rivedere la terapia canalare del 46 e valutare vitalità del 47 (spesso in questi casi si devitalizza, ma non sempre), ovviamente estrarre l'ottavo in evidente disodontiasi e rimuovere la cisti. Quindi è necessaria una diagnosi certa eseguita con gli esami diretti ed indiretti adeguati, un piano di trattamento corretto e uno studio dove collaborino un Chirurgo Orale ed un Dentista esperto in Endodonzia (bravissimi i chirurghi nelle strutture oubbliche ripo Maxillo - Facciale, ma spesso poco conservativi sui denti residui). In ogni caso in Giappone l'Odontoiatria è ad alti livelli, e quindi non dovrebbe avere problemi in tal senso.
CONTINUA A LEGGERE
Pubblicato il 04-05-2015
Gentile Sig. Adamo, sicuramente la lesione stà comprimendo il nervo alveolare inferiore. Il 48 è da estrarre, il 47 da valutare attentamente e il 46 da ritrattare. Sicuramente chiederei una CBCT per confermare il mio sospetto. Cordiali saluti
Pubblicato il 05-05-2015
Gentile sig. Adamo, la lesione sembrerebbe collegata a problemi endodontici a carico dei molari (forse solo di quello già trattato). facendolo ritrattare da un bravo endodontista potrebbe guarire SENZA DOVER ESEGUIRE INTERVENTI CHIRURGICI, che potrebbero portare a una perdita di sensibilità del suo labbro. sul sito della SIE (società italiana di endodonzia) troverà molti endodontisti di esperienza che potrebbero evitarle un intervento problematico. in alternativa, una volta appurato che il 47 è vitale, anche la semplice estrazione del 46, senza dover "scavare particolarmente" potrebbe essere risolutiva. ovvio che, affinché il suo osso si riformi, occorreranno diversi mesi, ma alla fine, tolta la causa, il problema guarisce. al contrario se nell'intervento il suo nervo alveolare viene danneggiato, il danno può essere permanente. anche in Giappone ci sono bravi endodontisti, ma non so se le cure erogate da strutture pubbliche siano o meno di buon livello. domo arigatò :-)
CONTINUA A LEGGERE
Pubblicato il 05-05-2015
Prima dell'intervento è opportuno ritattare il molare, potrebbe trattarsi di granuloma apicale, si rechi da un bravo endodonzista, l'intervento se fosse necessario è meglio in un centro affidabile
Pubblicato il 05-05-2015
Sig adamo, certamente il cosi detto dente del giudizio (48) è da estrarre, ritengo anche il 47, il 46 si può salvare facendo un ritrattamento endodontico, la cisti è da eliminare; il tutto va fatto da un buon chirurgo che abbia una struttura ben organizzata e attrezzata .
Pubblicato il 06-05-2015
La lesione va eliminata e fatto un'esame istologico. Deve fare indagini diagnostiche più approfondite, ma rimango anche perplesso dal fatto che alla radiografia di un anno fa non si vedesse nulla. Sarebbe opportuno anche confrontarla. Vada da un odontoiatra esperto che le dia delle risposte. Saluti




Dentista Lazio, Viterbo
Vedi la scheda
Dentista Emilia Romagna, Parma
Vedi la scheda
Dentista Toscana, Pistoia
Vedi la scheda
Dentista Lazio, Frosinone
Vedi la scheda
Dentista Liguria, Genova
Vedi la scheda