In fisiologia masticatoria si verifica lo spostamento dei condili, la trazione in avanti e indietro in forma alternata dei loro menischi e il contatto e lo sfregamento tra le superfici occlusali delle due arcate durante gli scivolamenti mandibolari a destra e sinistra, sia in lavoro che in bilanciamento,così come descritto da Gysi. L’alimentazione moderna non spinge a realizzare la funzione dovuta, anzi crea l’abitudine di masticare solo con un movimento di apertura e chiusura non stimolando, non essendoci funzione, né le ATM, non essendoci trazione, né il parodonto, non essendoci sfregamento occlusale. La R.N.O. risponde a tre leggi di Planas:
- Legge della minima dimensione verticale: muovendo la mandibola verso destra e verso sinistra si registrano, in un piano verticale frontale e con riferimento all’ orizzontale, due angoli, uno destro e uno sinistro, che vengono definiti Angoli Funzionali Masticatori di Planas (AFMP). Il paziente masticherà dal lato con AFMP più piccolo, purchè non negativo rispetto l’ asse orizzontale. Lo studio e l’ osservazione degli AFMP è una delle prime manovre che effettuiamo sui nostri pazienti per fare diagnosi funzionale.
- Leggi dello sviluppo del sistema stomatognatico:
La prima legge, ovvero lo sviluppo postero anteriore e trasversale, dice:
1. la stimolazione postero-anteriore dell’ ATM del lato di bilanciamento dà origine allo sviluppo longitudinale del ramo mandibolare di questo lato;
2. lo sfregamento occlusale funzionale del lato di lavoro causa, sempre in questa emiarcata, l’ingrossamento mandibolare e lo sviluppo trasversale e in avanti dell’ emimascella corrispondente;
3. lo sfregamento occlusale del lato di lavoro dà luogo all’ espansione mandibolare di questo lato.
La seconda legge relativa allo sviluppo verticale di premolari e molari dice che:
1. embriologicamente la mandibola è formata da due bottoni, destro e sinistro, e la stimolazione funzionale di uno o più denti di una emiarcata produce la risposta di crescita di tutti i denti di questa emiarcata, la quale viene neutralizzata dal contatto occlusale con gli antagonisti.
2. Nei mascellari le risposte agli stimoli masticatori si verificano nei tre ruppi di origine embriologica diversa (mascellare destro, sinistro e interincisivo). Quindi la stimolazione di uno dei denti del mascellare di un lato crea le risposte di crescita di tutti i denti di questo stesso lato e la stimolazione di uno dei denti del gruppo interincisivo crea la risposta di crescita di tutti i denti che appartengono a questo gruppo indipendentemente dagli altri due.
La terza legge ovvero la legge dello sviluppo verticale degli incisivi dice che se per un qualsivoglia motivo, la masticazione diviene unilaterale in un periodo di tempo relativamente lungo, gli incisivi superiori, in particolare l’incisivo laterale, controlaterali al lato funzionale, tendono a crescere e noteremo allungamenti dentali e diastemi prima non presenti.
Dopo questa panoramica sulle basi della funzione secondo Planas andiamo ad esporre il caso clinico.
CASO CLINICO
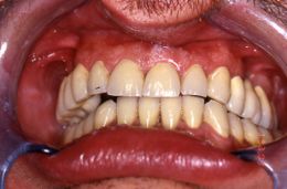
Paziente di sesso maschile e 34 annidi età. Si presenta alla nostra osservazione per motivi estetici che non soddisfano le sue aspettative (Fig.1).
All’esame obiettivo notiamo, in protrusiva, ovvero facendo scivolare in avanti la mandibola mantenendo il contatto tra gli incisivi inferiori e superiori, una leggera laterodeviazione a sinistra della mandibola che, rifacendosi alle leggi di planas significa potenza muscolare sinistra superiore a quella di destra e quindi masticatore di sinistra (Fig.2).
Chiedendo al paziente di far caso al lato di predominanza masticatoria ci conferma la masticazione a sinistra. Pertanto dopo una attenta analisi gnatologica , in articolatore a valori individuali, facciamo una ceratura diagnostica o per la precisione dicasi ceratura di valutazione estetico funzionale
(Fig.3).
Proponiamo al paziente un bloccaggio superiore in... (da valutare successivamente, i materiali da usare verranno testati sul paziente) e la protesizzazione del gruppo frontale inferiore. Si procede pertanto nel tempo a monconizzare i denti che saranno protesizzati con una preparazione a spalla a 90 gradi perché prevediamo di fare una ceramizzazione con massa a spalla per ottenere un risultato estetico ottimale (Fig.4, 5 e 6).
A questo punto dopo aver testato i materiali da utilizzare sul paziente e tralasciando le fasi di rilevamento impronte, che saranno impronte dinamiche funzionalizzate (questa nostra metodica di impronte funzionali sarà in un prossimo futuro motivo di pubblicazioni su riviste specializzate), il tecnico ci preparerà i manufatti in lega preziosa (Fig. 7 e 8).
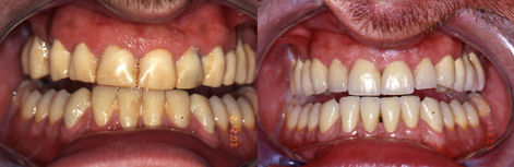
I manufatti saranno modellati in maniera da tale da poter effettuare la massa a spalla in ceramica. A distanza di circa 8 mesi dalla prima visita portiamo a termine il manufatto protesico che tiene conto della esigenza estetica del paziente (Fig. 9 e 12) e della nostra esigenza funzionale (Fig. 10 e 11), con soddisfazione nostra e del paziente (Fig. 13).
- Legge della minima dimensione verticale: muovendo la mandibola verso destra e verso sinistra si registrano, in un piano verticale frontale e con riferimento all’ orizzontale, due angoli, uno destro e uno sinistro, che vengono definiti Angoli Funzionali Masticatori di Planas (AFMP). Il paziente masticherà dal lato con AFMP più piccolo, purchè non negativo rispetto l’ asse orizzontale. Lo studio e l’ osservazione degli AFMP è una delle prime manovre che effettuiamo sui nostri pazienti per fare diagnosi funzionale.
- Leggi dello sviluppo del sistema stomatognatico:
La prima legge, ovvero lo sviluppo postero anteriore e trasversale, dice:
1. la stimolazione postero-anteriore dell’ ATM del lato di bilanciamento dà origine allo sviluppo longitudinale del ramo mandibolare di questo lato;
2. lo sfregamento occlusale funzionale del lato di lavoro causa, sempre in questa emiarcata, l’ingrossamento mandibolare e lo sviluppo trasversale e in avanti dell’ emimascella corrispondente;
3. lo sfregamento occlusale del lato di lavoro dà luogo all’ espansione mandibolare di questo lato.
La seconda legge relativa allo sviluppo verticale di premolari e molari dice che:
1. embriologicamente la mandibola è formata da due bottoni, destro e sinistro, e la stimolazione funzionale di uno o più denti di una emiarcata produce la risposta di crescita di tutti i denti di questa emiarcata, la quale viene neutralizzata dal contatto occlusale con gli antagonisti.
2. Nei mascellari le risposte agli stimoli masticatori si verificano nei tre ruppi di origine embriologica diversa (mascellare destro, sinistro e interincisivo). Quindi la stimolazione di uno dei denti del mascellare di un lato crea le risposte di crescita di tutti i denti di questo stesso lato e la stimolazione di uno dei denti del gruppo interincisivo crea la risposta di crescita di tutti i denti che appartengono a questo gruppo indipendentemente dagli altri due.
La terza legge ovvero la legge dello sviluppo verticale degli incisivi dice che se per un qualsivoglia motivo, la masticazione diviene unilaterale in un periodo di tempo relativamente lungo, gli incisivi superiori, in particolare l’incisivo laterale, controlaterali al lato funzionale, tendono a crescere e noteremo allungamenti dentali e diastemi prima non presenti.
Dopo questa panoramica sulle basi della funzione secondo Planas andiamo ad esporre il caso clinico.
CASO CLINICO
Paziente di sesso maschile e 34 annidi età. Si presenta alla nostra osservazione per motivi estetici che non soddisfano le sue aspettative (Fig.1).
All’esame obiettivo notiamo, in protrusiva, ovvero facendo scivolare in avanti la mandibola mantenendo il contatto tra gli incisivi inferiori e superiori, una leggera laterodeviazione a sinistra della mandibola che, rifacendosi alle leggi di planas significa potenza muscolare sinistra superiore a quella di destra e quindi masticatore di sinistra (Fig.2).
Chiedendo al paziente di far caso al lato di predominanza masticatoria ci conferma la masticazione a sinistra. Pertanto dopo una attenta analisi gnatologica , in articolatore a valori individuali, facciamo una ceratura diagnostica o per la precisione dicasi ceratura di valutazione estetico funzionale
(Fig.3).
Proponiamo al paziente un bloccaggio superiore in... (da valutare successivamente, i materiali da usare verranno testati sul paziente) e la protesizzazione del gruppo frontale inferiore. Si procede pertanto nel tempo a monconizzare i denti che saranno protesizzati con una preparazione a spalla a 90 gradi perché prevediamo di fare una ceramizzazione con massa a spalla per ottenere un risultato estetico ottimale (Fig.4, 5 e 6).
A questo punto dopo aver testato i materiali da utilizzare sul paziente e tralasciando le fasi di rilevamento impronte, che saranno impronte dinamiche funzionalizzate (questa nostra metodica di impronte funzionali sarà in un prossimo futuro motivo di pubblicazioni su riviste specializzate), il tecnico ci preparerà i manufatti in lega preziosa (Fig. 7 e 8).
I manufatti saranno modellati in maniera da tale da poter effettuare la massa a spalla in ceramica. A distanza di circa 8 mesi dalla prima visita portiamo a termine il manufatto protesico che tiene conto della esigenza estetica del paziente (Fig. 9 e 12) e della nostra esigenza funzionale (Fig. 10 e 11), con soddisfazione nostra e del paziente (Fig. 13).

















Dentista Campania, Napoli
Vedi la scheda
Dentista Lombardia, Milano
Vedi la scheda
Dentista Sicilia, Ragusa
Vedi la scheda
Dentista Sicilia, Palermo
Vedi la scheda
Dentista Marche, Ascoli Piceno
Vedi la scheda