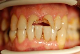
Il paziente C.S. di anni 52 mi è stato inviato per risolvergli il problema estetico dei due incisivi centrali. Il paziente, dal precedente Dentista, periodicamente si sottoponeva a ricostruzioni in materiale composito dei due incisivi dato che rifiutava assolutamente di rivestire i due denti con delle corone. Per il paziente l'idea di dovere rimpicciolire i denti e rivestirli con due corone artificiali non era bene accetta per il semplice fatto che, secondo lui, la presenza di due corone protesiche a livello degli incisivi potessero risultare altamente antiestetiche. Al paziente quindi spiego la presenza della necrosi pulpare, la ormai mancanza di forma dei due centrali deturpata dalle continue ricostruzioni in composito, la carenza comunque dell'estetica delle due corone "naturali", l'assenza ormai da anni da parte del paziente per i motivi citati del Sorriso spontaneo. La mia attenta analisi del caso ha convinto il sig. C.S. a sottoporsi alla riabilitazione definitiva dei due incisivi centrali e a ritrovare così il suo sorriso.
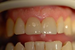
Incisivi centrali rivestiti con due corone estetiche
1.1 e 2.1 devitalizzati, ricostruiti e rivestiti con due corone in disilicato di litio
TAG: incisivi corone estetiche



Dentista Piemonte, Torino
Vedi la scheda
Dentista Umbria, Perugia
Vedi la scheda
Dentista Emilia Romagna, Parma
Vedi la scheda
Dentista Emilia Romagna, Reggio Emilia
Vedi la scheda
Dentista Lombardia, Lecco
Vedi la scheda