La paziente di 45 anni si è presentata alla nostra attenzione con il desiderio di risolvere la problematica estetica del gruppo frontale.
L'esame clinico ha evidenziato uno stato parodontale compromesso con migrazione vestibolare degli incisivi centrali e laterali.
Per prima cosa si è eseguita un'accurata terapia causale partendo da una seduta di igiene orale e da 4 sedute di levigatura radicolare. La paziente è stata istruita e motivata al mantenimento di una scrupolosa igiene domiciliare.
A distanza di 2 mesi si è proceduto all'estrazione dei 4 incisivi, alla preparazione dei canini e dei primi premolari e all' applicazione del provvisorio.
A distanza di una settimana sono stati rimossi i punti di sutura e il provvisorio è stato ribasato in modo da iniziare il condizionamento della gengiva nel settore edentulo.
In terapie così complesse il successo della riabilitazione è strettamente connesso ai frequenti controlli che si eseguono sul paziente per poter valutare il grado di igiene e per poter gestire a meglio la maturazione dei tessuti.
Solamente a distanza di 12 mesi si è potuto procedere con la rilevazione delle impronte e con la consegna del lavoro definitivo in zirconia.
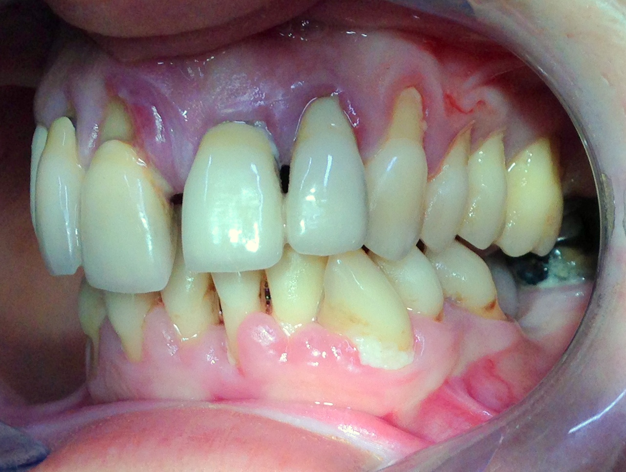
Il manufatto protesico appare completamente integrato da un punto di vista estetico e funzionale.
Rilevante è anche l'anatomia del settore edentulo. Difficilmente si può ottenere un risultato così positivo con il ricorso a terapie implanto protesiche.








.jpg)
.jpg)
.jpg)




Dentista Veneto, Padova
Vedi la scheda
Dentista Emilia Romagna, Parma
Vedi la scheda
Dentista Lombardia, Lodi
Vedi la scheda
Dentista Toscana, Arezzo
Vedi la scheda
Dentista Sardegna, Oristano
Vedi la scheda