Menu

Corone estetiche in zirconio

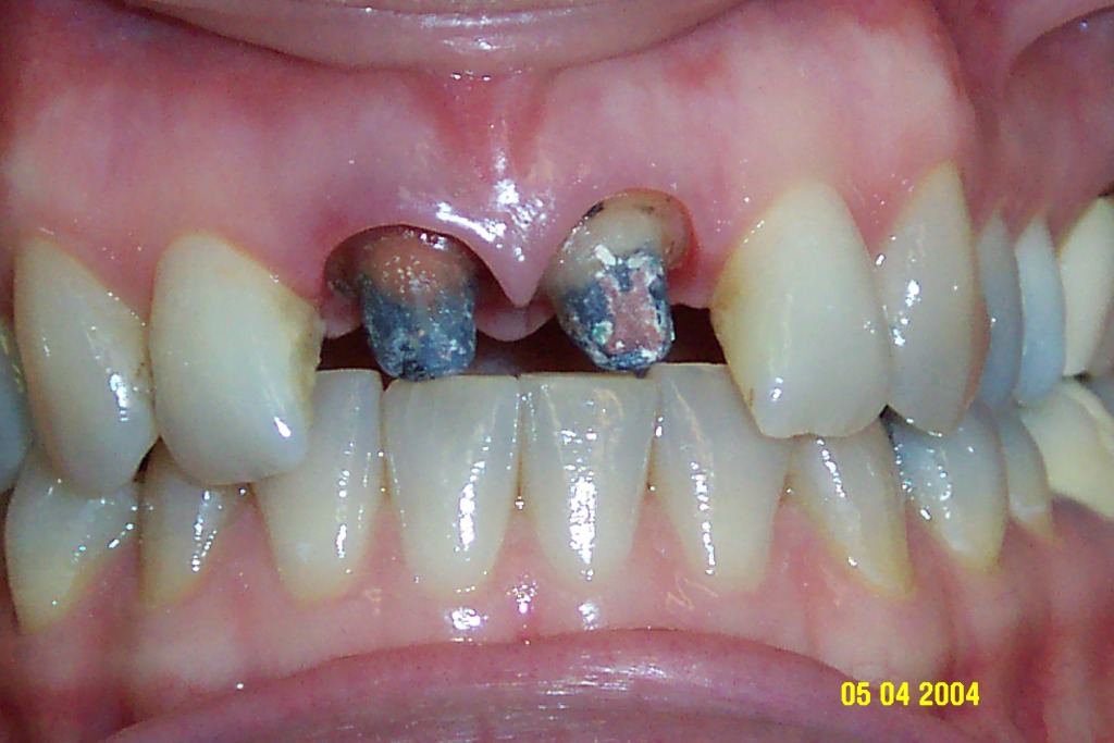
Sostituzione di due incisivi centrali con corone in zirconio-ceramica

Corone estetiche in zirconio by Dott. Massimiliano Lanza 30-09-2008 5396 visualizzazioni
La paziente necessita della protesizzazione dei due incisivi centrali che vengono realizzati con corone in zirconio e ceramica


Scritto da Dott. Massimiliano Lanza
San Donà di Piave (VE)

i due elementi ricostruiti con perno in fibra di carbonio
corone definitive cementate

TAG: Corone estetiche in zirconio