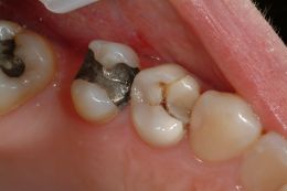
La paziente presentava vecchie ricostruzioni in amalgama e composito, lamentava dolori ed in seguito ad accertamenti radiografici sono state eseguite terapie endodontiche, la ricostruzione con perni in fibra e l'applicazione di intarsi indiretti in composito.



Dentista Marche, Ascoli Piceno
Vedi la scheda
Dentista Lombardia, Varese
Vedi la scheda
Dentista Sicilia, Catania
Vedi la scheda
Dentista Emilia Romagna, Rimini
Vedi la scheda
Dentista Puglia, Bari
Vedi la scheda