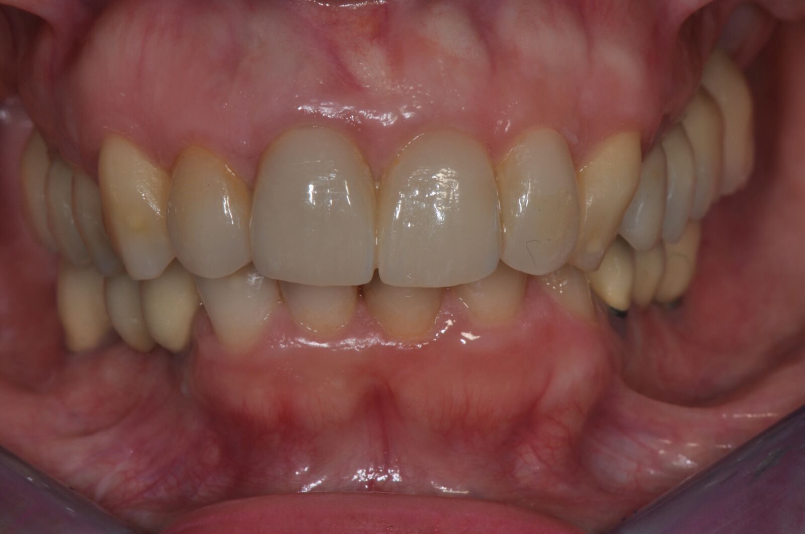
La paziente, insoddisfatta del suo sorriso e della sua condizione orale in generale, ricerca una soluzione possibilmente fissa che sia soddisfacente sia funzionalmente che esteticamente. Il piano di trattamento prevede: estrazione di tutti gli elementi dentari - residui radicolari residui e dell'incisivo centrale superiore sinistro (in due tempi); ortodonzia inferiore per re - allineamento incisivi (durata circa 3 mesi); chirurgia parodontale - mucogengivale sul blocco frontale superiore, per re - allineamento parabole gengivali (allungamento corona clinica); implantologia in zona diatorici superiore ed inferiore; protesi fissa avvitata su impianti superiore ed inferiore; corona singola su incisivo laterale superiore destro e ponte fisso di tre elementi anteriore (11 - 21 - 22), tutto in disilicato di litio stratificato.
Odontoiatria Ricostruttiva Multidisciplinare
Caso Clinico complesso di riabilitazione chirurgica parodontale - implantologia - ortodonzia - protesi dentaria
TAG: odontoiatria ricostruttiva











Dentista Lazio, Roma
Vedi la scheda
Dentista Toscana, Arezzo
Vedi la scheda
Dentista Toscana, Firenze
Vedi la scheda
Dentista Trentino Alto Adige, Trento
Vedi la scheda
Dentista Lombardia, Monza e Brianza
Vedi la scheda