Il caso descritto si riferisce ad un paziente di circa 60 anni con seri problemi orali che, tracurati nel tempo, hanno creato una situazione orale molto complessa e che ha richiesto molto tempo per recuperarla.
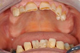
La mancanza di molti elementi dentali, soprattutto molari nell'arcata superiore ed in misura minore in quella inferiore, hanno fatto in modo che il paziente si riducesse ad utilizzare nella masticazione esclusivamente i denti del settore anteriore creando una grave usura degli stessi (immagine 1-2).
Prima di effettuare qualsiasi tipo di intervento è stato necessario procedere ad una attenta analisi del caso. Oltre ad una accurata visita con analisi delle radiografie (immagine 3) si è proceduto ad uno studio funzionale della mobilità della mandibola ottenendo una posizione di occlusione centrica ottimale ed una dimensione verticale appropriata.
Quindi, si è proceduto ad una ceratura diagnostica, che ci ha dato anche una previsione del tipo di lavoro da eseguire. In base a queste informazioni e tenendo conto delle richieste del paziente, che non gradiva sottoporsi ad interventi di chirurgia implantare, è stato deciso di effettuare una protesi fissa completa nell'arcata inferiore e una protesi fissa combinata a una protesi rimovibile scheletrata senza ganci visibili per l'arcata superiore.
La fase successiva è consistita nella preparazione protesica degli elementi dentari presenti e all'applicazione di provvisori in resina (preparati sulla ceratura diagnostica) da tenere fino alla completa guarigione e maturazione delle gengive.
Successivamente si procedeva al rilievo delle impronte per la costruzione dei manufatti definitivi.
La mancanza di molti elementi dentali, soprattutto molari nell'arcata superiore ed in misura minore in quella inferiore, hanno fatto in modo che il paziente si riducesse ad utilizzare nella masticazione esclusivamente i denti del settore anteriore creando una grave usura degli stessi (immagine 1-2).
Prima di effettuare qualsiasi tipo di intervento è stato necessario procedere ad una attenta analisi del caso. Oltre ad una accurata visita con analisi delle radiografie (immagine 3) si è proceduto ad uno studio funzionale della mobilità della mandibola ottenendo una posizione di occlusione centrica ottimale ed una dimensione verticale appropriata.
Quindi, si è proceduto ad una ceratura diagnostica, che ci ha dato anche una previsione del tipo di lavoro da eseguire. In base a queste informazioni e tenendo conto delle richieste del paziente, che non gradiva sottoporsi ad interventi di chirurgia implantare, è stato deciso di effettuare una protesi fissa completa nell'arcata inferiore e una protesi fissa combinata a una protesi rimovibile scheletrata senza ganci visibili per l'arcata superiore.
La fase successiva è consistita nella preparazione protesica degli elementi dentari presenti e all'applicazione di provvisori in resina (preparati sulla ceratura diagnostica) da tenere fino alla completa guarigione e maturazione delle gengive.
Successivamente si procedeva al rilievo delle impronte per la costruzione dei manufatti definitivi.











Dentista Emilia Romagna, Modena
Vedi la scheda
Dentista Liguria, Imperia
Vedi la scheda
Dentista Liguria, Savona
Vedi la scheda
Dentista Emilia Romagna, Reggio Emilia
Vedi la scheda
Dentista Lombardia, Lodi
Vedi la scheda