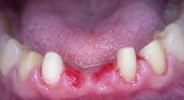
La paziente, già in cura presso un altro studio, non più contenta del lavoro che gli veniva attuato, si presenta alla nostra osservazione con dei provvisori fissi in resina da canino a canino dell’arcata inferiore. Vengono così attuate le procedure endodontiche per la salvaguardia dei monconi bisognosi di suddette cure e si procede alla realizzazione di sei elementi in ossido di zirconio ceramica (protesi metal-free), per ottenere un effetto estetico importante.
Riabilitazione estetica inferiore
In corso d'opera la paziente decide di cambiare dentista e di presentarsi alla nostra osservazione. Vengono così prospettate diverse soluzioni proteiche e si decide di proseguire con una riabilitazione estetica del gruppo anteo-inferiore.
TAG: Riabilitazione estetica inferiore



Dentista Sicilia, Catania
Vedi la scheda
Dentista Emilia Romagna, Rimini
Vedi la scheda
Dentista Piemonte, Torino
Vedi la scheda
Dentista Lombardia, Monza e Brianza
Vedi la scheda
Dentista Lombardia, Monza e Brianza
Vedi la scheda